症例集|表参道ヒカリデンタル矯正歯科 | 表参道駅徒歩1分の矯正歯科

火~金 12:00~15:00/16:00~19:30
土 10:00~13:00/14:30~18:00
※休診日 月・日・祝
03-6427-4209
症例集

症例集

症例集

表参道ヒカリデンタル矯正歯科にて治療を行った、さまざまな症例をご紹介します。ご自身のお悩みに近い症例をご覧いただくことで、治療後のイメージがしやすくなりますので、不安や疑問の解消にお役立てください。

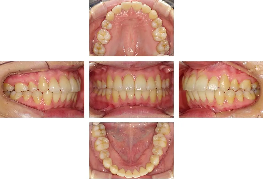
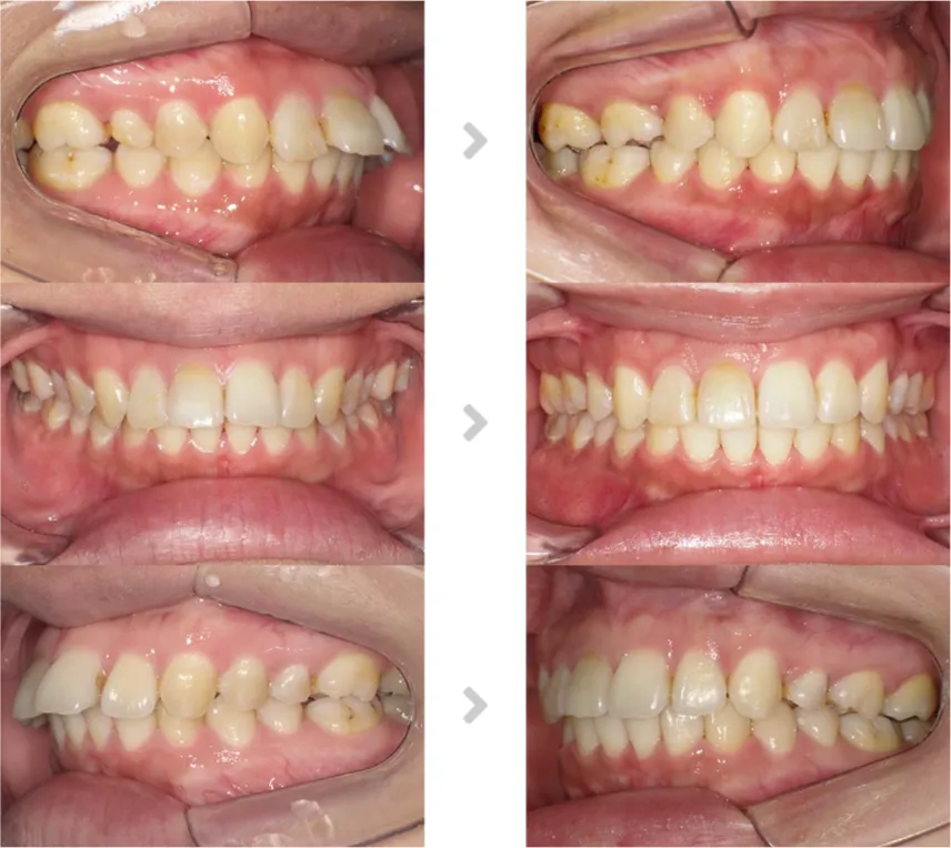
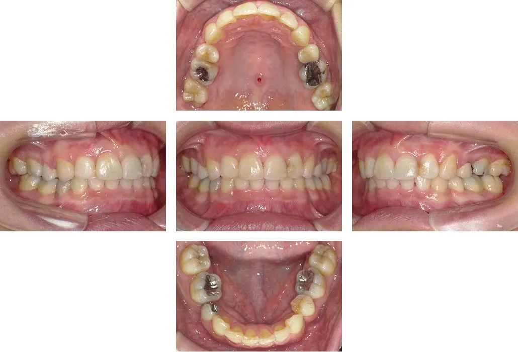
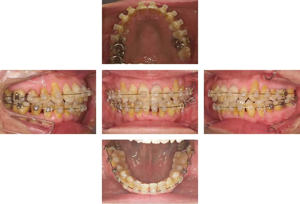
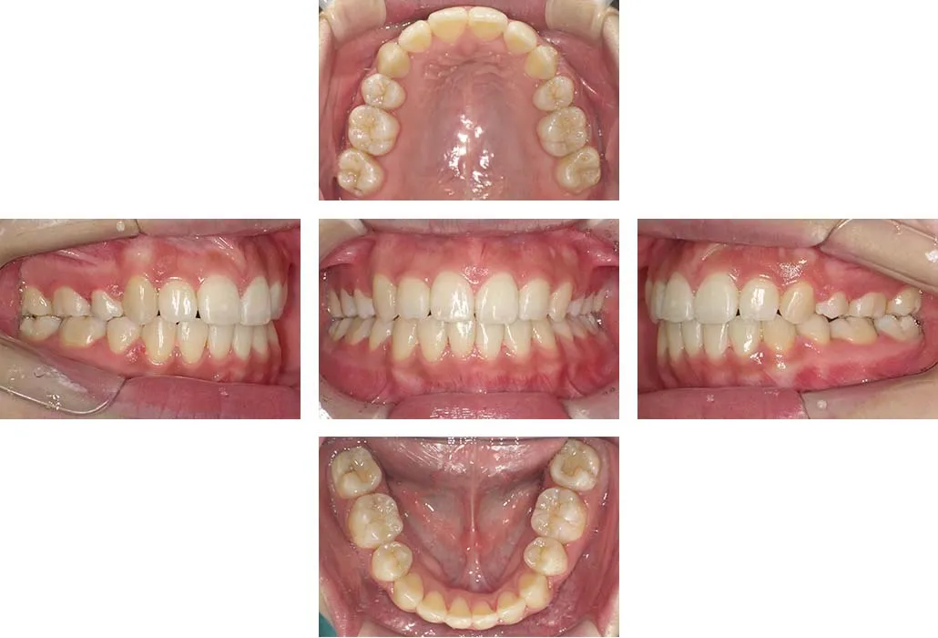
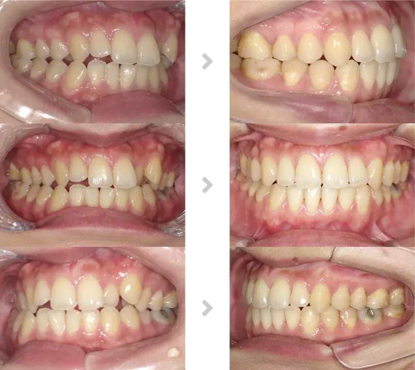
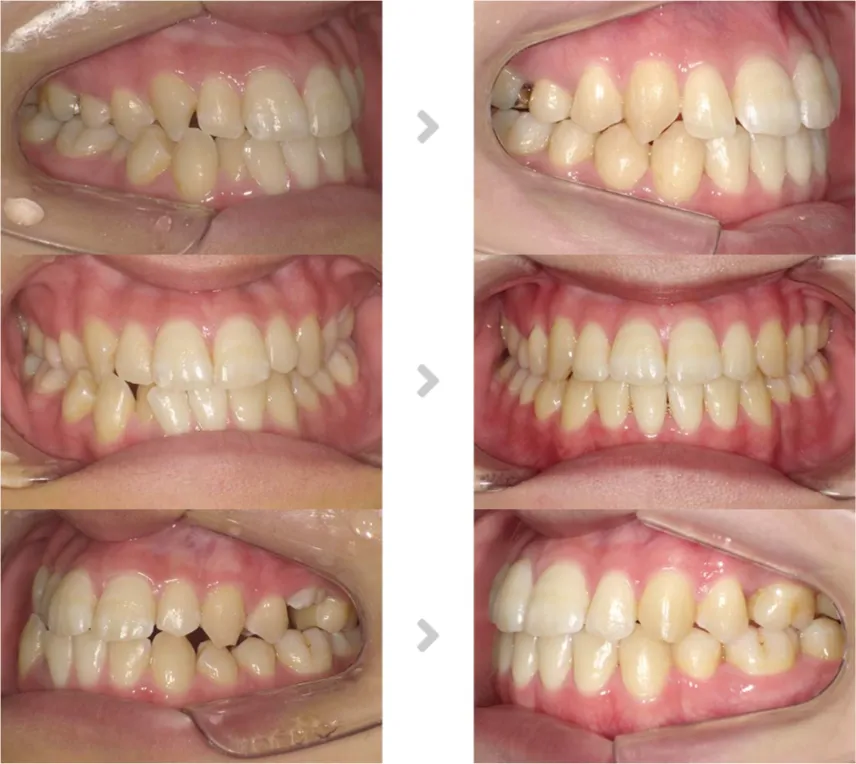
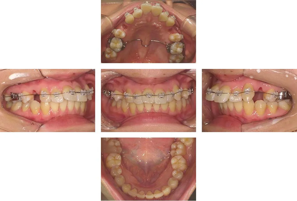
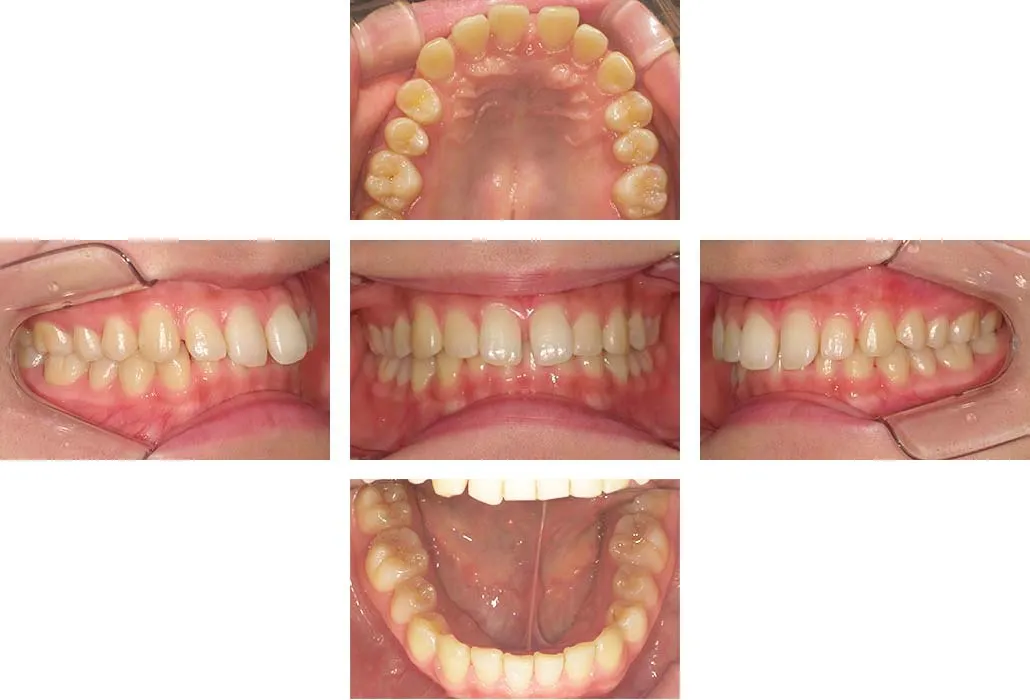
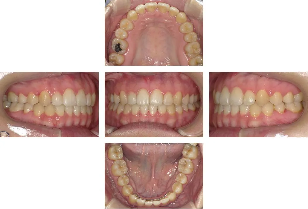
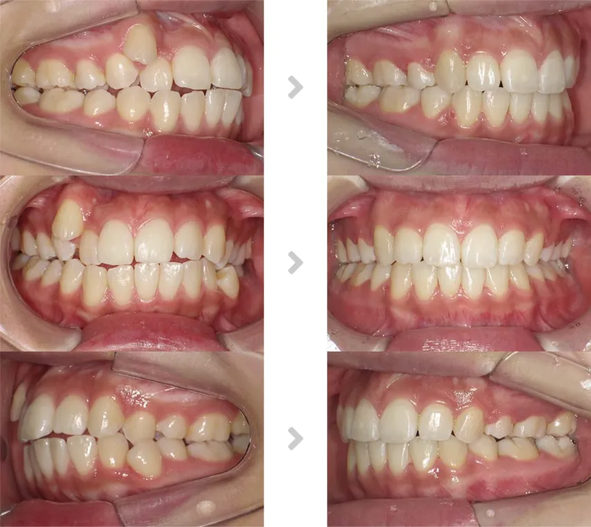
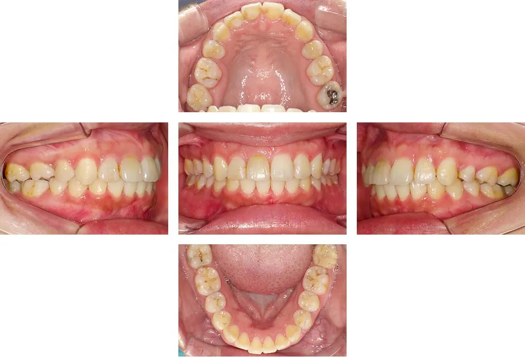
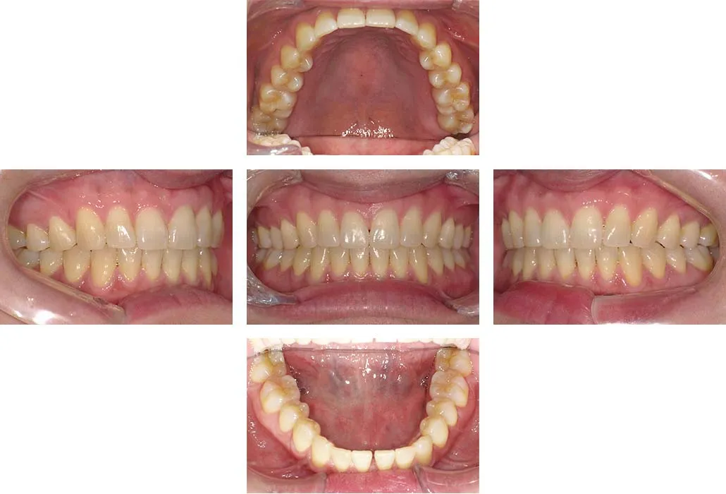
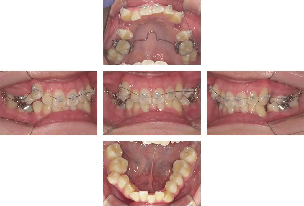
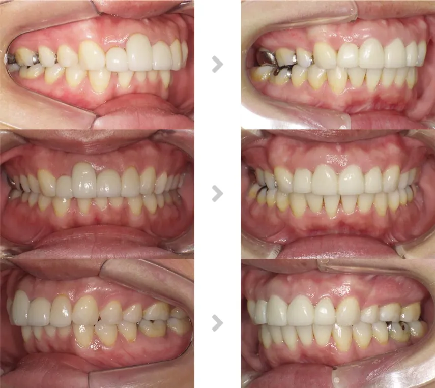
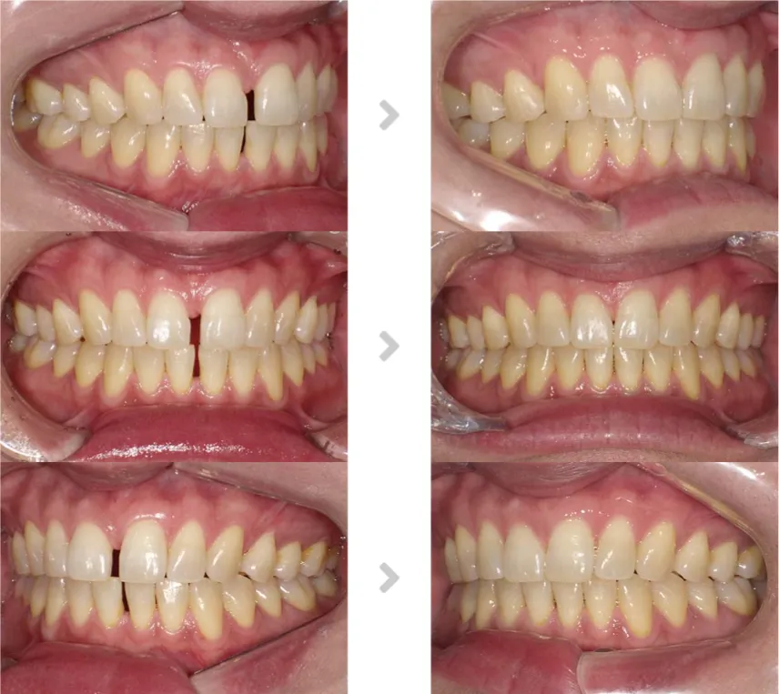
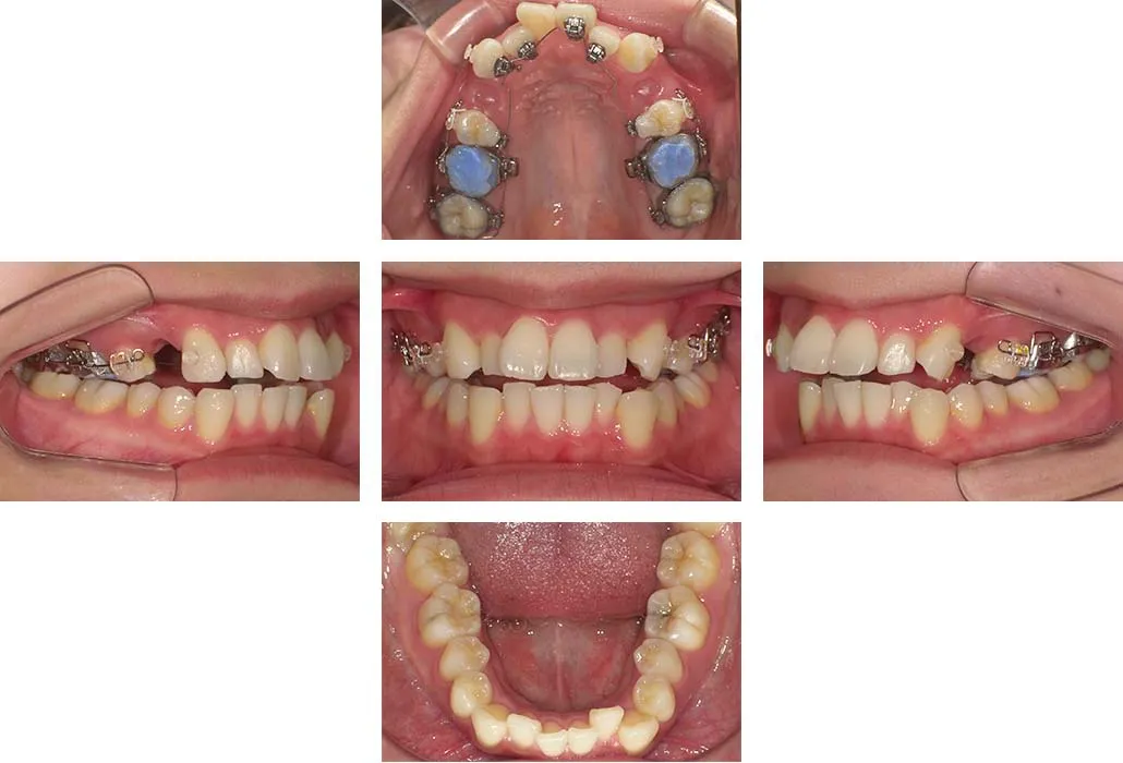
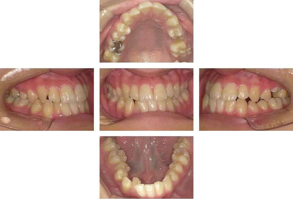
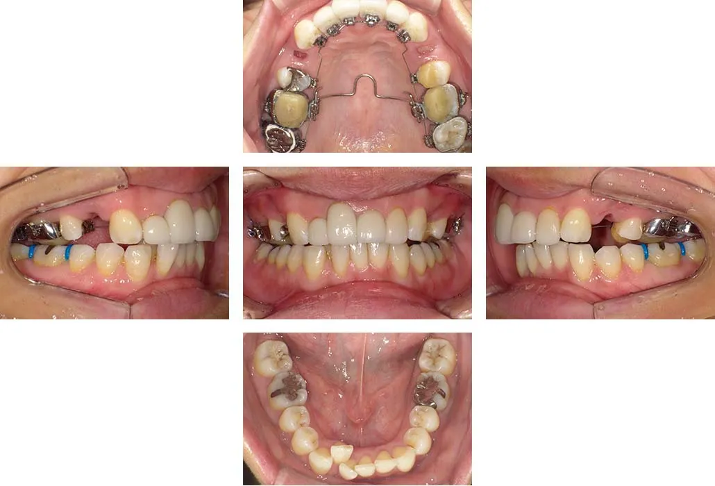
