・人前に立つ機会が多い方
営業・接客・販売・講師など、人と面と向かって話をするお仕事をしている方は、表側矯正ですと「矯正装置が目立っていないだろうか」という意識がはたらきがちです。目立ちにくい舌側矯正であれば、相手からの見え方を気にせずに過ごせます。
舌側矯正|表参道ヒカリデンタル矯正歯科 | 表参道駅徒歩1分の矯正歯科


歯の表側ではなく舌側に矯正装置を付ける治療法です。矯正装置の見た目が気になって治療に踏み切れない方や、人と接するお仕事をされている方などに適しています。
「表側矯正と比べて歯が動きにくいのでは」とご心配される方もいらっしゃいますが、矯正装置は年々改良が重ねられ、現在では、適切に治療を進められるようになっています。また、表参道ヒカリデンタル矯正歯科で使用しているのは、摩擦が少ない矯正装置です。
営業・接客・販売・講師など、人と面と向かって話をするお仕事をしている方は、表側矯正ですと「矯正装置が目立っていないだろうか」という意識がはたらきがちです。目立ちにくい舌側矯正であれば、相手からの見え方を気にせずに過ごせます。
人前に立つ機会が多くなくても、「矯正装置が目立ってしまうのは避けたい」という方に舌側矯正はおすすめです。矯正治療をしていることが気づかれにくく、職場や学校で目立ってしまう心配がありません。
舌側矯正を開始してすぐは、舌が矯正装置に当たり、異物感や違和感を覚えやすいといえます。また、話しにくさを感じる場合もあるでしょう。基本的には徐々に慣れていき、日常生活でほとんど気にならなくなります。
矯正装置を歯の表側に付けないため、人の視線が気になる方でも安心して治療を受けられます。
歯の裏側は唾液が循環しやすいため、唾液の自浄作用によって、舌側矯正装置の汚れを流してくれます。そのため、表側矯正と比べて汚れが付着しにくく、清潔に保つことが可能です。
矯正装置を歯の舌側に装着するため、万が一口元に何かぶつかっても唇を傷つけることがなく安心です。ボディコンタクトのあるスポーツも楽しめます。
ホワイトニングは歯の表面に薬剤を塗って歯を白くしていきます。舌側矯正であれば矯正治療中でもホワイトニングが可能です。
舌側矯正はオーダーメイドの矯正装置を製作するため、治療費が高くなります。
歯の舌側に矯正装置を付けるため、慣れるまでは違和感や話しづらさを感じる患者さまもいらっしゃいます。違和感や話しづらさは数週間〜1ヵ月程度で改善することが多いです。
歯は上顎と下顎の噛み合う部分がぶつかります。上の前歯や奥歯の舌側などは下の歯がちょうど噛み合うため、そのままでは舌側矯正装置が付けられません。そこで舌側矯正では、上顎の奥歯や下顎の奥歯に噛み合わせを上げるためのプラスチックを貼ることがあります。プラスチックを貼っている3ヵ月〜半年ぐらいは噛める部分が限定されるため、この期間は食事の際に辛抱が必要です。

上下の歯を舌側矯正で治療するのがフルリンガルです。全ての矯正装置が舌側に付いているため、笑ったときや話しているときにも矯正装置が目立ちません。治療費が高額になりがちではあるものの、幅広い症例に適応する治療法です。

上の歯は舌側矯正にし、下の歯は表側矯正を行うのがハーフリンガルです。フルリンガルに比べて治療費を抑えることができます。上の歯は舌側矯正を行っているため、口をあけたときに矯正装置が見えにくく、人からの見え方が気になる方にも適しています。

