2023.05.25
スタッフの矯正治療記録〜装置装着〜
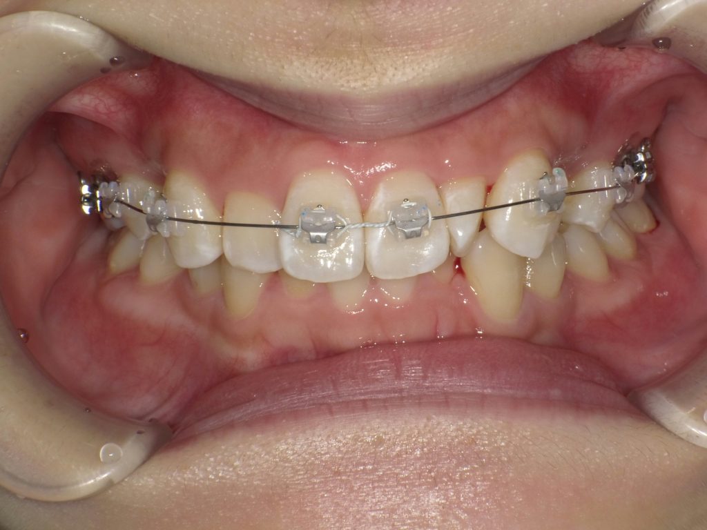
歯科衛生士/篠田 こんにちは。歯科衛生士の篠田です。 現在、表参道ヒカリデンタル矯正歯科で矯正治療中です。パラタルバーを装着し、抜歯も完了したら、ついに…
2023年5月の記事一覧|ブログ|表参道ヒカリデンタル矯正歯科 | 表参道駅徒歩1分の矯正歯科

歯科衛生士/篠田 こんにちは。歯科衛生士の篠田です。 現在、表参道ヒカリデンタル矯正歯科で矯正治療中です。パラタルバーを装着し、抜歯も完了したら、ついに…
歯科衛生士/篠田 こんにちは。歯科衛生士の篠田です。現在、表参道ヒカリデンタル矯正歯科で矯正治療中です。今回は抜歯についてお伝えしていきます。 まず…
歯科衛生士/篠田 こんにちは。歯科衛生士の篠田です。現在、表参道ヒカリデンタル矯正歯科で矯正治療中です。今回から私の矯正治療の流れを詳しく紹介します。私は…