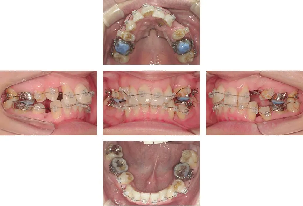
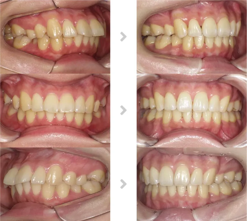
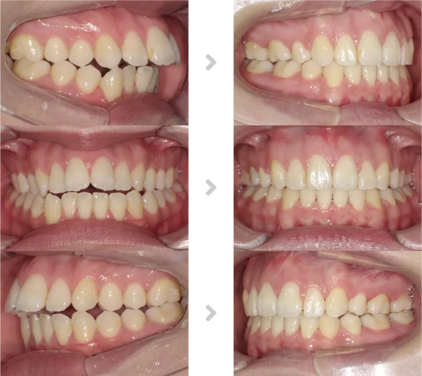
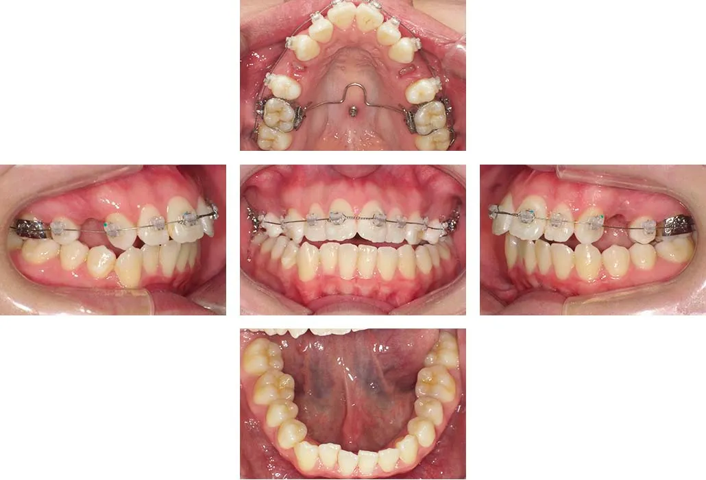
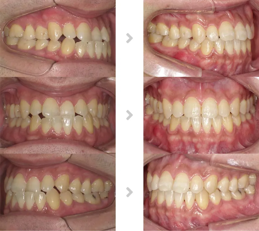
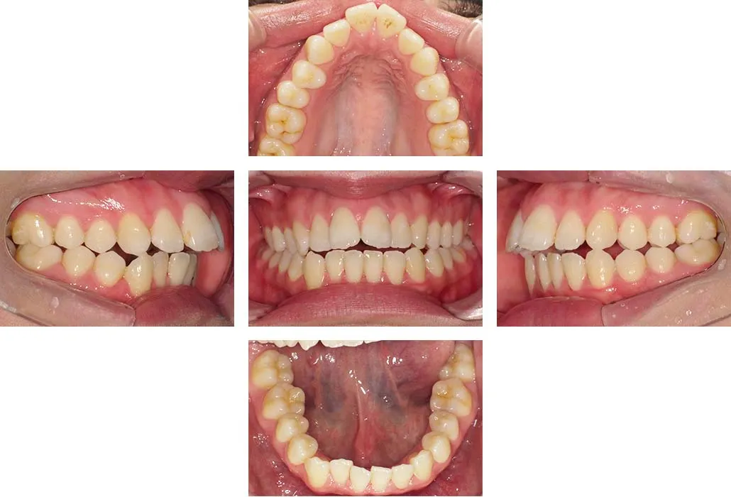
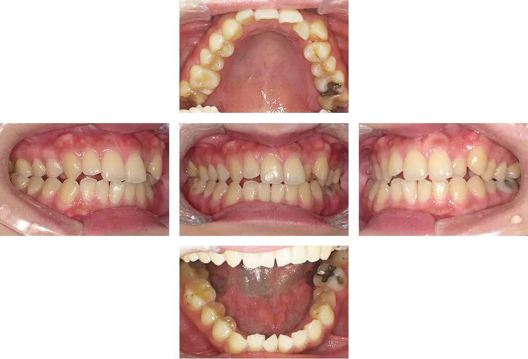
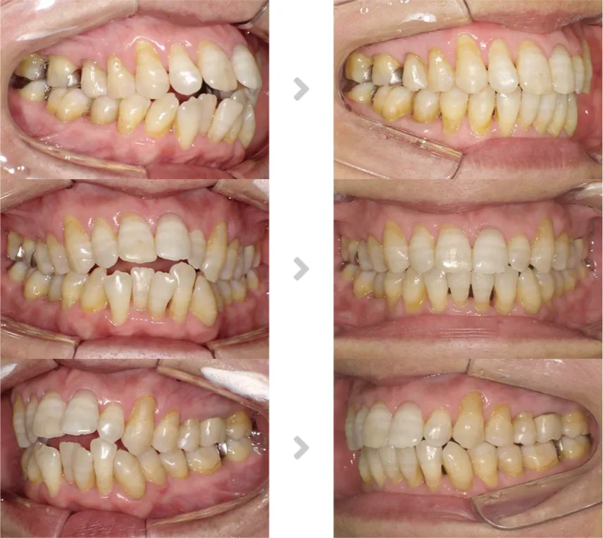
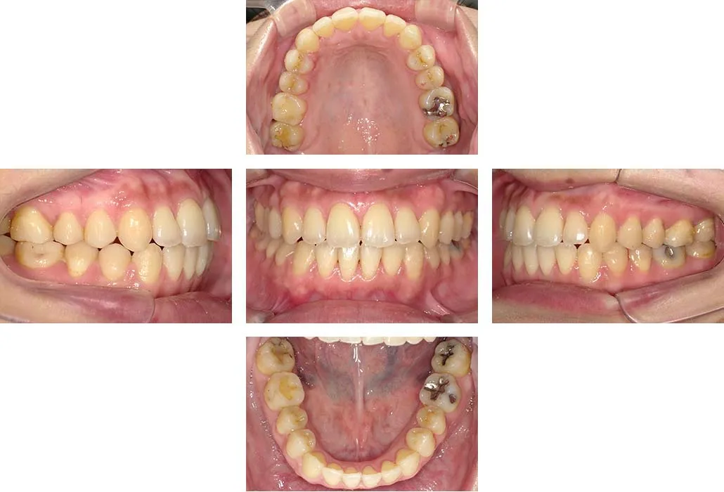
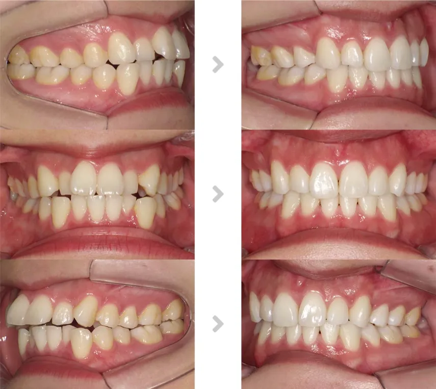
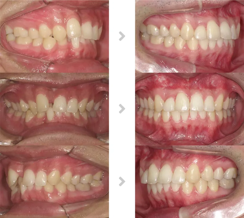
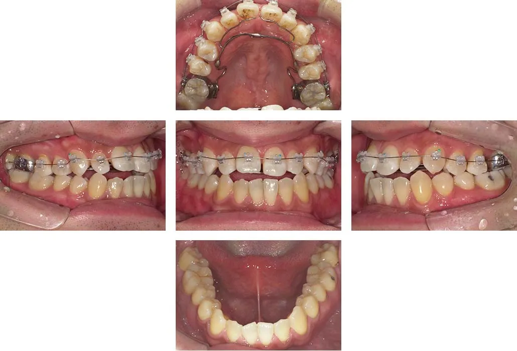
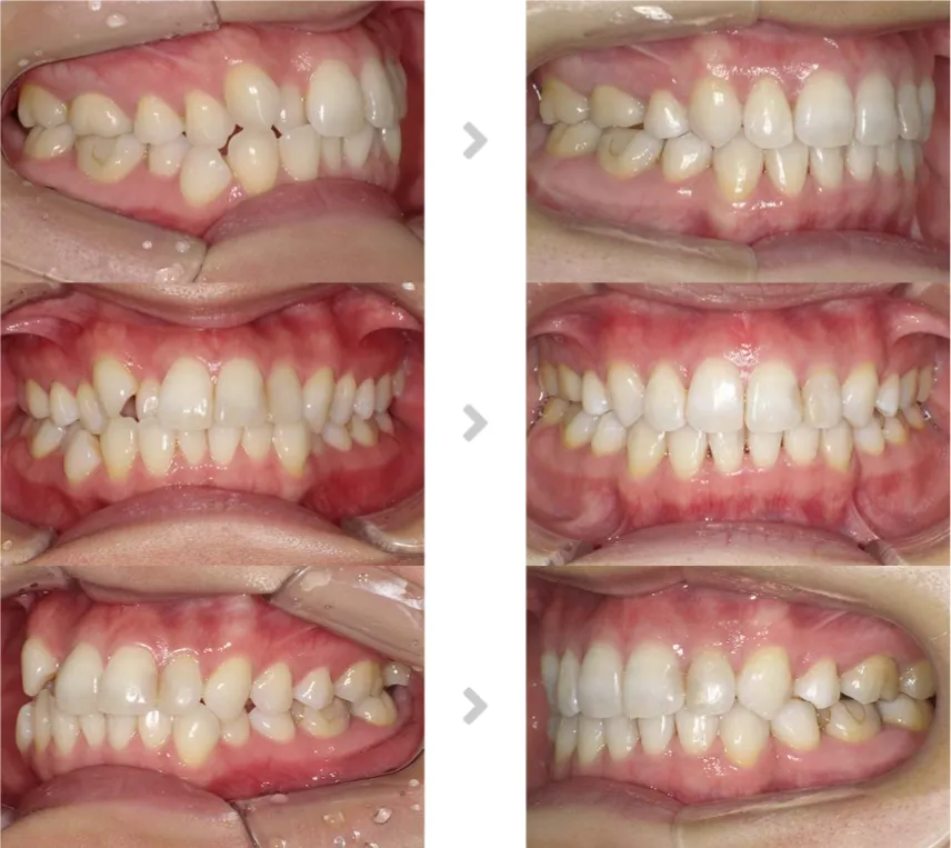
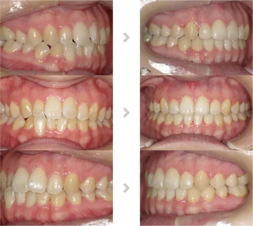
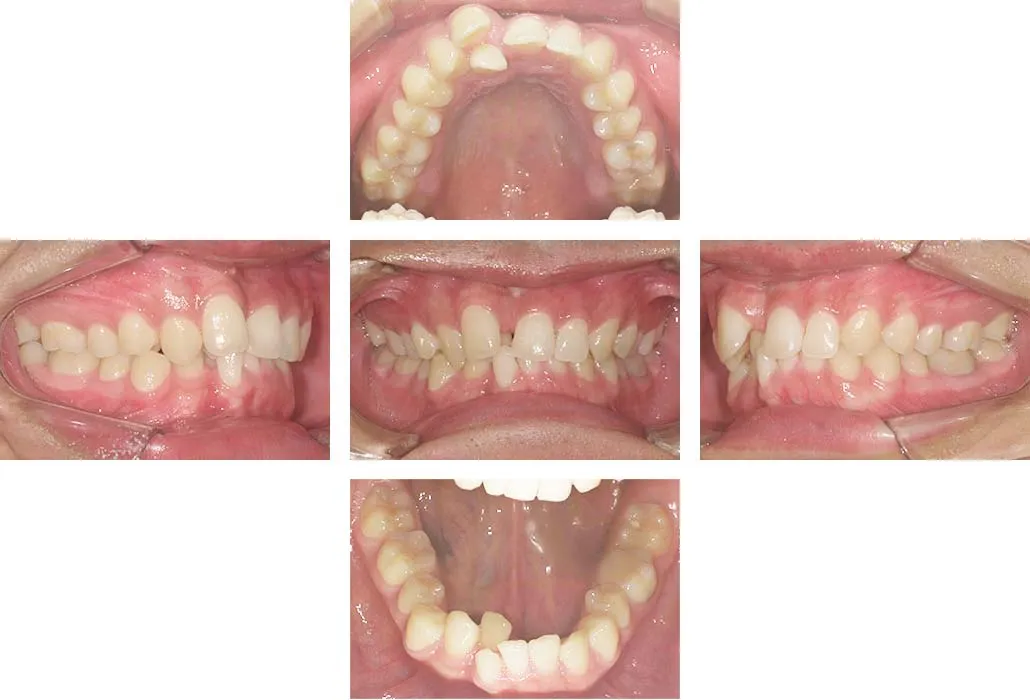
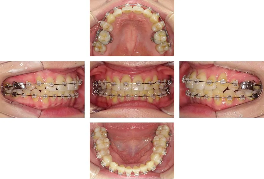
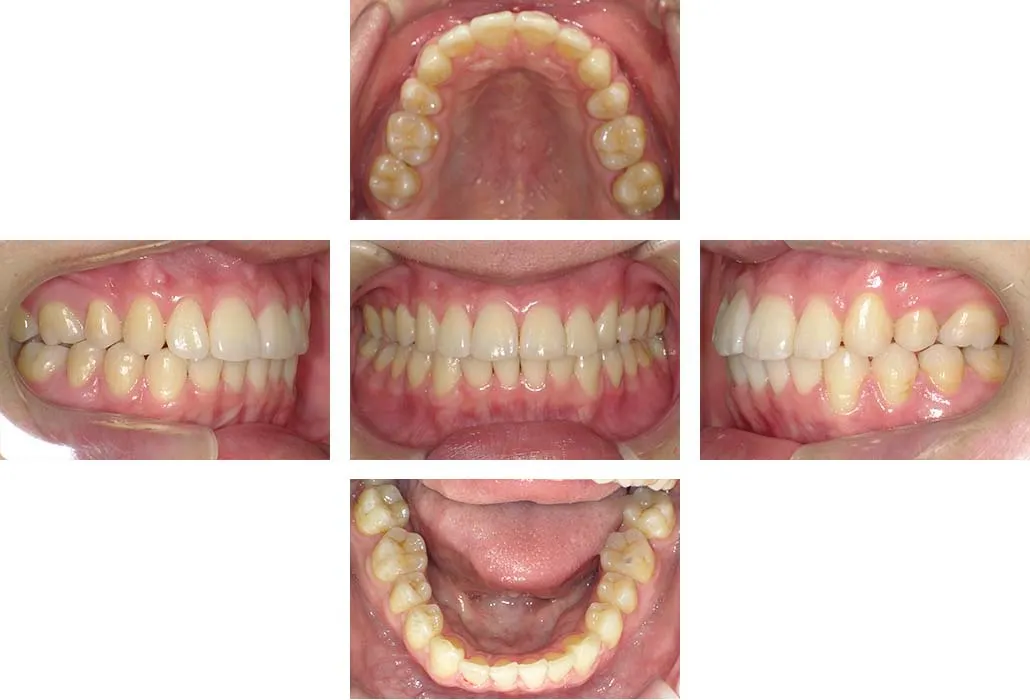
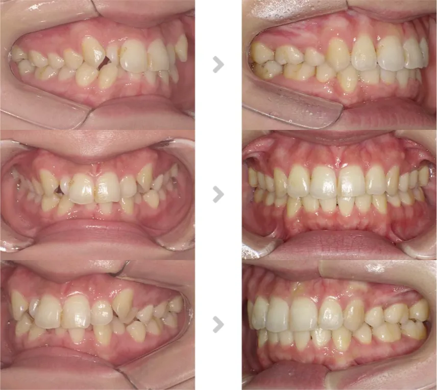
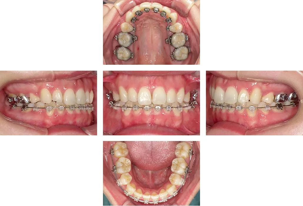
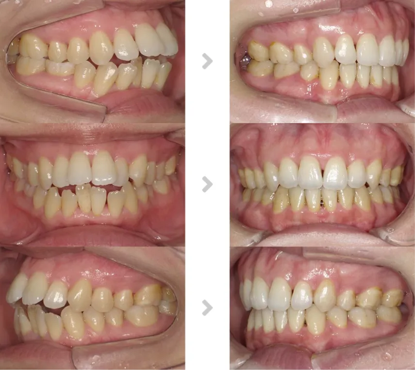
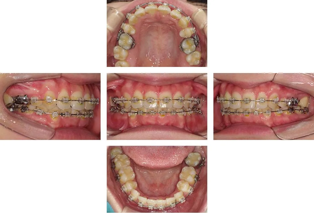
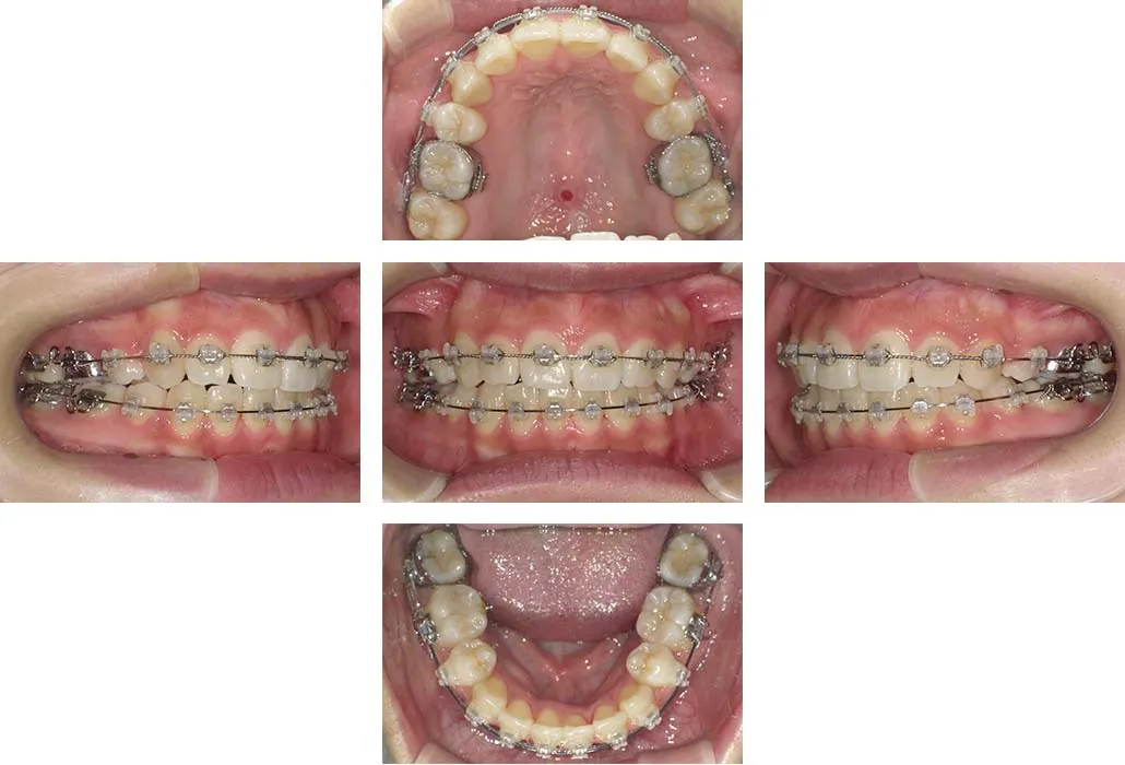
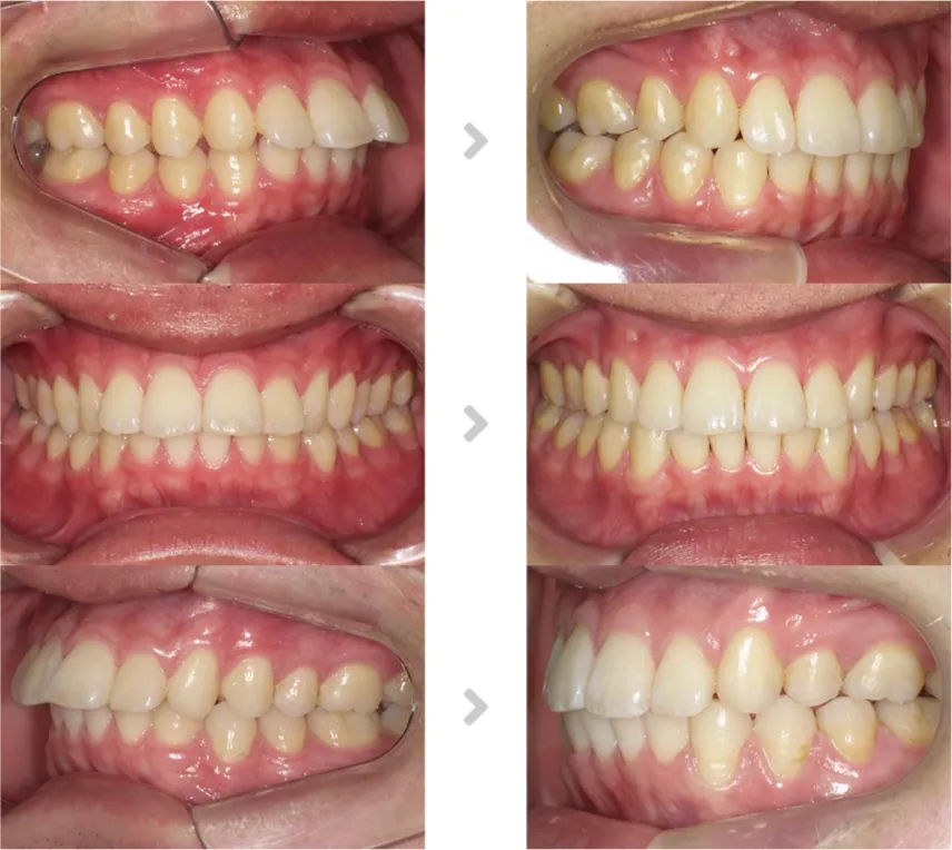
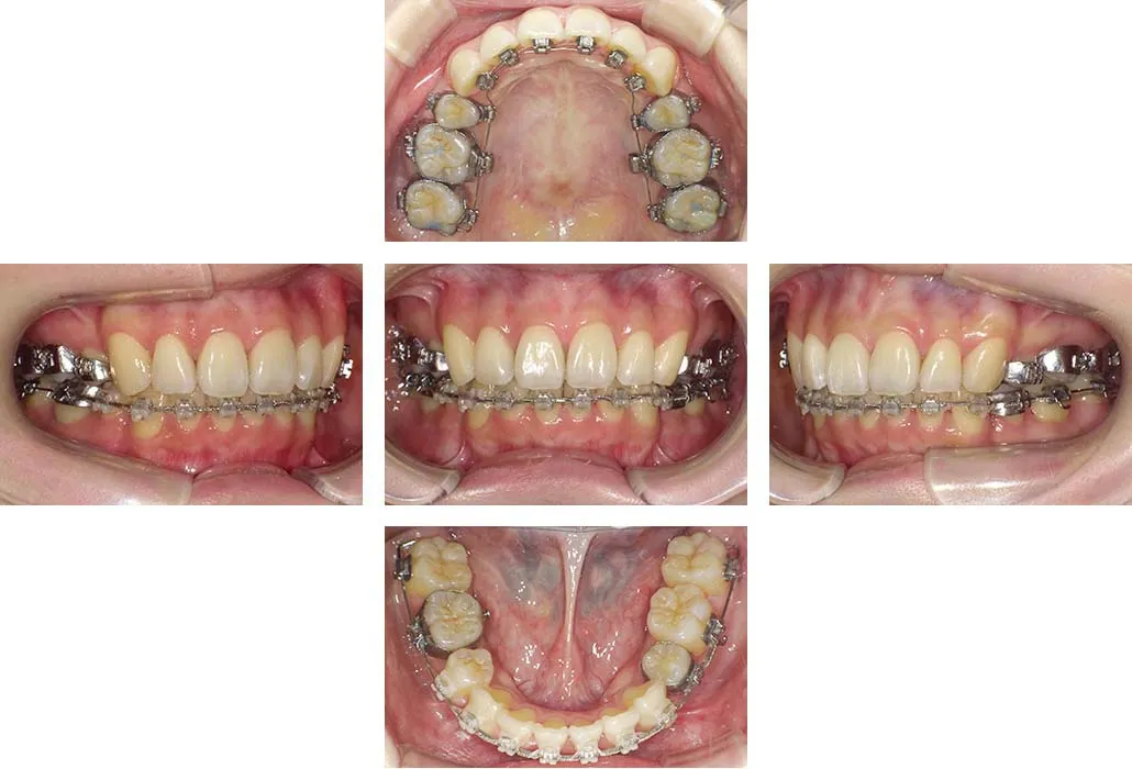
症例① 八重歯とガタガタの歯並びを治したい

初診

初診

治療経過(動的治療開始時)

治療経過(動的治療開始時)

治療経過(動的治療終了時)

治療経過(動的治療終了時)

治療終了

治療終了

術前術後の比較

術前術後の比較

概要 ハーフリンガル矯正
10代女性
主訴 八重歯とガタガタの歯並びを治したい。
治療解説 上下左右4番を抜歯して、ハーフリンガル矯正で治療を行いました。奥歯の固定はパラタルバーで行い、犬歯を後ろに下げるために、側方の表側の歯にも一時的に装置を用いて犬歯を後方に移動しました。保定装置にマウスピースを使用しています。
抜歯(有無、部位) 上下左右4番抜歯
治療期間 2年5ヵ月
治療費 [装置代]¥1,250,000(税別)
[調整料]¥6,000×34回=¥204,000(税別)
[保定装置代]¥70,000(税別)
矯正治療に
ともなう一般的な
リスクや副作用に
ついて
矯正治療では以下のリスクや副作用が考えられます。
・歯根吸収(歯の根が短くなる症状)
・歯肉退縮(歯肉が下がる症状)
・アンキローシス(歯と歯を支える骨が癒着し歯が動かなくなる状態)
・歯髄壊死(歯の神経が死んだ状態)
・顎関節症(顎の痛み、口をあけにくい、顎の音がするなどの症状)

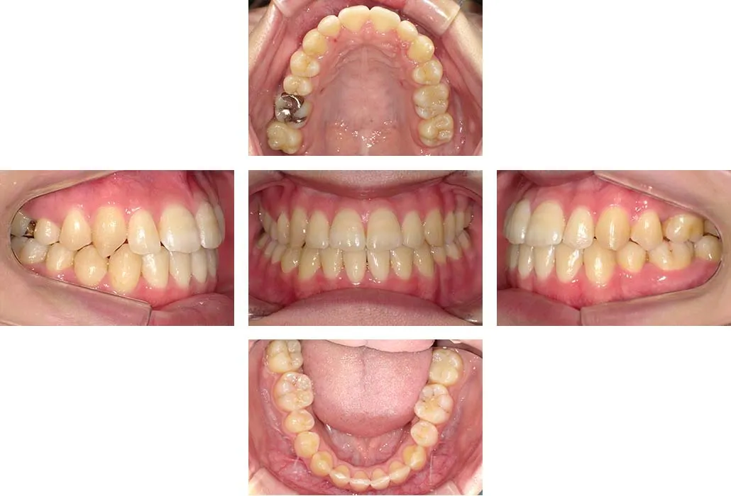
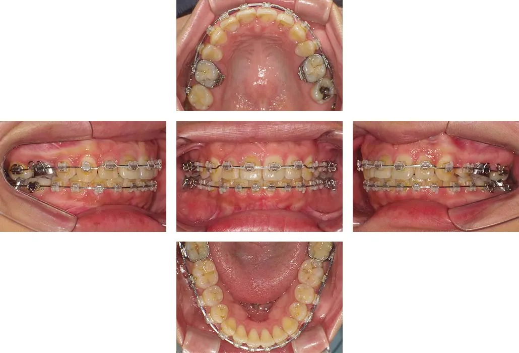
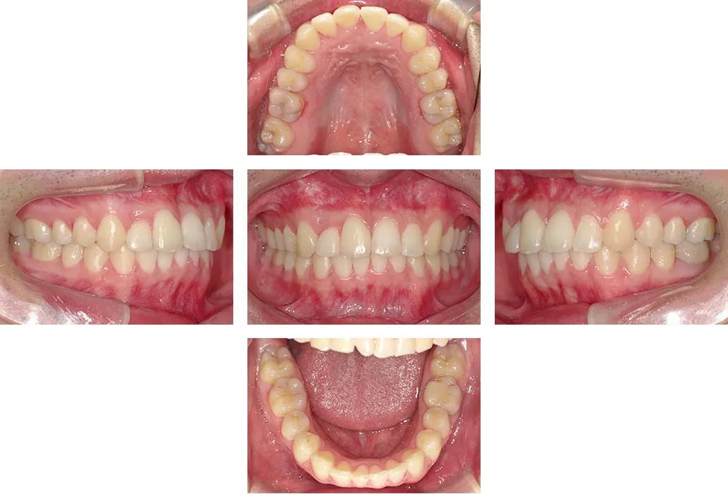
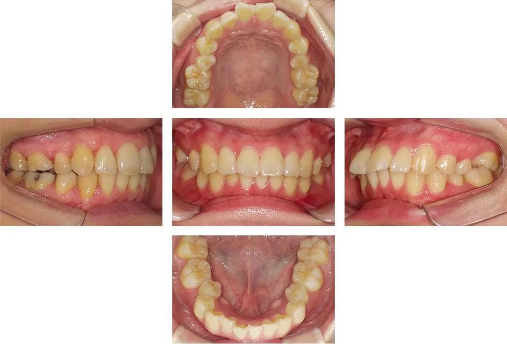
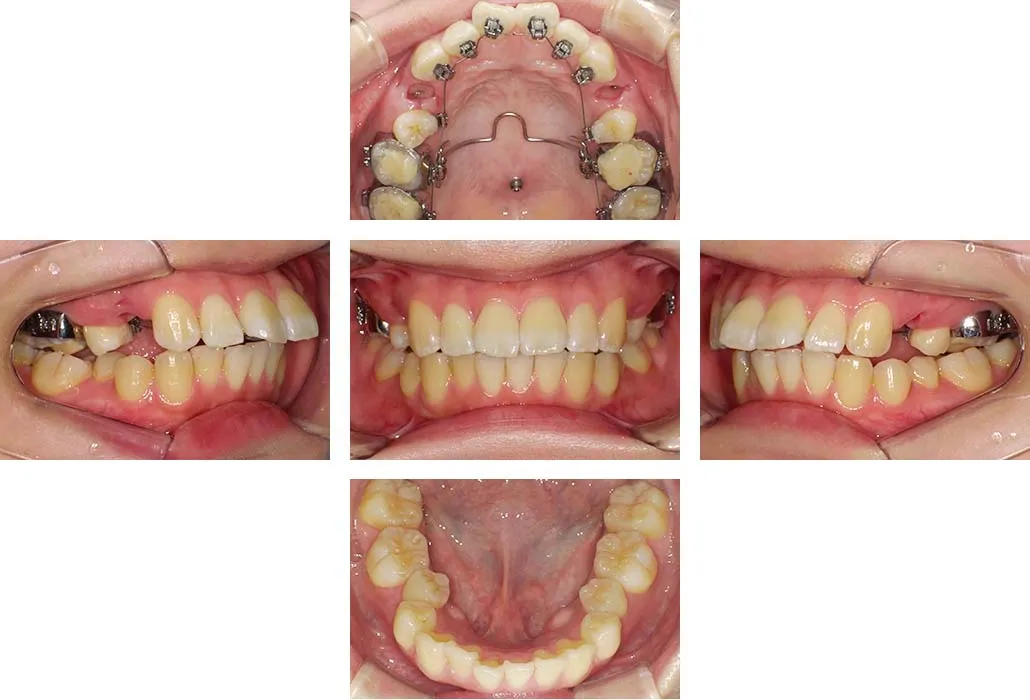
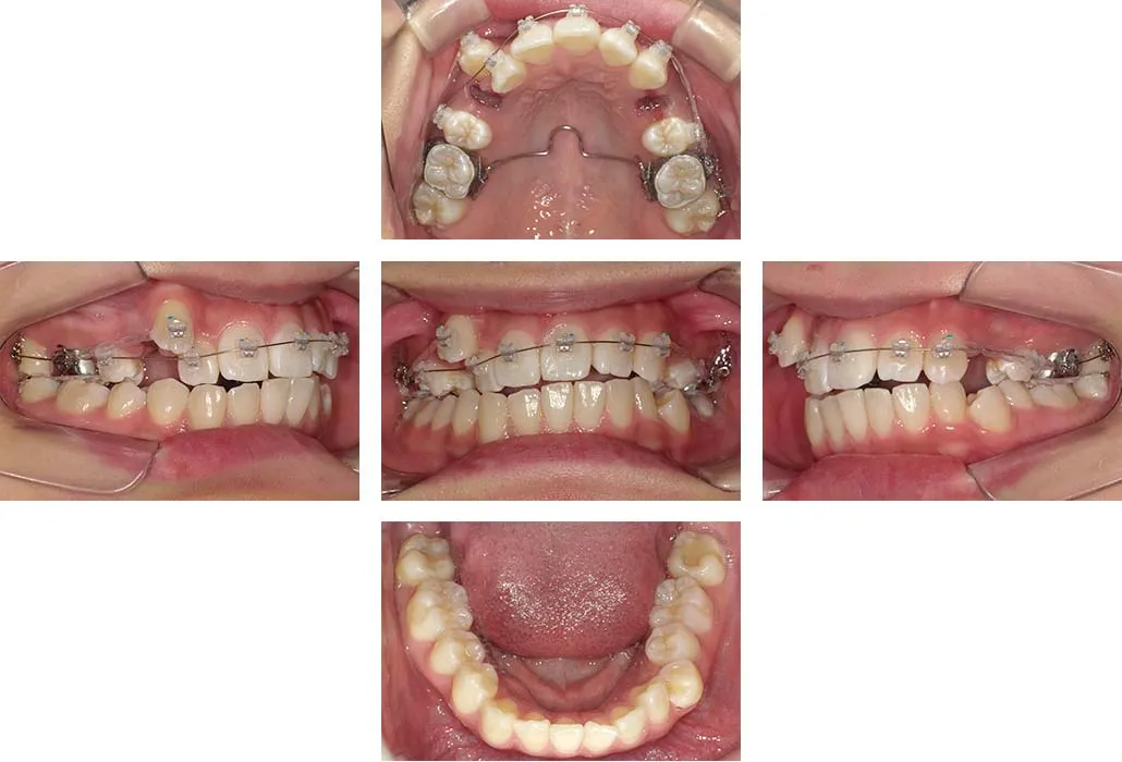
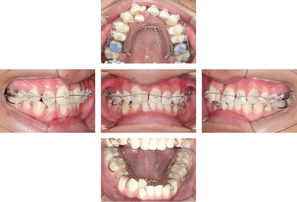
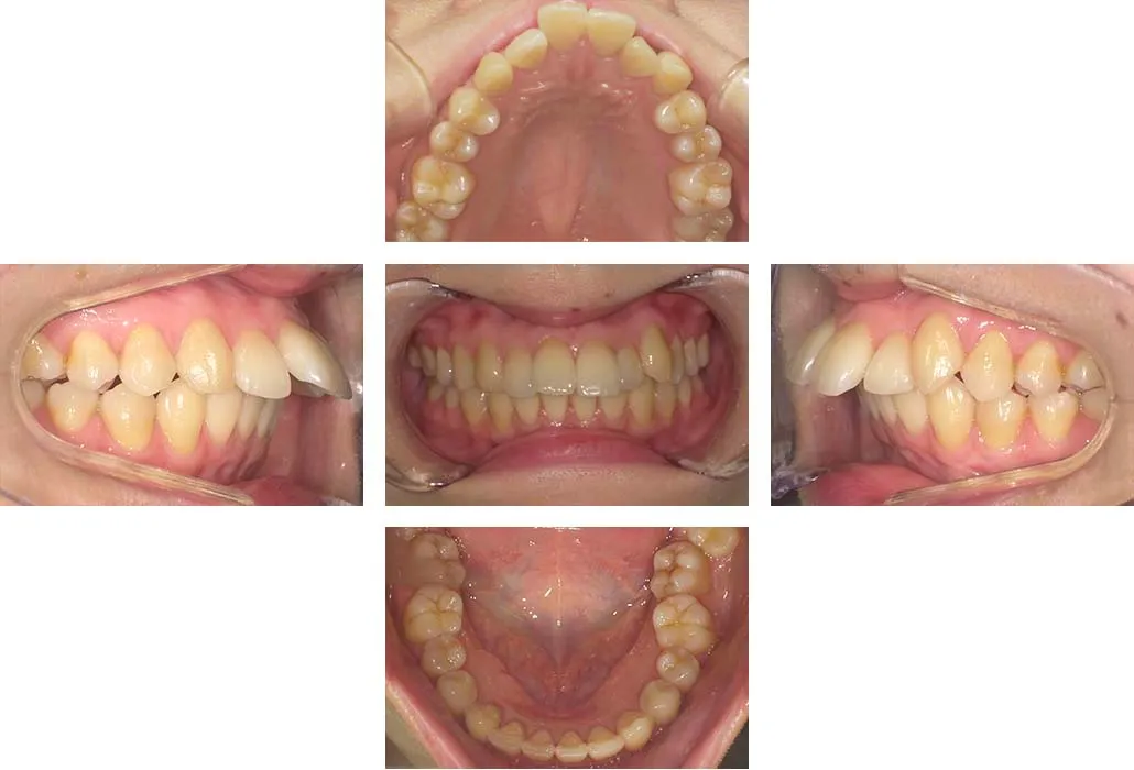
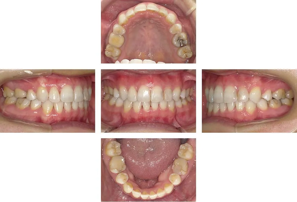
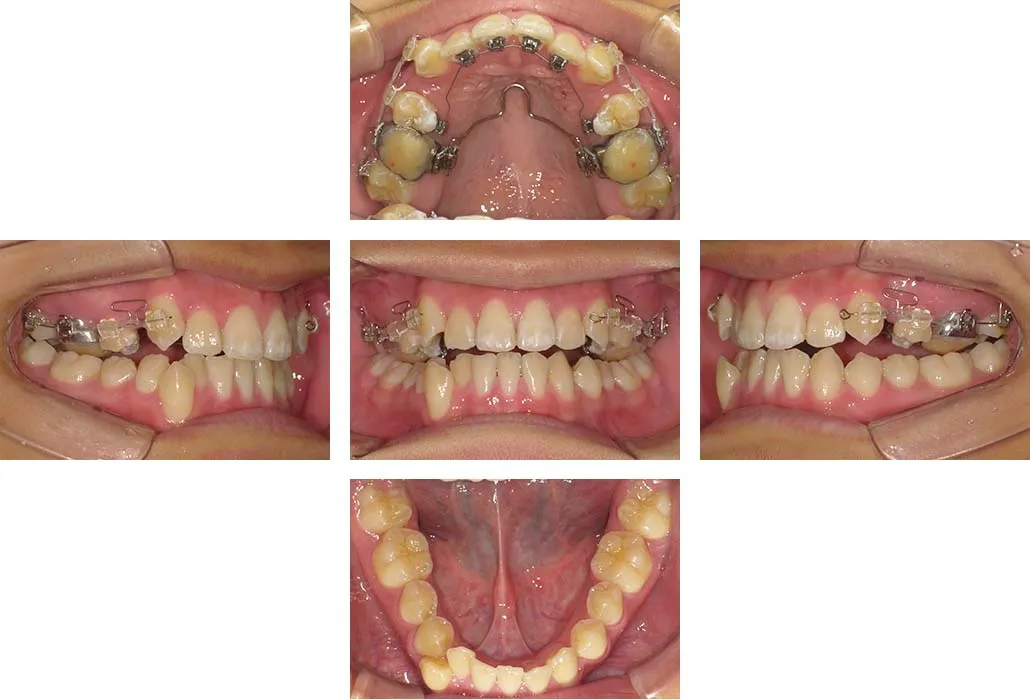
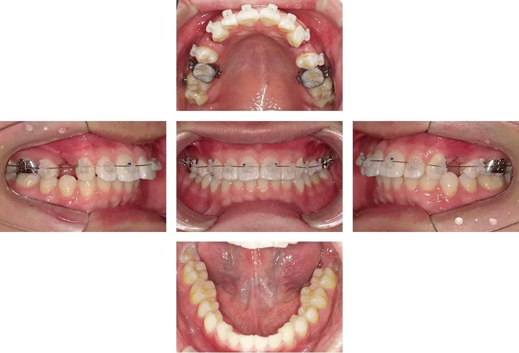
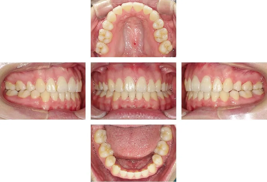
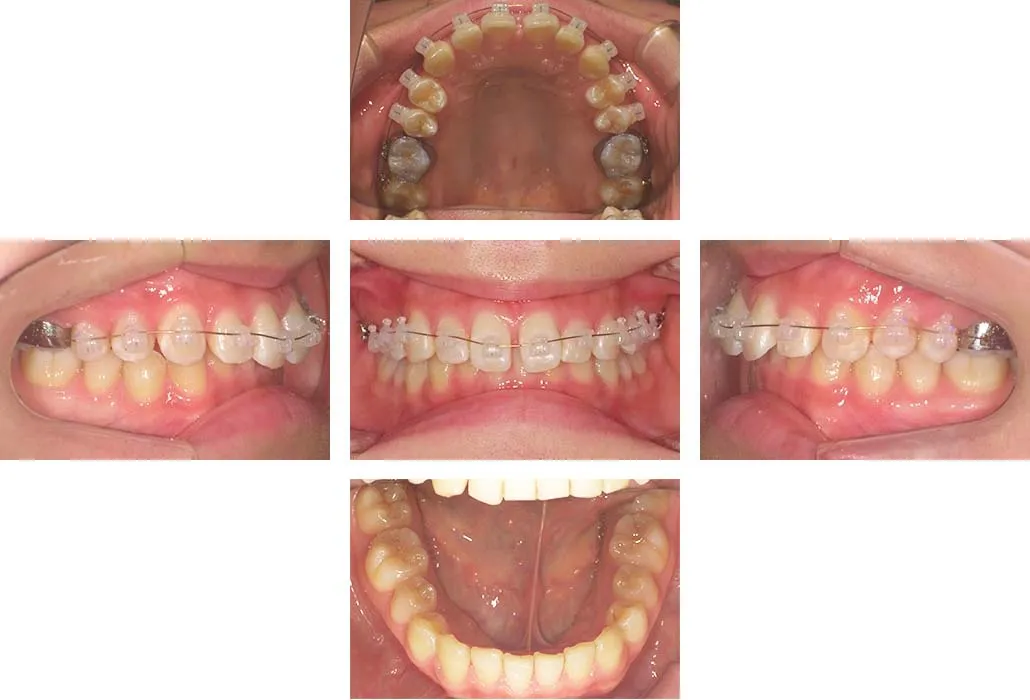
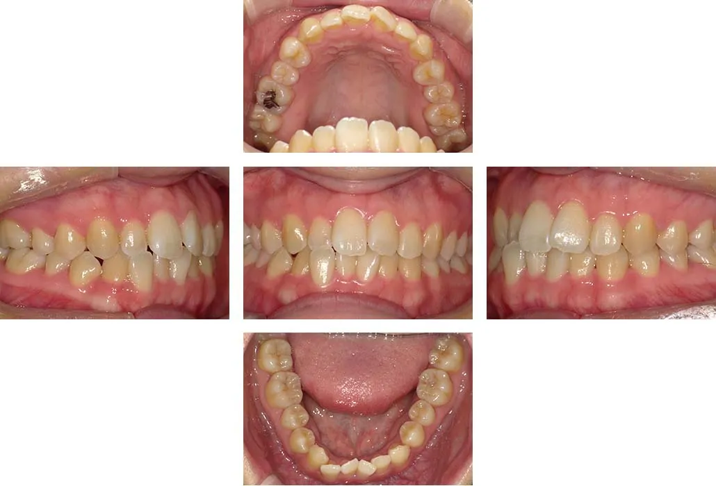
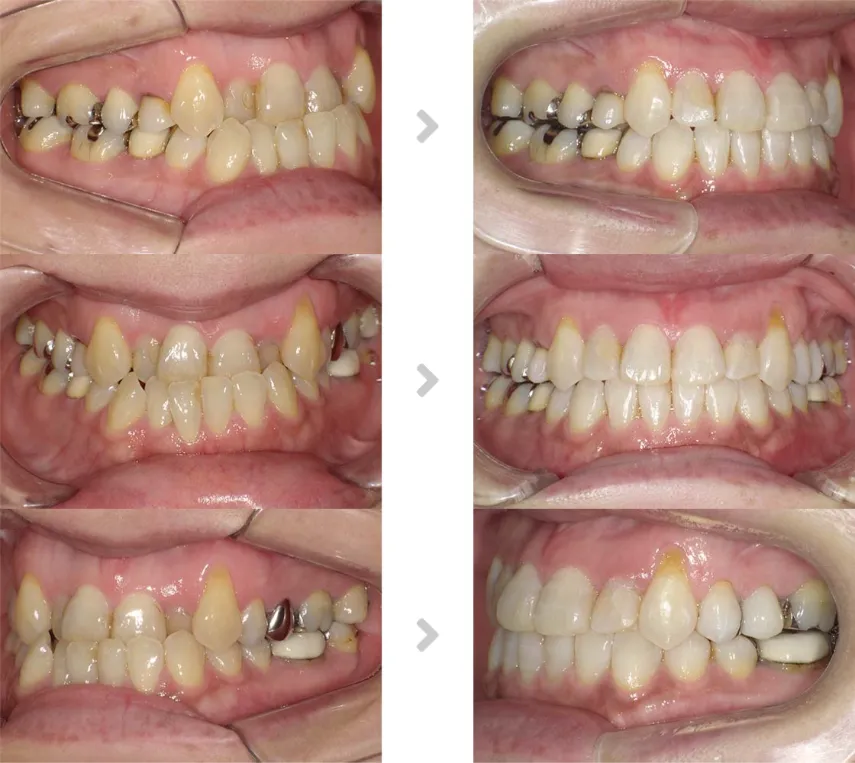
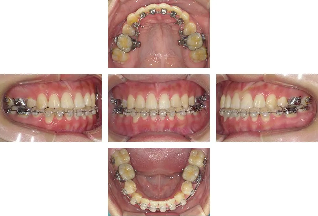
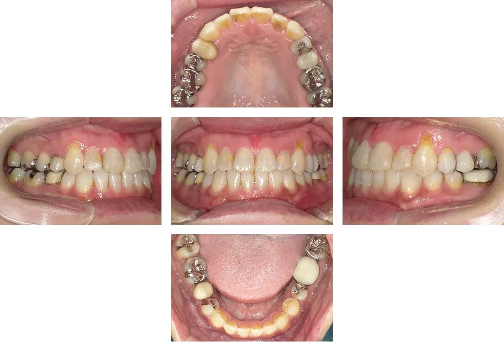
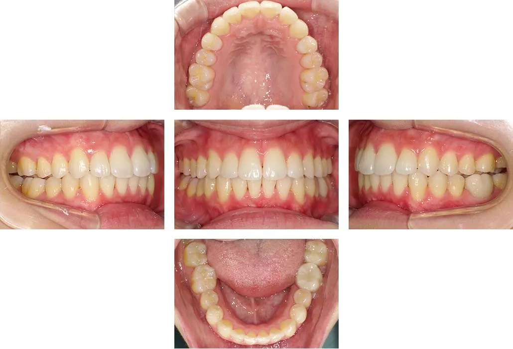
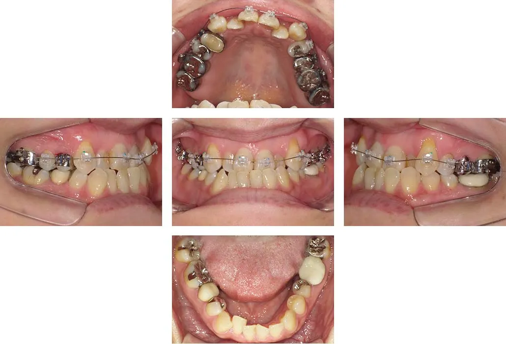
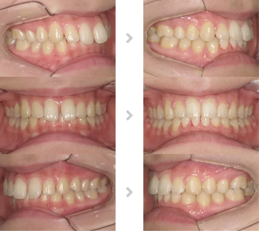
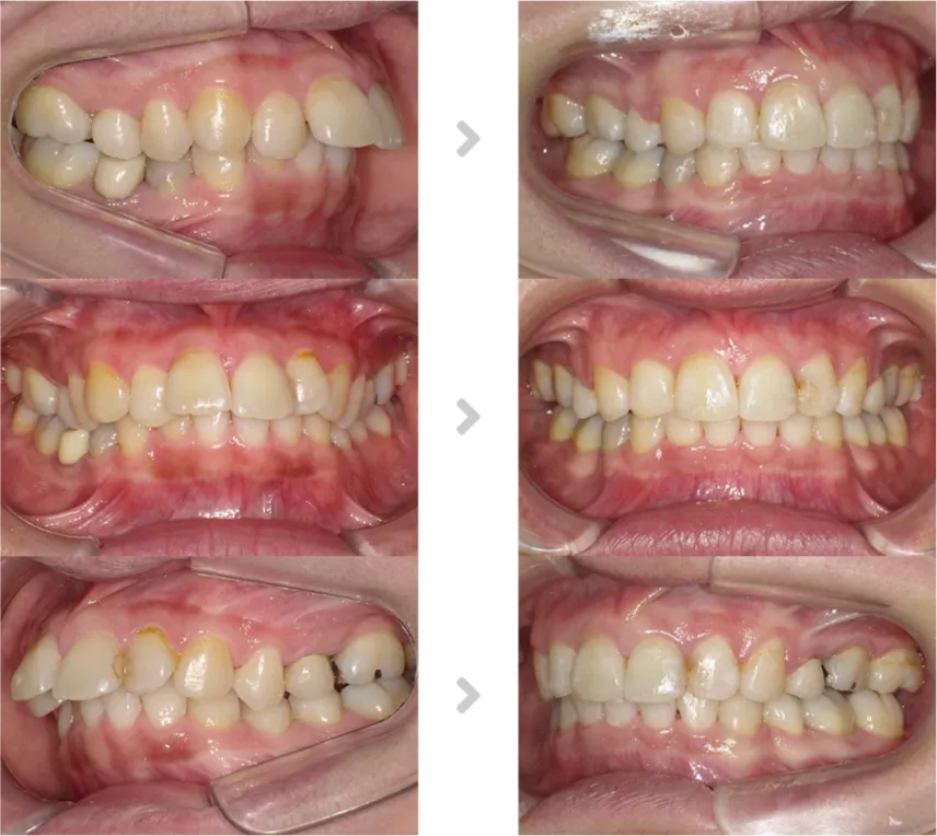
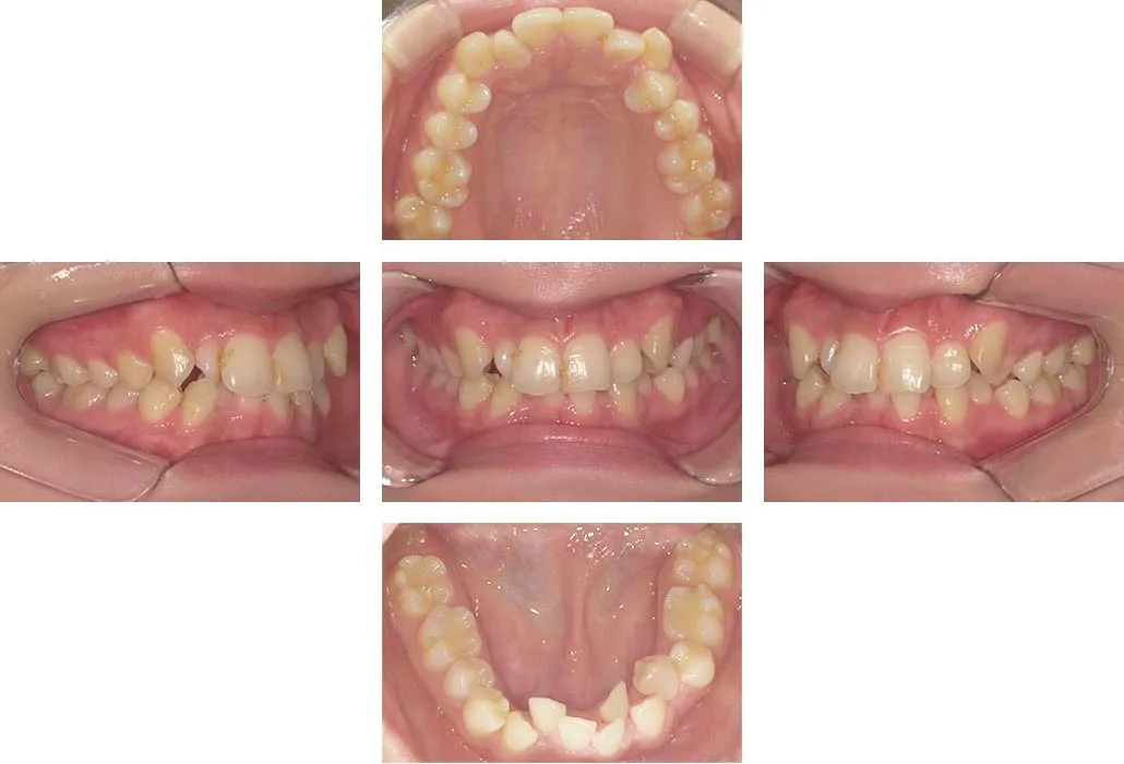
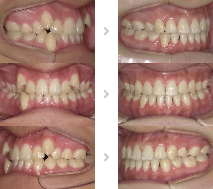
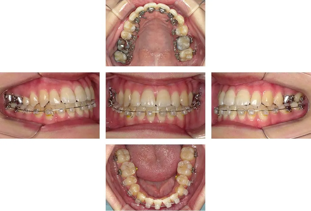
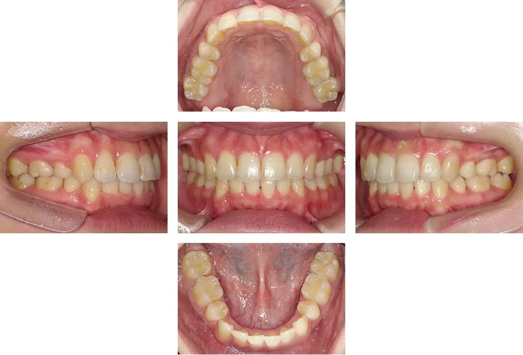
症例② 八重歯を治したい。

初診

初診

治療経過(動的治療開始時)

治療経過(動的治療開始時)

治療経過(動的治療終了時)

治療経過(動的治療終了時)

治療終了

治療終了

術前術後の比較

術前術後の比較

概要 表側矯正装置
20代女性
主訴 八重歯を治したい。
治療解説 上下左右4番を抜歯して、犬歯を4番の位置に下げました。補助装置としてパラタルバーを使用。きれいな噛み合わせを保つためには、保定装置の使用が必須です。
抜歯(有無、部位) 上下左右4番抜歯
治療期間 1年9ヵ月
治療費 [装置代]¥750,000(税別)
[調整料]¥5,000×20回=¥100,000(税別)
[保定装置代]¥70,000(税別)
矯正治療に
ともなう一般的な
リスクや副作用に
ついて
矯正治療では以下のリスクや副作用が考えられます。
・歯根吸収(歯の根が短くなる症状)
・歯肉退縮(歯肉が下がる症状)
・アンキローシス(歯と歯を支える骨が癒着し歯が動かなくなる状態)
・歯髄壊死(歯の神経が死んだ状態)
・顎関節症(顎の痛み、口をあけにくい、顎の音がするなどの症状)

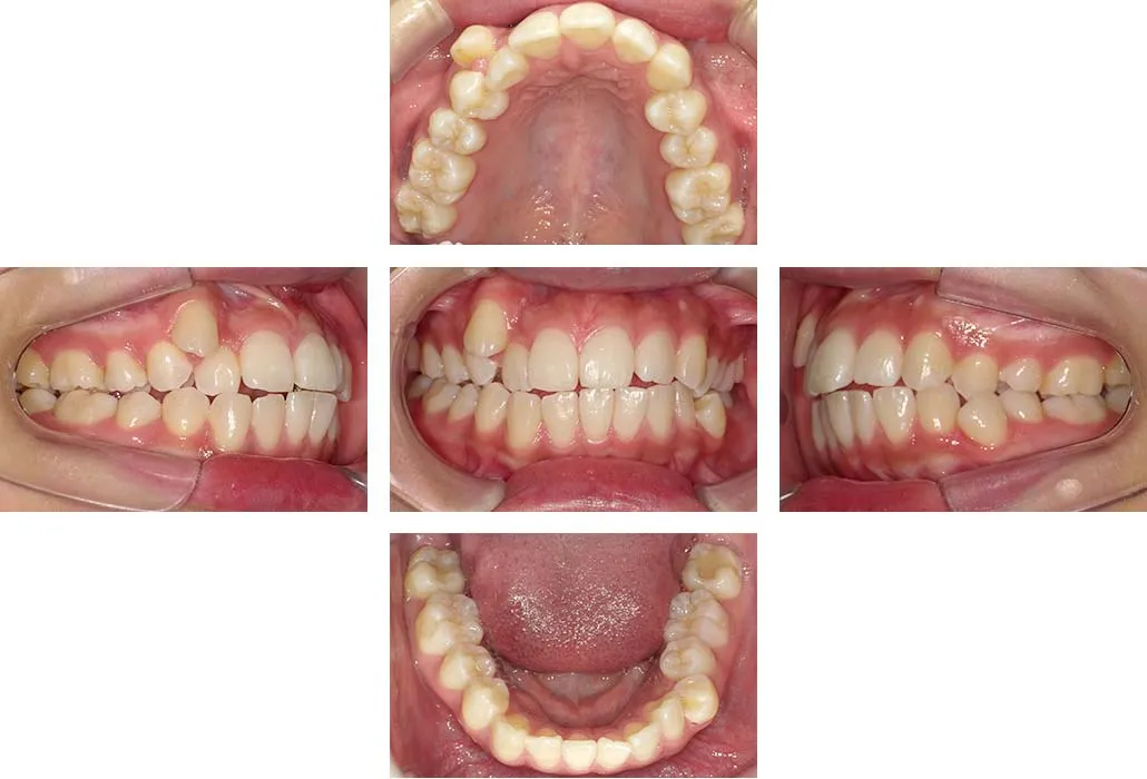
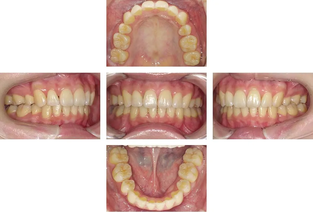
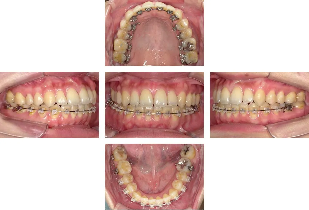
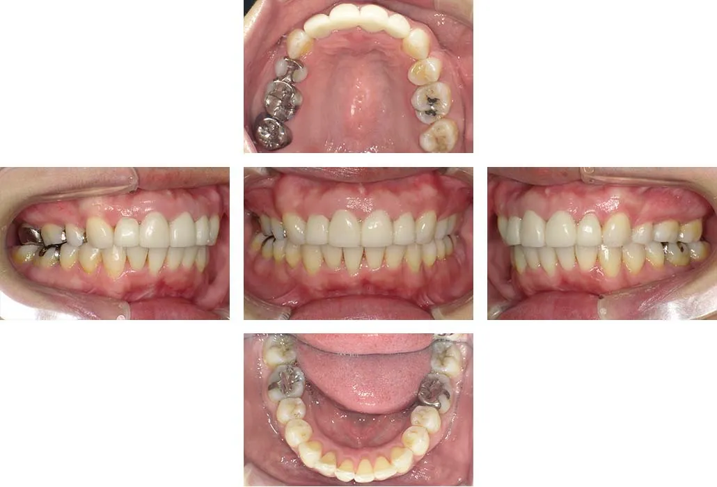
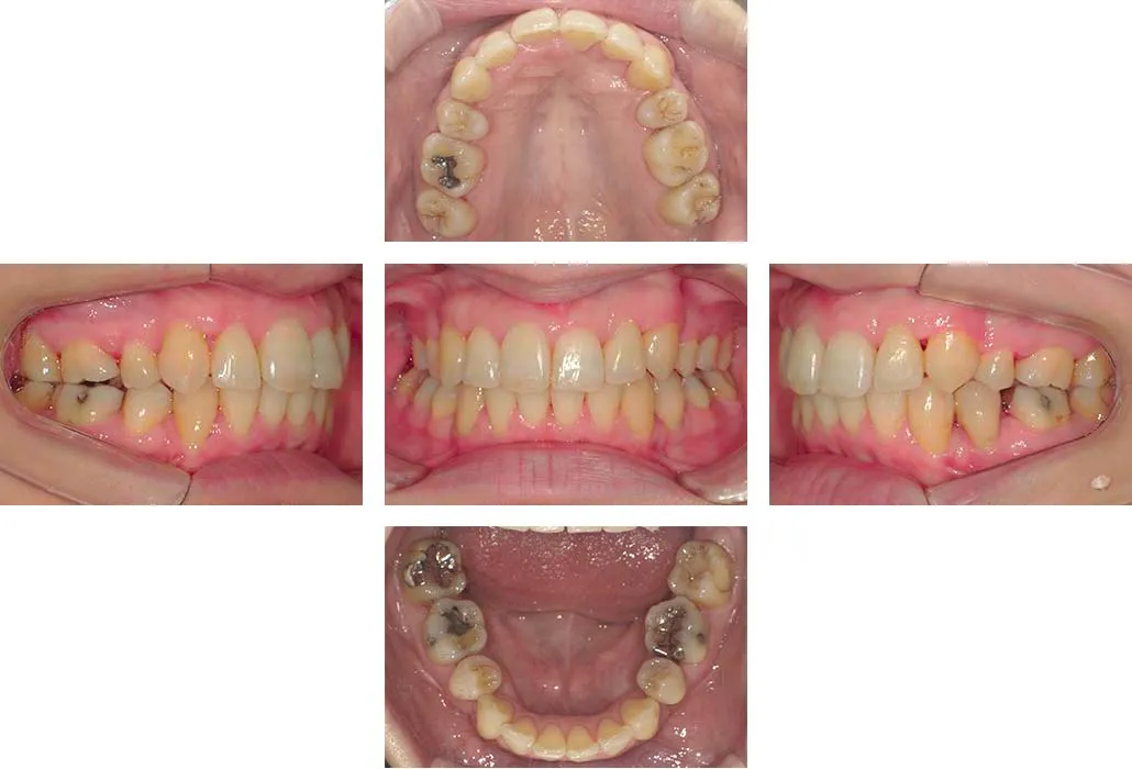
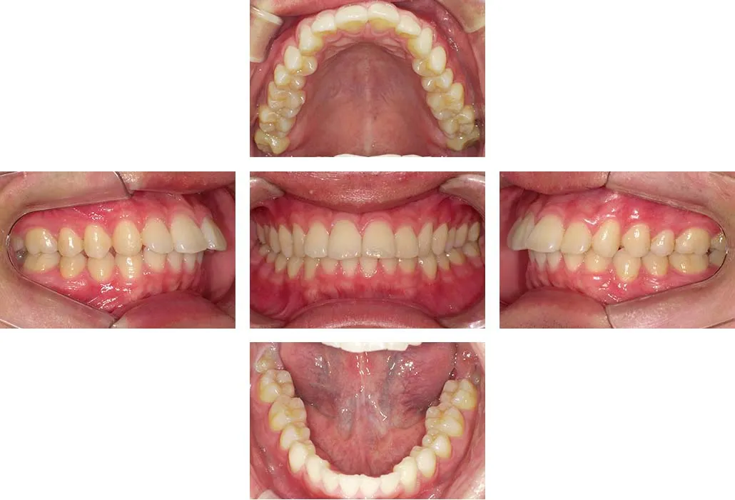
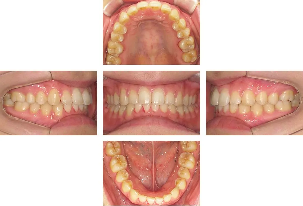
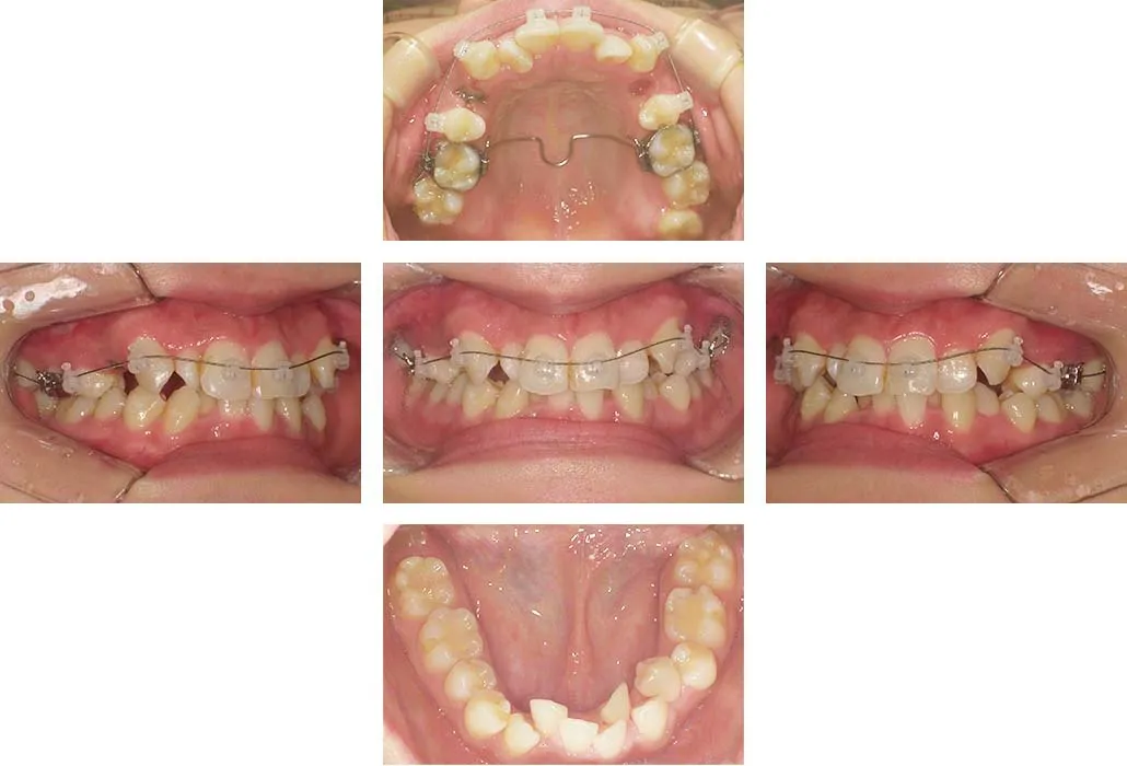
症例① 出っ歯を治したい。口が閉じにくい

初診

初診

治療経過(動的治療開始時)

治療経過(動的治療開始時)

治療経過(動的治療終了時)

治療経過(動的治療終了時)

治療終了

治療終了

術前術後の比較

術前術後の比較

概要 表側矯正装置
20代女性
主訴 出っ歯を治したい。口が閉じにくい。
治療解説 上顎に対して下顎が小さめだったので、上顎左右4番のみ抜歯。下顎を基準にして上顎を後方に下げたことで、出っ歯が改善されました。後戻り防止のために保定装置を使用しています。
抜歯(有無、部位) 上顎左右4番抜歯
治療期間 2年3ヵ月
治療費 [装置代]¥750,000(税別)
[調整料]¥5,000×33回=¥165,000(税別)
[保定装置代]¥70,000(税別)
矯正治療に
ともなう一般的な
リスクや副作用に
ついて
矯正治療では以下のリスクや副作用が考えられます。
・歯根吸収(歯の根が短くなる症状)
・歯肉退縮(歯肉が下がる症状)
・アンキローシス(歯と歯を支える骨が癒着し歯が動かなくなる状態)
・歯髄壊死(歯の神経が死んだ状態)
・顎関節症(顎の痛み、口をあけにくい、顎の音がするなどの症状)

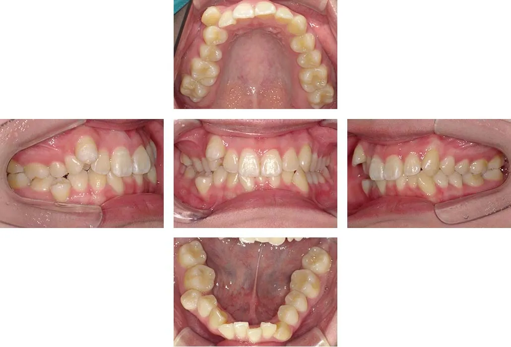
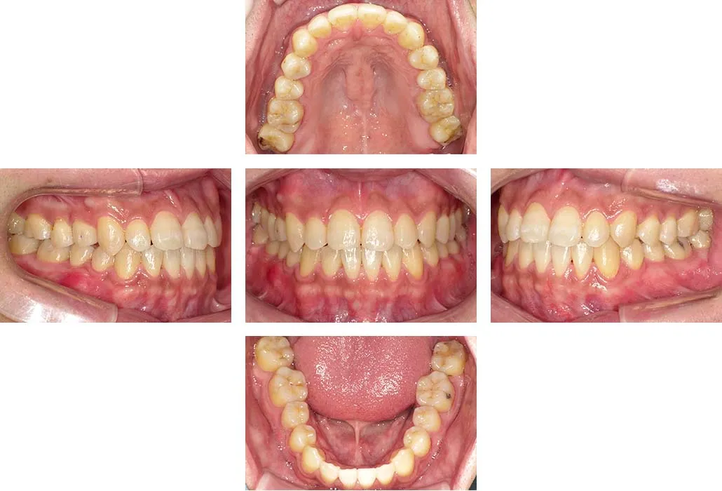
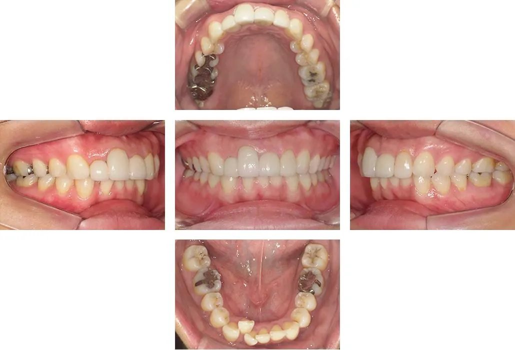
症例② 口元の前突感を改善したい。

初診

初診

治療経過(動的治療開始時)

治療経過(動的治療開始時)

治療経過(動的治療終了時)

治療経過(動的治療終了時)

治療終了

治療終了

術前術後の比較

術前術後の比較

概要 表側矯正装置
30代女性
主訴 口元の前突感を改善したい。
治療解説 上顎の奥歯の位置が前方にあったため、下顎は抜歯せず、上顎左右4番のみの抜歯で治療しました。口元の前突感は改善され、横顔のラインがきれいになりました。
抜歯(有無、部位) 上顎左右4番抜歯
治療期間 2年9ヵ月
治療費 [装置代]¥750,000(税別)
[調整料]¥5,000×31回=¥155,000(税別)
[保定装置代]¥70,000(税別)
矯正治療に
ともなう一般的な
リスクや副作用に
ついて
矯正治療では以下のリスクや副作用が考えられます。
・歯根吸収(歯の根が短くなる症状)
・歯肉退縮(歯肉が下がる症状)
・アンキローシス(歯と歯を支える骨が癒着し歯が動かなくなる状態)
・歯髄壊死(歯の神経が死んだ状態)
・顎関節症(顎の痛み、口をあけにくい、顎の音がするなどの症状)

症例③ 出っ歯を治したい。口が閉じにくい。

初診

初診

治療経過(動的治療開始時)

治療経過(動的治療開始時)

治療経過(動的治療終了時)

治療経過(動的治療終了時)

治療終了

治療終了

術前術後の比較

術前術後の比較

概要 ハーフリンガル矯正
20代女性
主訴 出っ歯を治したい。口が閉じにくい。
治療解説 ハーフリンガル矯正で治療しました。パラタルバーと口蓋スクリューを固定源に置き、上下左右4番を抜歯しました。口元が引っ込み、美しいEライン(エステティックライン)になりました。
抜歯(有無、部位) 上下左右4番抜歯
治療期間 3年5ヵ月
治療費 [装置代]¥1,250,000(税別)
[調整料]¥6,000×38回=¥228,000(税別)
[保定装置代]¥70,000(税別)
矯正治療に
ともなう一般的な
リスクや副作用に
ついて
矯正治療では以下のリスクや副作用が考えられます。
・歯根吸収(歯の根が短くなる症状)
・歯肉退縮(歯肉が下がる症状)
・アンキローシス(歯と歯を支える骨が癒着し歯が動かなくなる状態)
・歯髄壊死(歯の神経が死んだ状態)
・顎関節症(顎の痛み、口をあけにくい、顎の音がするなどの症状)

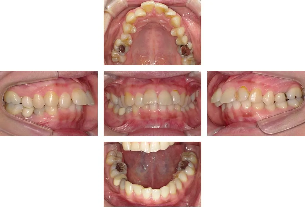
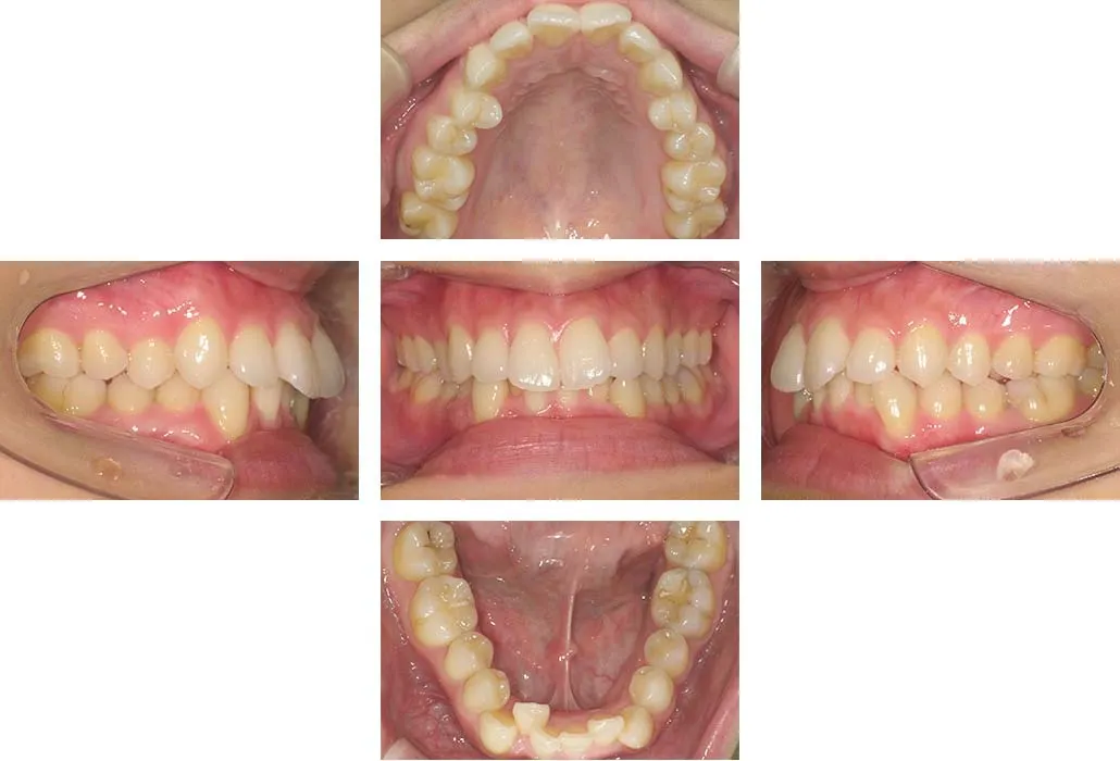
症例④ 出っ歯を治したい。

初診

初診

治療経過(動的治療開始時)

治療経過(動的治療開始時)

治療経過(動的治療終了時)

治療経過(動的治療終了時)

治療終了

治療終了

術前術後の比較

術前術後の比較

概要 表側矯正装置
20代男性
主訴 出っ歯を治したい。
治療解説 上顎前歯が著しく突出していたので、上顎左右4番を抜歯して治療しました。保定装置をフルタイム使用し、安定した噛み合わせを図っています。
抜歯(有無、部位) 上顎左右4番抜歯
治療期間 2年8ヵ月
治療費 [装置代]¥750,000(税別)
[調整料]¥5,000×28回=¥140,000(税別)
[保定装置代]¥70,000(税別)
矯正治療に
ともなう一般的な
リスクや副作用に
ついて
矯正治療では以下のリスクや副作用が考えられます。
・歯根吸収(歯の根が短くなる症状)
・歯肉退縮(歯肉が下がる症状)
・アンキローシス(歯と歯を支える骨が癒着し歯が動かなくなる状態)
・歯髄壊死(歯の神経が死んだ状態)
・顎関節症(顎の痛み、口をあけにくい、顎の音がするなどの症状)

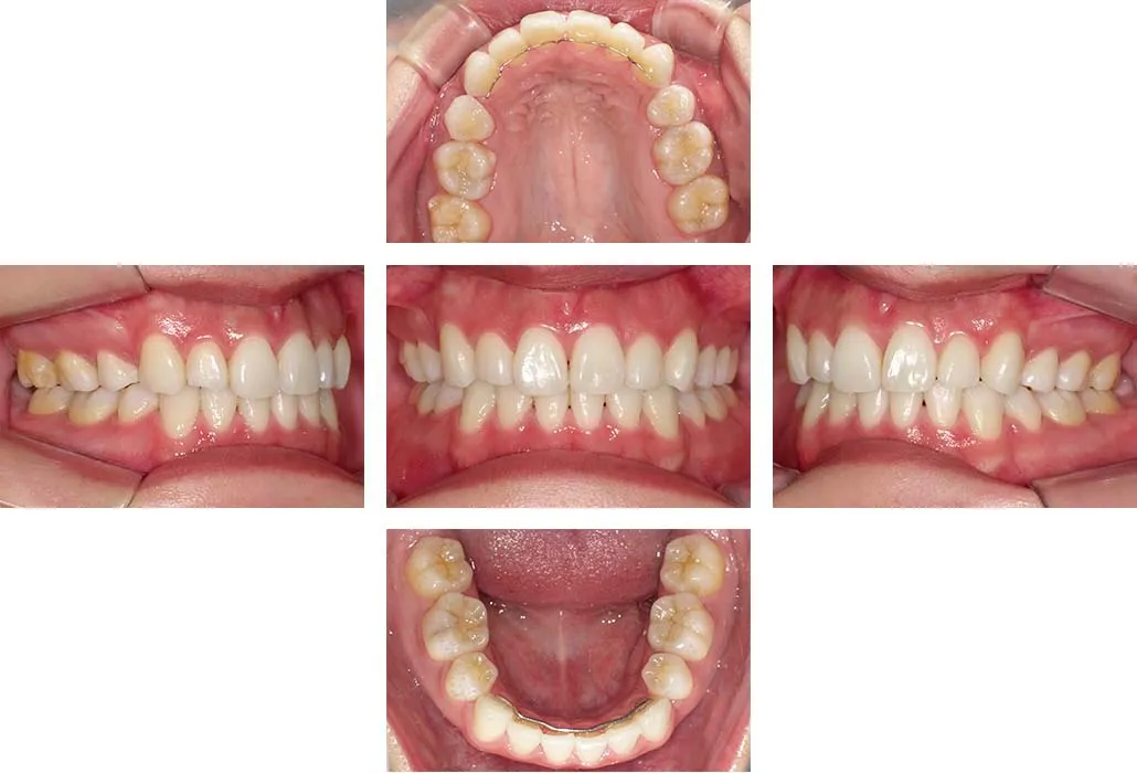
症例⑤ 出っ歯を治したい

初診

初診

治療経過(動的治療開始時)

治療経過(動的治療開始時)

治療経過(動的治療終了時)

治療経過(動的治療終了時)

治療終了

治療終了

術前術後の比較

術前術後の比較

概要 表側矯正装置
20代女性
主訴 出っ歯を治したい。
治療解説 上下左右4番の抜歯を行い、表側矯正のマルチブラケット装置を用いて治療しました。ゴムかけをしっかり行っていただいたので、口元を引っ込めることができました。
抜歯(有無、部位) 上下左右4番抜歯
治療期間 2年8ヵ月
治療費 [装置代]¥750,000(税別)
[調整料]¥5,000×29回=¥145,000(税別)
[保定装置代]¥70,000(税別)
矯正治療に
ともなう一般的な
リスクや副作用に
ついて
矯正治療では以下のリスクや副作用が考えられます。
・歯根吸収(歯の根が短くなる症状)
・歯肉退縮(歯肉が下がる症状)
・アンキローシス(歯と歯を支える骨が癒着し歯が動かなくなる状態)
・歯髄壊死(歯の神経が死んだ状態)
・顎関節症(顎の痛み、口をあけにくい、顎の音がするなどの症状)

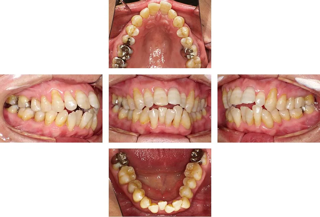
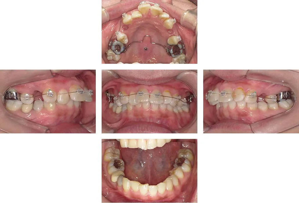
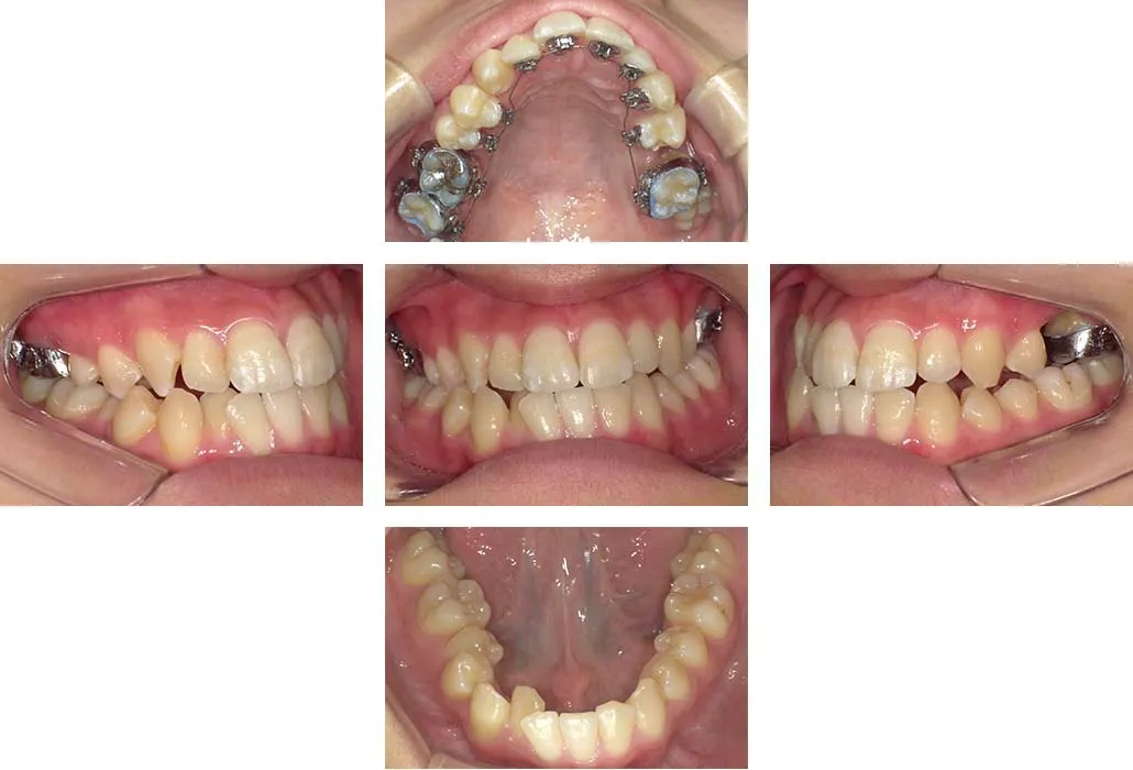
症例① 反対咬合を治したい

初診

初診

治療経過(動的治療開始時)

治療経過(動的治療開始時)

治療経過(動的治療終了時)

治療経過(動的治療終了時)

治療終了

治療終了

術前術後の比較

術前術後の比較

概要 表側矯正装置
40代女性
主訴 反対咬合を治したい。
治療解説 マルチブラケット装置を使う前に、上顎に拡大床を用いて側方拡大を行いました。下顎はストリッピングを行い歯列弓を縮小し、治療しました。反対咬合が改善され、装置を外した後は後戻り防止のために、保定装置を使用しています。また、低位舌の改善のために舌のトレーニングを行っています。
抜歯(有無、部位) 非抜歯
治療期間 2年8ヵ月
治療費 [装置代]¥750,000(税別)
[調整料]¥5,000×28回=¥140,000(税別)
[保定装置代]¥70,000(税別)
矯正治療に
ともなう一般的な
リスクや副作用に
ついて
矯正治療では以下のリスクや副作用が考えられます。
・歯根吸収(歯の根が短くなる症状)
・歯肉退縮(歯肉が下がる症状)
・アンキローシス(歯と歯を支える骨が癒着し歯が動かなくなる状態)
・歯髄壊死(歯の神経が死んだ状態)
・顎関節症(顎の痛み、口をあけにくい、顎の音がするなどの症状)

症例② 反対咬合を治したい

初診

初診

治療経過(動的治療開始時)

治療経過(動的治療開始時)

治療経過(動的治療終了時)

治療経過(動的治療終了時)

治療終了

治療終了

術前術後の比較

術前術後の比較

概要 表側矯正装置
30代男性
主訴 反対咬合を治したい。
治療解説 リンガルアーチで反対咬合を改善した後、表側にマルチブラケット装置を用いて治療を行いました。装置を外した後は、保定装置の使用と舌のトレーニングを行っています。
抜歯(有無、部位) 非抜歯
治療期間 1年6ヵ月
治療費 [装置代]¥750,000(税別)
[調整料]¥5,000×17回=¥85,000(税別)
[保定装置代]¥70,000(税別)
矯正治療に
ともなう一般的な
リスクや副作用に
ついて
矯正治療では以下のリスクや副作用が考えられます。
・歯根吸収(歯の根が短くなる症状)
・歯肉退縮(歯肉が下がる症状)
・アンキローシス(歯と歯を支える骨が癒着し歯が動かなくなる状態)
・歯髄壊死(歯の神経が死んだ状態)
・顎関節症(顎の痛み、口をあけにくい、顎の音がするなどの症状)

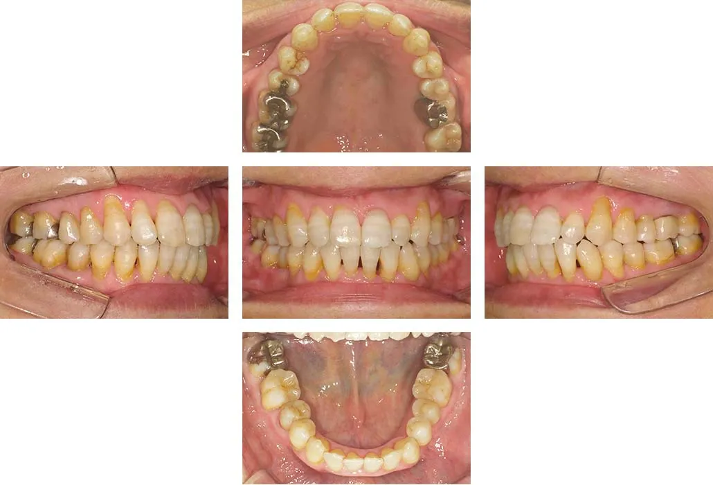
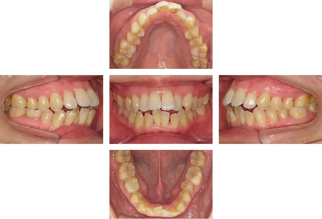
症例① 前歯で物が噛めない。下顎の歯並びを治したい

初診

初診

治療経過(動的治療開始時)

治療経過(動的治療開始時)

治療経過(動的治療終了時)

治療経過(動的治療終了時)

治療終了

治療終了

術前術後の比較

術前術後の比較

概要 表側矯正装置
60代女性
主訴 前歯で物が噛めない。下顎の歯並びを治したい。
治療解説 抜歯もアンカースクリューによる矯正治療も希望されなかったため、マルチブラケット装置と顎間ゴム、舌のトレーニングで噛み合わせを改善しました。
術後は保定装置(タングクリブ)を使用して、後戻りを防いでいます。
抜歯(有無、部位) 非抜歯
治療期間 1年9ヵ月
治療費 [装置代]¥750,000(税別)
[調整料]¥5,000×26回=¥130,000(税別)
[保定装置代]¥70,000(税別)
矯正治療に
ともなう一般的な
リスクや副作用に
ついて
矯正治療では以下のリスクや副作用が考えられます。
・歯根吸収(歯の根が短くなる症状)
・歯肉退縮(歯肉が下がる症状)
・アンキローシス(歯と歯を支える骨が癒着し歯が動かなくなる状態)
・歯髄壊死(歯の神経が死んだ状態)
・顎関節症(顎の痛み、口をあけにくい、顎の音がするなどの症状)

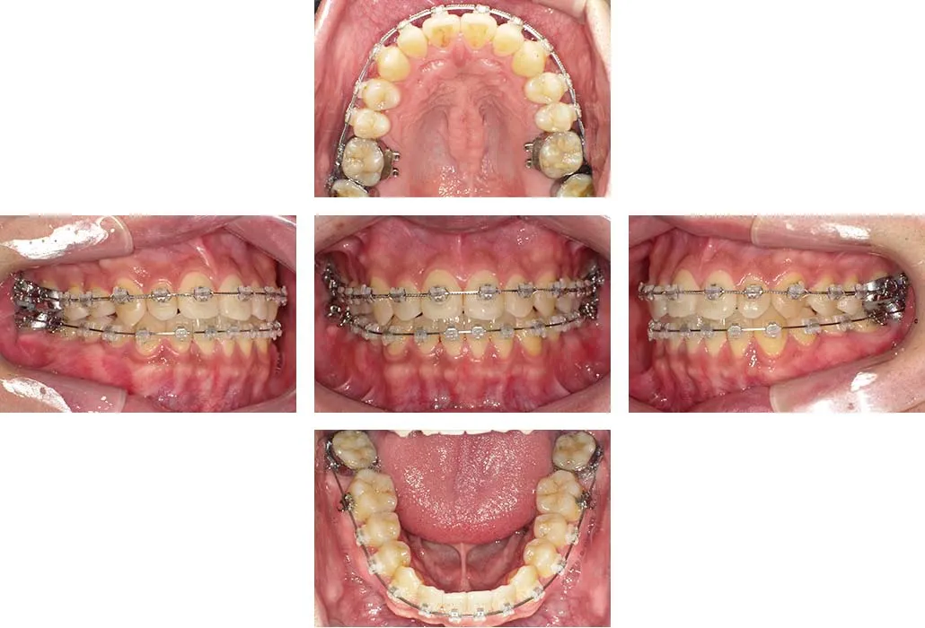
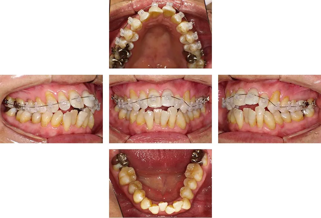
症例② 開咬と前歯の歯並びを治したい

初診

初診

治療経過(動的治療開始時)

治療経過(動的治療開始時)

治療経過(動的治療終了時)

治療経過(動的治療終了時)

治療終了

治療終了

術前術後の比較

術前術後の比較

概要 ハーフリンガル矯正
20代女性
主訴 開咬と前歯の歯並びを治したい。
治療解説 上下左右4番の抜歯を行い、パラタルバーとアンカースクリューを用いてハーフリンガル矯正の装置で治療を行いました。術後は保定装置および下顎にフィックスリテーナーを用いて、噛み合わせを安定させています。
抜歯(有無、部位) 上下左右4番抜歯
治療期間 3年11ヵ月
治療費 [装置代]¥1,250,000(税別)
[調整料]¥6,000×37回=¥222,000(税別)
[保定装置代]¥70,000(税別)
矯正治療に
ともなう一般的な
リスクや副作用に
ついて
矯正治療では以下のリスクや副作用が考えられます。
・歯根吸収(歯の根が短くなる症状)
・歯肉退縮(歯肉が下がる症状)
・アンキローシス(歯と歯を支える骨が癒着し歯が動かなくなる状態)
・歯髄壊死(歯の神経が死んだ状態)
・顎関節症(顎の痛み、口をあけにくい、顎の音がするなどの症状)

症例③ 開咬と口元の突出感を治したい

初診

初診

治療経過(動的治療開始時)

治療経過(動的治療開始時)

治療経過(動的治療終了時)

治療経過(動的治療終了時)

治療終了

治療終了

術前術後の比較

術前術後の比較

概要 表側矯正装置
20代女性
主訴 開咬と口元の突出感を治したい。
治療解説 上下左右4番の抜歯を行い、パラタルバーと口蓋スクリューを用いて表側矯正で治療を行いました。治療後は口が閉じやすくなり、前歯で物が噛めるようになっています。後戻り防止に保定装置が必須となります。
抜歯(有無、部位) 上下左右4番抜歯
治療期間 2年6ヵ月
治療費 [装置代]¥750,000(税別)
[調整料]¥5,000×29回=¥145,000(税別)
[保定装置代]¥70,000(税別)
矯正治療に
ともなう一般的な
リスクや副作用に
ついて
矯正治療では以下のリスクや副作用が考えられます。
・歯根吸収(歯の根が短くなる症状)
・歯肉退縮(歯肉が下がる症状)
・アンキローシス(歯と歯を支える骨が癒着し歯が動かなくなる状態)
・歯髄壊死(歯の神経が死んだ状態)
・顎関節症(顎の痛み、口をあけにくい、顎の音がするなどの症状)

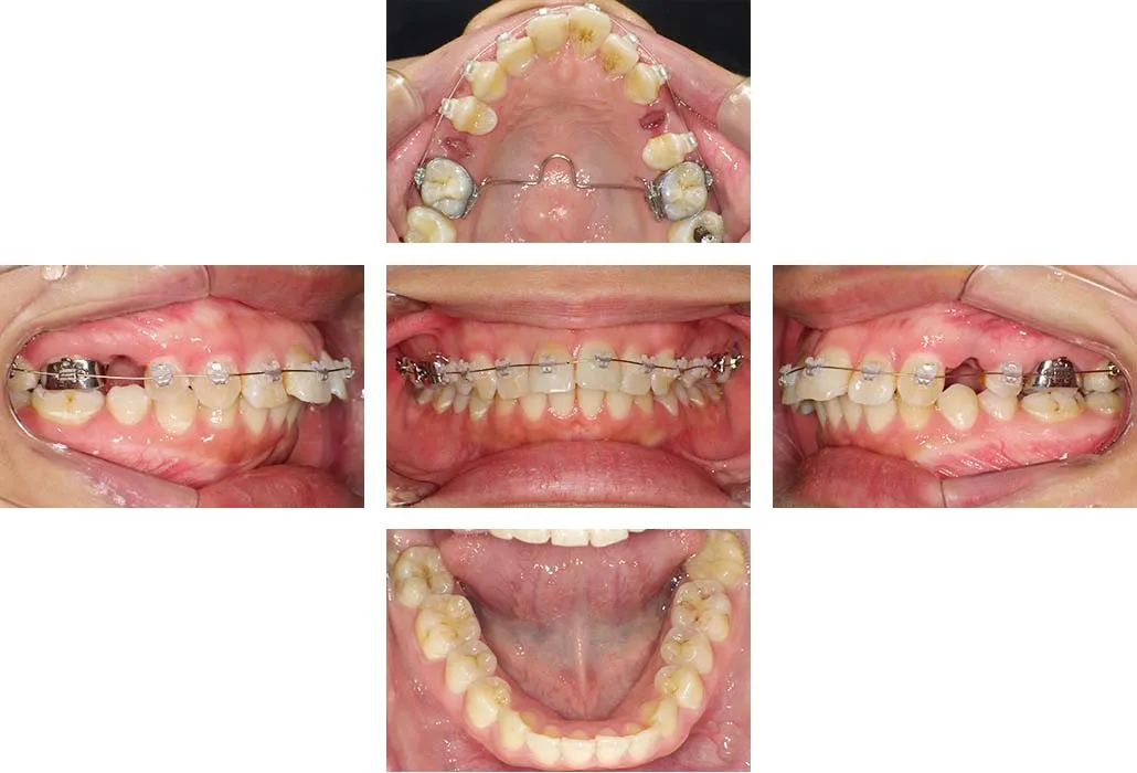
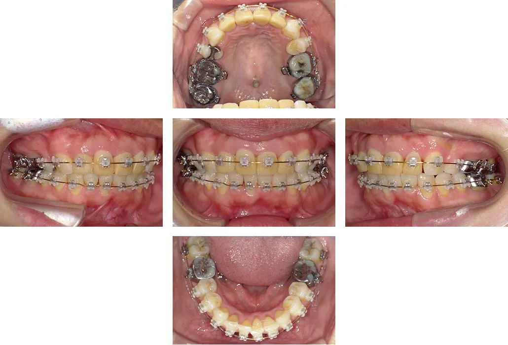
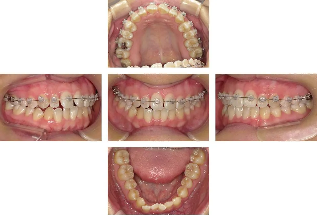
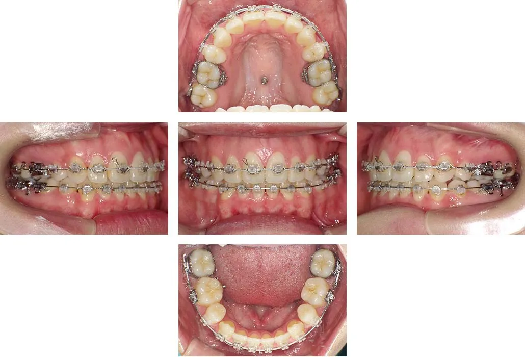
症例① 舌側に傾いている歯が気になる。噛み合わせを治したい

初診

初診

治療経過(動的治療開始時)

治療経過(動的治療開始時)

治療経過(動的治療終了時)

治療経過(動的治療終了時)

治療終了

治療終了

術前術後の比較

術前術後の比較

概要 表側矯正装置
30代女性
主訴 舌側に傾いている歯が気になる。噛み合わせを治したい。
治療解説 奥歯をパラタルバーで固定した後、上下左右4番の抜歯を行い、マルチブラケット装置を用いて治療を行いました。噛み合わせが深く、下の歯に装置が付けられなかったので、途中奥歯にプラスチックを取り付けて、噛み合わせの位置を上げながら治療しました。
抜歯(有無、部位) 上下左右4番抜歯
治療期間 2年3ヵ月
治療費 [装置代]¥750,000(税別)
パラタルバー¥50,000(税別)
[調整料]¥5,000×32回=¥160,000(税別)
[保定装置代]¥70,000(税別)
矯正治療に
ともなう一般的な
リスクや副作用に
ついて
矯正治療では以下のリスクや副作用が考えられます。
・歯根吸収(歯の根が短くなる症状)
・歯肉退縮(歯肉が下がる症状)
・アンキローシス(歯と歯を支える骨が癒着し歯が動かなくなる状態)
・歯髄壊死(歯の神経が死んだ状態)
・顎関節症(顎の痛み、口をあけにくい、顎の音がするなどの症状)

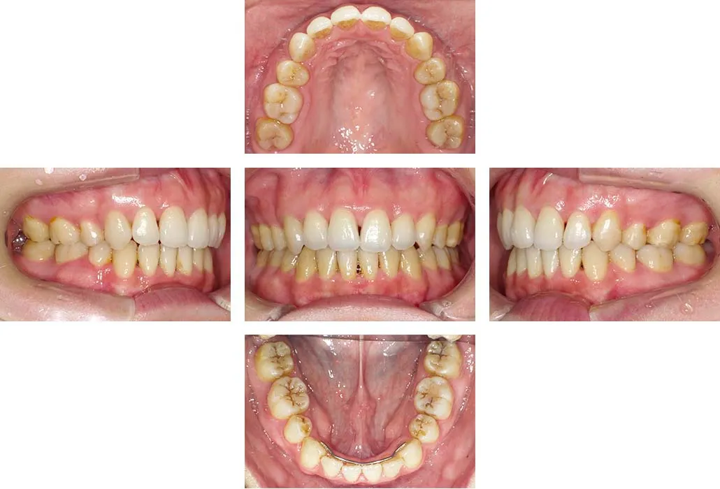
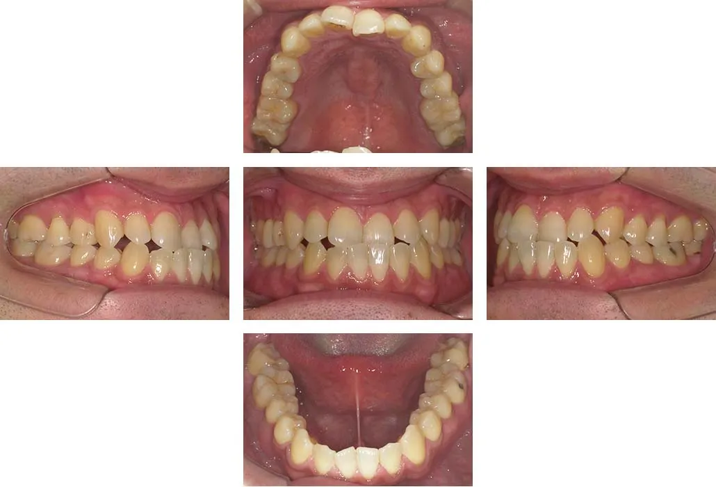
症例② 噛み合わせが深い。下顎の歯並びが気になる。

初診

初診

治療終了

治療終了

術前術後の比較

術前術後の比較

概要 マウスピース型矯正装置(インビザライン)
30代女性
主訴 噛み合わせが深い。下顎の歯並びが気になる。
治療解説 マウスピース型矯正装置(インビザライン)で治療を行いました。1日20時間使用。初回30枚、追加20枚のアライナーを使用しました。
抜歯(有無、部位) 非抜歯
治療期間 3年
治療費 [装置代]¥800,000(税別)
[調整料] 調整料なし×27回=¥0
[保定装置代]¥70,000(税別)
矯正治療に
ともなう一般的な
リスクや副作用に
ついて
矯正治療では以下のリスクや副作用が考えられます。
・歯根吸収(歯の根が短くなる症状)
・歯肉退縮(歯肉が下がる症状)
・アンキローシス(歯と歯を支える骨が癒着し歯が動かなくなる状態)
・歯髄壊死(歯の神経が死んだ状態)
・顎関節症(顎の痛み、口をあけにくい、顎の音がするなどの症状)

症例① 噛み合わせが深い。正中離開(すきっ歯)を治したい

初診

初診

治療経過(動的治療開始時)

治療経過(動的治療開始時)

治療経過(動的治療終了時)

治療経過(動的治療終了時)

治療終了

治療終了

術前術後の比較

術前術後の比較

概要 表側矯正装置
10代女性
主訴 噛み合わせが深い。正中離開を治したい。
治療解説 噛み合わせが深く、前歯の隙間を閉じながらゴムを使用し、下の前歯が見えるように整えていきました。しかし、成人式の撮影のために装置を外すことを希望され、治療途中の1年3ヵ月で治療を終えました。後戻り防止のために保定装置を使用してもらっています。
抜歯(有無、部位) 非抜歯
治療期間 1年3ヵ月
治療費 [装置代]¥750,000(税別)
[調整料]¥5,000×15回=¥75,000(税別)
[保定装置代]¥70,000(税別)
矯正治療に
ともなう一般的な
リスクや副作用に
ついて
矯正治療では以下のリスクや副作用が考えられます。
・歯根吸収(歯の根が短くなる症状)
・歯肉退縮(歯肉が下がる症状)
・アンキローシス(歯と歯を支える骨が癒着し歯が動かなくなる状態)
・歯髄壊死(歯の神経が死んだ状態)
・顎関節症(顎の痛み、口をあけにくい、顎の音がするなどの症状)

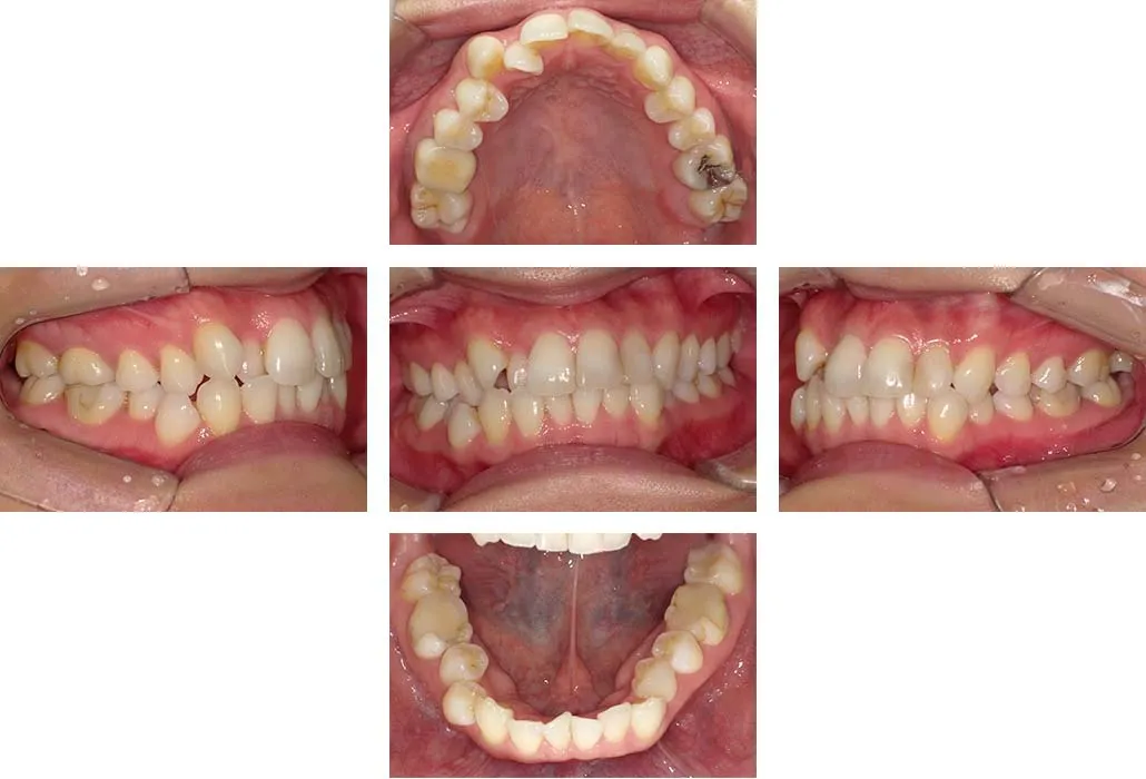
症例② 前歯の隙間が徐々に広がっていくのが気になる

初診

初診

治療終了

治療終了

術前術後の比較

術前術後の比較

概要 マウスピース型矯正装置(インビザライン)
40代女性
主訴 前歯の隙間が徐々に広がっていくのが気になる。
治療解説 正中離開を改善。正中離開は後戻りが起きやすいので、前歯を押さないように舌のトレーニングを行っています。また、上唇小帯切除を行い、歯間に食い込んだ歯肉繊維を取り除いています。
抜歯(有無、部位) 非抜歯
治療期間 5ヵ月
治療費 [装置代]¥320,000(税別)
[調整料]¥3,000×7回=¥21,000(税別)
[保定装置代]¥70,000(税別)
矯正治療に
ともなう一般的な
リスクや副作用に
ついて
矯正治療では以下のリスクや副作用が考えられます。
・歯根吸収(歯の根が短くなる症状)
・歯肉退縮(歯肉が下がる症状)
・アンキローシス(歯と歯を支える骨が癒着し歯が動かなくなる状態)
・歯髄壊死(歯の神経が死んだ状態)
・顎関節症(顎の痛み、口をあけにくい、顎の音がするなどの症状)

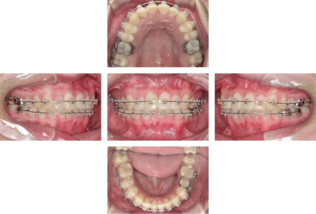
症例① 前歯で物が噛めない

初診

初診

治療経過(動的治療開始時)

治療経過(動的治療開始時)

治療経過(動的治療終了時)

治療経過(動的治療終了時)

治療終了

治療終了

術前術後の比較

術前術後の比較

概要 ハーフリンガル矯正
20代女性
主訴 前歯で物が噛めない。
治療解説 噛み合わせが不安定で、前で噛んだり後ろで噛んだりするのを改善するために、顎関節を中心になるべく前噛みしないように指導。舌癖があるので、舌のトレーニングも行いました。奥歯を圧下させるためにアンカースクリューを用いて治療を行いました。
抜歯(有無、部位) 上下左右4番抜歯
治療期間 2年9ヵ月
治療費 [装置代]¥1,250,000(税別)
[調整料]¥6,000×25回=¥150,000(税別)
[保定装置代]¥70,000(税別)
矯正治療に
ともなう一般的な
リスクや副作用に
ついて
矯正治療では以下のリスクや副作用が考えられます。
・歯根吸収(歯の根が短くなる症状)
・歯肉退縮(歯肉が下がる症状)
・アンキローシス(歯と歯を支える骨が癒着し歯が動かなくなる状態)
・歯髄壊死(歯の神経が死んだ状態)
・顎関節症(顎の痛み、口をあけにくい、顎の音がするなどの症状)

症例② どこで噛むかわからない。右上犬歯が外に出ている

初診

初診

治療経過(動的治療開始時)

治療経過(動的治療開始時)

治療経過(動的治療終了時)

治療経過(動的治療終了時)

治療終了

治療終了

術前術後の比較

術前術後の比較

概要 表側矯正装置
20代女性
主訴 どこで噛むかわからない。右上犬歯が外に出ている。
治療解説 噛み合わせが不安定で浅いため、パラタルバーと口蓋のアンカースクリューを用いて奥歯を圧下しながら治療しました。後戻り防止のため、保定装置と舌のトレーニングを行っています。
抜歯(有無、部位) 上下左右4番抜歯
治療期間 2年7ヵ月
治療費 [装置代]¥750,000(税別)
[調整料]¥5,000×30回=¥150,000(税別)
[保定装置代]¥70,000(税別)
矯正治療に
ともなう一般的な
リスクや副作用に
ついて
矯正治療では以下のリスクや副作用が考えられます。
・歯根吸収(歯の根が短くなる症状)
・歯肉退縮(歯肉が下がる症状)
・アンキローシス(歯と歯を支える骨が癒着し歯が動かなくなる状態)
・歯髄壊死(歯の神経が死んだ状態)
・顎関節症(顎の痛み、口をあけにくい、顎の音がするなどの症状)

症例① 顎が右にズレているのを治したい

初診

初診

治療経過(動的治療開始時)

治療経過(動的治療開始時)

治療経過(動的治療終了時)

治療経過(動的治療終了時)

治療終了

治療終了

術前術後の比較

術前術後の比較

概要 ハーフリンガル矯正
30代女性
主訴 顎が右にズレているのを治したい。
治療解説 上顎の歯列弓が狭く、噛むと顎が右にズレるので、上顎拡大装置(クワドヘリックス)で側方拡大してから、舌側に矯正装置を付けました。上顎前歯を鼻の正中に持っていくために、右奥歯のあたりにアンカースクリューやチタンプレートを埋入し、奥歯を後ろに移動させています。上下の歯列が整うと、顎の歪みやズレが改善されました。手術をしないで矯正だけで治療を行いましたので、後戻りをどれだけ防げるか経過観察しています。
抜歯(有無、部位) 非抜歯
治療期間 3年7ヵ月
治療費 [装置代]¥1,250,000(税別)
[調整料]¥6,000×42回=¥252,000(税別)
[保定装置代]¥70,000(税別)
矯正治療に
ともなう一般的な
リスクや副作用に
ついて
矯正治療では以下のリスクや副作用が考えられます。
・歯根吸収(歯の根が短くなる症状)
・歯肉退縮(歯肉が下がる症状)
・アンキローシス(歯と歯を支える骨が癒着し歯が動かなくなる状態)
・歯髄壊死(歯の神経が死んだ状態)
・顎関節症(顎の痛み、口をあけにくい、顎の音がするなどの症状)

症例② 顎のズレ、下の歯のガタガタを治したい

初診

初診

治療経過(動的治療開始時)

治療経過(動的治療開始時)

治療経過(動的治療終了時)

治療経過(動的治療終了時)

治療終了

治療終了

術前術後の比較

術前術後の比較

概要 ハーフリンガル矯正
20代女性
主訴 顎のズレ、下の歯のガタガタを治したい。
治療解説 もともと左上5番の歯が先天欠如しており、乳歯E(奥歯)が残っている状態でした。通常は左右対称になるように抜歯をして治療を行いますが、骨格的に上顎が小さめだったため、上顎前歯が中に入りすぎないように、上顎は左上乳歯Eのみ抜歯。左上の奥歯を前に移動して治療しました。下顎は左下4番のみ抜歯し、全体的に右にズレていた歯を、左側に移動させて治療しました。顎のズレは改善され、噛み合わせは安定しています。
抜歯(有無、部位) 左上乳歯E、左下4番抜歯
治療期間 3年6ヵ月
治療費 [装置代]¥1,250,000(税別)
[調整料]¥6,000×39回=¥234,000(税別)
[保定装置代]¥70,000(税別)
矯正治療に
ともなう一般的な
リスクや副作用に
ついて
矯正治療では以下のリスクや副作用が考えられます。
・歯根吸収(歯の根が短くなる症状)
・歯肉退縮(歯肉が下がる症状)
・アンキローシス(歯と歯を支える骨が癒着し歯が動かなくなる状態)
・歯髄壊死(歯の神経が死んだ状態)
・顎関節症(顎の痛み、口をあけにくい、顎の音がするなどの症状)

症例③ 正中のズレと右上の歯が気になる

初診

初診

治療経過(動的治療開始時)

治療経過(動的治療開始時)

治療経過(動的治療終了時)

治療経過(動的治療終了時)

治療終了

治療終了

術前術後の比較

術前術後の比較

概要 表側矯正装置
30代女性
主訴 正中のズレと右上の歯が気になる。
治療解説 正中のズレと歯並びを治すために、上下左右4番を抜歯。右側にチタンプレートを入れ、そこから右側へゴムで移動させてズレを改善しました。後戻り防止のために保定装置を使用しています。
抜歯(有無、部位) 上下左右4番抜歯
治療期間 2年2ヵ月
治療費 [装置代]¥750,000(税別)
[調整料]¥5,000×26回=¥130,000(税別)
[保定装置代]¥70,000(税別)
矯正治療に
ともなう一般的な
リスクや副作用に
ついて
矯正治療では以下のリスクや副作用が考えられます。
・歯根吸収(歯の根が短くなる症状)
・歯肉退縮(歯肉が下がる症状)
・アンキローシス(歯と歯を支える骨が癒着し歯が動かなくなる状態)
・歯髄壊死(歯の神経が死んだ状態)
・顎関節症(顎の痛み、口をあけにくい、顎の音がするなどの症状)

症例④ 歯並びと顎のズレを治したい

初診

初診

治療経過(動的治療開始時)

治療経過(動的治療開始時)

治療経過(動的治療終了時)

治療経過(動的治療終了時)

治療終了

治療終了

術前術後の比較

術前術後の比較

概要 表側矯正装置
20代女性
主訴 歯並びと顎のズレを治したい。
治療解説 非抜歯で治療を行いました。上下の歯を噛み合わせると、どこかの歯が当たり顎がズレるので、当たりをなくすために取り外し可能な拡大プレートを使用しました。顎が少し拡大されてから、表側に装置を付けました。スペースの確保のためにストリッピングを行っています。噛み合わせは改善できましたが、顎のズレは改善できませんでした。後戻り防止のために保定装置を装着しています。
抜歯(有無、部位) 非抜歯
治療期間 1年3ヵ月
治療費 [装置代]¥750,000(税別)
[調整料]¥5,000×14回=¥70,000(税別)
[保定装置代]¥70,000(税別)
矯正治療に
ともなう一般的な
リスクや副作用に
ついて
矯正治療では以下のリスクや副作用が考えられます。
・歯根吸収(歯の根が短くなる症状)
・歯肉退縮(歯肉が下がる症状)
・アンキローシス(歯と歯を支える骨が癒着し歯が動かなくなる状態)
・歯髄壊死(歯の神経が死んだ状態)
・顎関節症(顎の痛み、口をあけにくい、顎の音がするなどの症状)

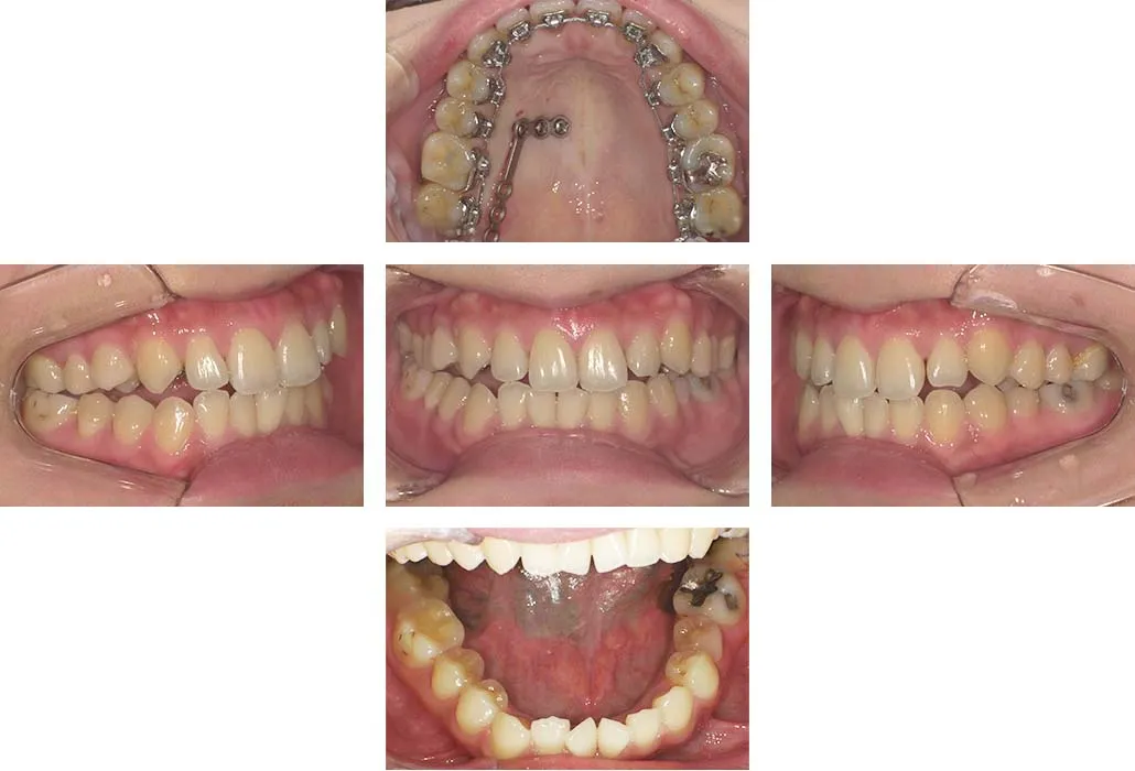
症例① 上顎前歯の突出と左上犬歯の埋伏を治したい

初診

初診

治療経過(動的治療開始時)

治療経過(動的治療開始時)

治療経過(動的治療終了時)

治療経過(動的治療終了時)

治療終了

治療終了

術前術後の比較

術前術後の比較

概要 表側矯正装置
40代女性
主訴 上顎前歯の突出と左上犬歯の埋伏を治したい。
治療解説 上顎突出感の改善のために上下左右4番を抜歯。埋伏していた左上犬歯を開窓し牽引しました。また、パラタルバーと口蓋のアンカースクリューで噛み合わせを調整。後戻り防止のために、保定装置の使用および舌のトレーニングを行っています。
抜歯(有無、部位) 上下左右4番抜歯
治療期間 2年10ヵ月
治療費 [装置代]¥750,000(税別)
[調整料]¥5,000×30回=¥150,000(税別)
[保定装置代]¥70,000(税別)
矯正治療に
ともなう一般的な
リスクや副作用に
ついて
矯正治療では以下のリスクや副作用が考えられます。
・歯根吸収(歯の根が短くなる症状)
・歯肉退縮(歯肉が下がる症状)
・アンキローシス(歯と歯を支える骨が癒着し歯が動かなくなる状態)
・歯髄壊死(歯の神経が死んだ状態)
・顎関節症(顎の痛み、口をあけにくい、顎の音がするなどの症状)

症例② 上顎の突出感。上顎左右前歯歯冠の長さをそろえたい

初診

初診

治療経過(動的治療開始時)

治療経過(動的治療開始時)

治療経過(動的治療終了時)

治療経過(動的治療終了時)

治療終了

治療終了

術前術後の比較

術前術後の比較

概要 ハーフリンガル矯正
30代女性
主訴 上顎の突出感。上顎左右前歯歯冠の長さをそろえたい。
治療解説 過去に他院で出っ歯をセラミック治療した患者さまです。セラミック部分を仮歯にして、前歯を元の外向き状態にして歯根の向きを整えてから、矯正治療を行いました。ハーフリンガル矯正で治療開始しましたが、途中来られなくなり、表側矯正に変更しています。矯正治療が終わってから右上1番の歯肉の移植を行い、左右対称に見えるように被せ物を作り直ししました。
抜歯(有無、部位) 上顎左右4番抜歯
治療期間 3年6ヵ月
治療費 [装置代]¥1,250,000(税別)
[調整料]¥6,000×35回=¥210,000(税別)
(前歯の作り直しした被せ物は別代金となります)
[保定装置代]¥70,000(税別)
矯正治療に
ともなう一般的な
リスクや副作用に
ついて
矯正治療では以下のリスクや副作用が考えられます。
・歯根吸収(歯の根が短くなる症状)
・歯肉退縮(歯肉が下がる症状)
・アンキローシス(歯と歯を支える骨が癒着し歯が動かなくなる状態)
・歯髄壊死(歯の神経が死んだ状態)
・顎関節症(顎の痛み、口をあけにくい、顎の音がするなどの症状)

症例③ 正中離開と全体の歯並びを治したい

初診

初診

治療経過(動的治療開始時)

治療経過(動的治療開始時)

治療経過(動的治療終了時)

治療経過(動的治療終了時)

治療終了

治療終了

術前術後の比較

術前術後の比較

概要 表側装置
20代男性
主訴 正中離開と全体の歯並びを治したい。
治療解説 レントゲン検査の結果、前歯部の骨欠損が認められたため、矯正で歯を動かす前に骨移植を行いました。3~6ヵ月経過を待って骨が定着したところで、前歯を横にずらし正中離開を改善していきました。上下歯列の幅径が狭かったので、マルチブラケット装置と併用で上顎拡大装置(クワドヘリックス)を使用。下顎にも取り外し可能な拡大床を用いて治療しました。
抜歯(有無、部位) 非抜歯
治療期間 3年8ヵ月(骨移植後の経過含む)
治療費 [装置代]¥750,000(税別)/骨移植代別
[調整料]¥5,000×42回=¥210,000(税別)
[保定装置代]¥70,000(税別)
矯正治療に
ともなう一般的な
リスクや副作用に
ついて
矯正治療では以下のリスクや副作用が考えられます。
・歯根吸収(歯の根が短くなる症状)
・歯肉退縮(歯肉が下がる症状)
・アンキローシス(歯と歯を支える骨が癒着し歯が動かなくなる状態)
・歯髄壊死(歯の神経が死んだ状態)
・顎関節症(顎の痛み、口をあけにくい、顎の音がするなどの症状)

一般的なリスク・副作用

矯正治療

  • ・矯正治療の一般的な治療費は60万~150万円、一般的な治療期間は2~3年、一般的な治療回数は24~36回となります。使用する装置、症状や治療の進行状況などにより変化しますので、参考程度にお考えいただき、詳細は歯科医師にご確認ください。
  • ・機能性や審美性を重視するため、公的健康保険対象外の自費診療となり、保険診療よりも高額になります。
  • ・最初は矯正装置による不快感、痛みなどがあります。数日から1~2週間で慣れることが多いです。
  • ・歯の動き方には個人差があるため、治療期間が予想より長期化することがあります。
  • ・装置や顎間ゴムの扱い方、定期的な通院など、矯正治療では患者さまのご協力がたいへん重要であり、それらが治療結果や治療期間に影響します。
  • ・治療中は、装置がついているため歯が磨きにくくなります。虫歯や歯周病のリスクが高まるので、丁寧な歯磨きや定期メンテナンスの受診が大切です。また、歯が動くことで見えなかった虫歯が見えるようになることもあります。
  • ・歯を動かすことにより歯根が吸収され、短くなることがあります。また、歯肉が痩せて下がることがあります。
  • ・ごくまれに、歯が骨と癒着していて歯が動かないことがあります。
  • ・ごくまれに、歯を動かすことで神経に障害を与え、神経が壊死することがあります。
  • ・治療中に金属などのアレルギー症状が出ることがあります。
  • ・治療中に、「顎関節で音が鳴る、顎が痛い、口をあけにくい」などの顎関節症状が出ることがあります。
  • ・問題が生じた場合、当初の治療計画を変更することがあります。
  • ・歯の形状の修正や、噛み合わせの微調整を行うことがあります。
  • ・矯正装置を誤飲する可能性があります。
  • ・装置を外すときに、エナメル質に微小な亀裂が入る可能性や、補綴物(被せ物など)の一部が破損することがあります。
  • ・装置を外したあと、保定装置を指示どおりに使用しないと後戻りが生じる可能性が高くなります。
  • ・装置を外したあと、現在の噛み合わせに合わせて補綴物(被せ物など)の作製や虫歯治療などをやり直す可能性があります。
  • ・顎の成長発育により、歯並びや噛み合わせが変化する可能性があります。
  • ・治療後に、親知らずの影響で歯並びや噛み合わせが変化する可能性があります。
  • ・加齢や歯周病などにより、歯並びや噛み合わせが変化することがあります。
  • ・矯正治療は、一度始めると元の状態に戻すことが難しくなります。

舌側矯正装置を用いた治療

  • ・機能性や審美性を重視するため、公的健康保険対象外の自費診療となり、保険診療よりも高額になります。
  • ・装置に慣れるまで発音しづらいなどの症状が出ることがあります。
  • ・矯正装置を装着している期間は、適切に歯磨きができていないと、虫歯や歯周病にかかりやすくなります。歯磨き指導をしますので、毎日きちんと歯を磨き、口腔内を清潔に保つようご協力をお願いします。
  • ・歯磨き、エラスティック(顎間ゴム)の使用、装置の取り扱い、通院などを適切に行っていただけない場合、治療の期間や結果が予定どおりにならないことがあります。
  • ・成長期の患者さまの治療では、顎骨の成長を予測し、現段階において適切な治療を行いますが、まれに予期できない顎の成長や変化によって治療法や治療期間が大きく変わることがあります。また、顎の変形が著しい場合には、矯正治療に外科的処置を併用することがあります。
  • ・歯を移動させることにより、まれに歯根の先端がすり減って短くなる「歯根吸収」を起こすことがあります。しかし、適切な矯正力で歯を移動させることでセメント質(歯根表面を覆っている組織)が修復されるため、歯根吸収のリスクを軽減できます。
  • ・歯の周囲の組織は、治療前の状態に戻ろうと「後戻り」する性質があるため、治療後も数ヵ月から1年に1回ほどの頻度で通院いただいて歯の状態を管理し、後戻りを防ぐ必要があります。

マウスピース型矯正装置(インビザライン)を用いた治療

  • ・マウスピース型矯正装置(インビザライン)を用いた治療は、機能性や審美性を重視するため、公的健康保険対象外の自費診療となり、保険診療よりも高額になります。
  • ・正しい装着方法で1日20時間以上使用しないと、目標とする治療結果を得られないことがあるため、きちんとした自己管理が必要になります。
  • ・ご自身で取り外せるため、紛失することがあります。
  • ・症状によっては、マウスピース型矯正装置で治療できないことがあります。
  • ・お口の中の状態によっては、治療計画どおりの結果が得られないことがあります。
  • ・装着したまま糖分の入った飲料をとると、虫歯を発症しやすくなります。
  • ・治療によって、まれに歯根吸収や歯肉退縮が起こることがあります。
  • ・食いしばりの癖が強い方の場合、奥歯が噛まなくなることがあります。
  • ・治療途中で、ワイヤーを使う治療への変更が必要になることがあります。
  • ・お口の状態によっては、マウスピース型矯正装置に加え、補助矯正装置が必要になることがあります。
  • ・治療完了後は後戻りを防ぐため、保定装置の装着が必要になります。
  • ・薬機法(医薬品医療機器等法)においてまだ承認されていない医療機器です。日本では完成物薬機法対象外の装置であり、医薬品副作用被害救済措置の対象外となることがあります。

薬機法において承認されていない医療機器「インビザライン」について

当院でご提供している「マウスピース型矯正装置(インビザライン)」は、薬機法(医薬品医療機器等法)においてまだ承認されていない医療機器となりますが、当院ではその有効性を認め、導入しています。

  • ◦未承認医療機器に該当
    薬機法上の承認を得ていません(独立行政法人 医薬品医療機器総合機構ウェブサイトにて2026年1月23日最終確認)。
  • ◦入手経路等
    アライン・テクノロジー社(日本法人:インビザライン・ジャパン合同会社)より入手しています。
  • ◦国内の承認医療機器等の有無
    国内では、マウスピース型矯正装置(インビザライン)と同様の性能を有した承認医療機器は存在しない可能性があります(独立行政法人 医薬品医療機器総合機構ウェブサイトにて2026年1月23日最終確認)。
  • ◦諸外国における安全性等にかかわる情報
    1998年にFDA(米国食品医薬品局)により医療機器として認証を受けていますが、情報が不足しているため、ここでは諸外国における安全性等にかかわる情報は明示できません。今後重大なリスク・副作用が報告される可能性があります。
  • ◦医薬品副作用被害救済制度・生物由来製品感染等被害救済制度の救済対象外
    国内で承認を受けて製造販売されている医薬品・医療機器(生物由来等製品である場合に限る)・再生医療等製品による副作用やウイルス等による感染被害で、万が一健康被害があったとき、「医薬品副作用被害救済制度」「生物由来製品感染等被害救済制度」などの公的な救済制度が適用されますが、未承認医薬品・医療機器・再生医療等製品の使用は救済の対象にはなりません。また、承認を受けて製造販売されている医薬品・医療機器・再生医療等製品であっても、原則として決められた効能・効果、用法・用量および使用上の注意に従って使用されていない場合は、救済の対象にはなりません。
    日本では、完成物薬機法対象外の矯正装置であり、医薬品副作用被害救済制度の対象外となります。
    ※当該未承認医薬品・医療機器を用いた治療の広告に対する注意事項の情報の正確性について、本ウェブサイトの関係者は一切責任を負いません。

保定装置を用いた治療

  • ・矯正治療で整えた歯並びが元の状態に戻る「後戻り」を防ぐために、矯正治療終了後に装着する装置です。
  • ・機能性や審美性を重視するため、公的健康保険対象外の自費診療となり、保険診療よりも高額になります。
  • ・マウスピース型、プレート型、ワイヤー型などがあり、治療後の歯並びの状態に応じて歯科医師の指示に従い、正しい期間・方法で使用することが重要です。
  • ・治療期間は、矯正治療の内容や歯の状態によって異なりますが、一般的に1~3年程度です。
  • ・最初は食事や歯磨き以外の時間を装着し、その後、歯が安定してきたら夜間のみなど、徐々に短くしていきます。
  • ・指示された期間は必ず装着を続けることが重要です。
  • ・整った歯並びを維持するため、就寝時のみでも生涯にわたり装着を続けることが推奨されることもあります。
  • ・装着を忘れると後戻りが生じ、リテーナーが合わなくなる可能性があります。
  • ・食べ物が装置につきやすく、歯を磨きにくくなります。特にワイヤーやねじの部分に汚れが溜まりやすいので、仕上げ磨きをするなどご家族のサポートが必要になることがあります。
  • ・固定式のものは、ご自身では取り外せません。
  • ・固定式のものは、歯磨きがきちんとできていないと虫歯を発症するリスクが高まります。
  • ・取り外し式のものは、毎日の装着を怠ると、良好な治療結果を得られないことがあります。