治療開始後は柔らかい食べ物を意識しましょう。せんべいやナッツ、氷など硬いものを噛むと、矯正装置が外れたり破損したりする恐れがあります。また、ガムやキャラメル、餅などの粘着性の高い食べ物も避けてください。
矯正装置を衛生的に保つために、丁寧な歯磨きで汚れを取り除くことが大切です。磨き残しが多いと虫歯や歯周病のリスクが高まります。タフトブラシなどの補助清掃用具を活用しましょう。
舌側矯正開始後は、舌が矯正装置に当たり、発音や滑舌に一時的な影響が出る可能性があります。ほとんどの場合、違和感や話しづらさは数週間から1ヵ月程度で改善しますが、「発音に影響が出ると困る」という方は注意が必要です。
舌が矯正装置に当たって痛い場合、まずは当院へご相談ください。矯正装置の調整や矯正用ワックスのご提案などの対策をさせていただきます。自分で処置しようとするとけがをするおそれがありますのでお控えください。
スポーツをされている方の場合、舌側矯正であれば何かが口元にぶつかったときにも、けがのリスクを抑えられます。また、管楽器などの楽器を演奏する際にも舌側矯正であれば矯正装置が邪魔にならないとされています。
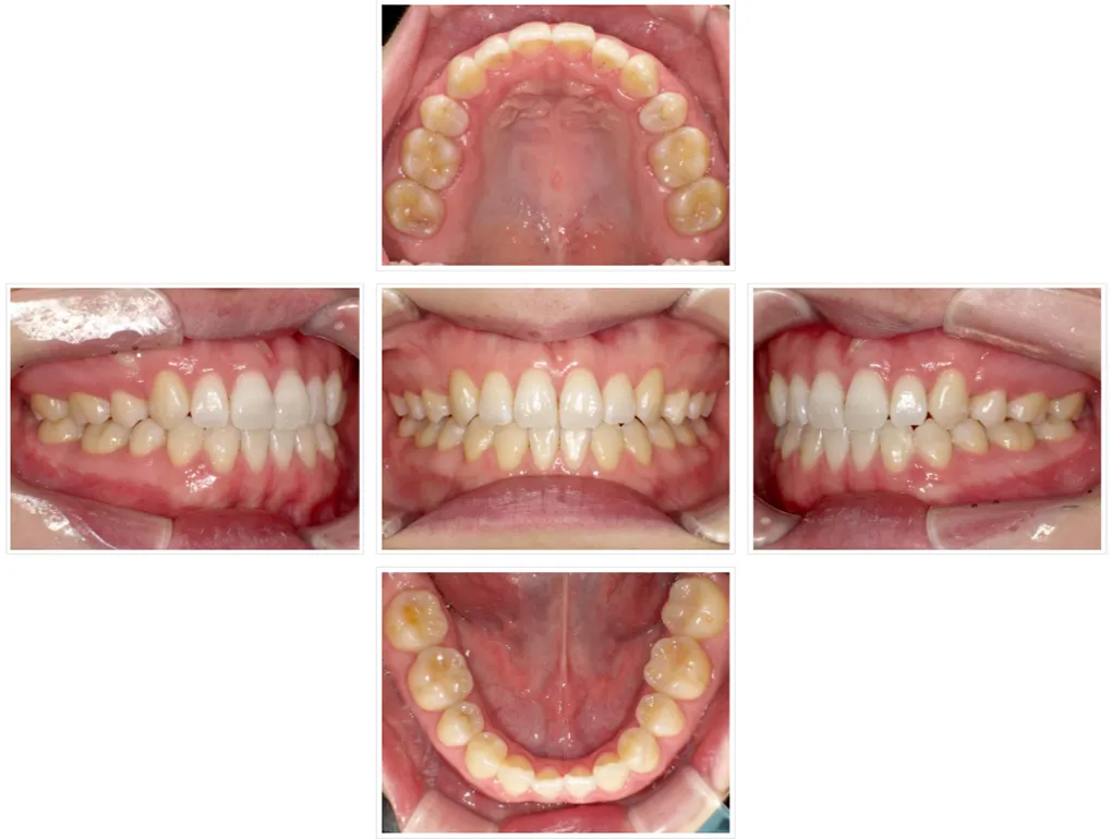
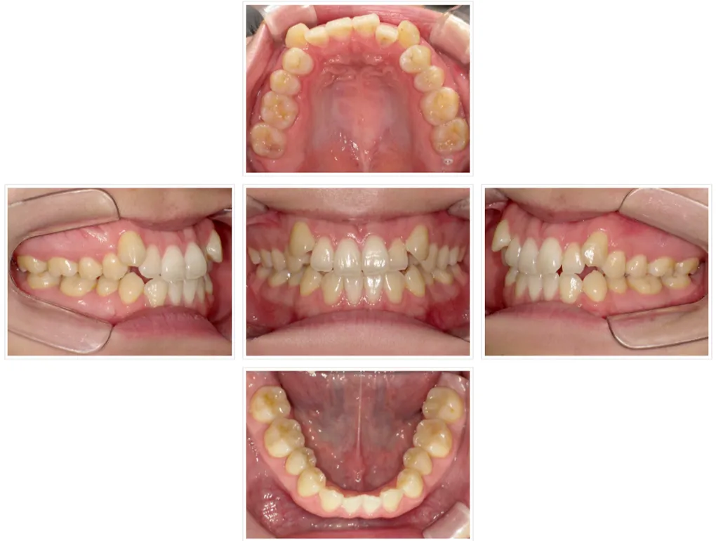
| 主訴 | 八重歯を治すことが主訴で、来院されました。 1年後に結婚式を控えているので、なるべく早く治療を終わらせたいということで、3~4週間毎に来院し、治療を行いました。 |
|---|---|
| 治療解説 | 下顎前歯2本が先天欠如のため、上顎左右4番抜歯を行い、上下の歯の本数を揃えるように治療を行いました。 |
| 装置 | ハーフリンガル(上顎:舌側装置、下顎:表側装置) |
| 治療費 | 装置代ハーフリンガル 1,250,000円 調整料 13回 6,000円×13=78,000円 保定装置 70,000円 |
| 期間 | 1年1ヵ月 |
| リスク及び副作用 | 矯正治療では以下のリスクや副作用が考えられます。 ・歯根吸収(歯の根が短くなる症状) ・歯肉退縮(歯茎が下がる症状) ・アンキローシス(歯と歯を支える骨が癒着し歯が動かなくなる状態) ・歯髄壊死(歯の神経が失活してしまう状態) ・顎関節症(顎の痛み、口をあけにくい、顎の音がするなどの症状) |
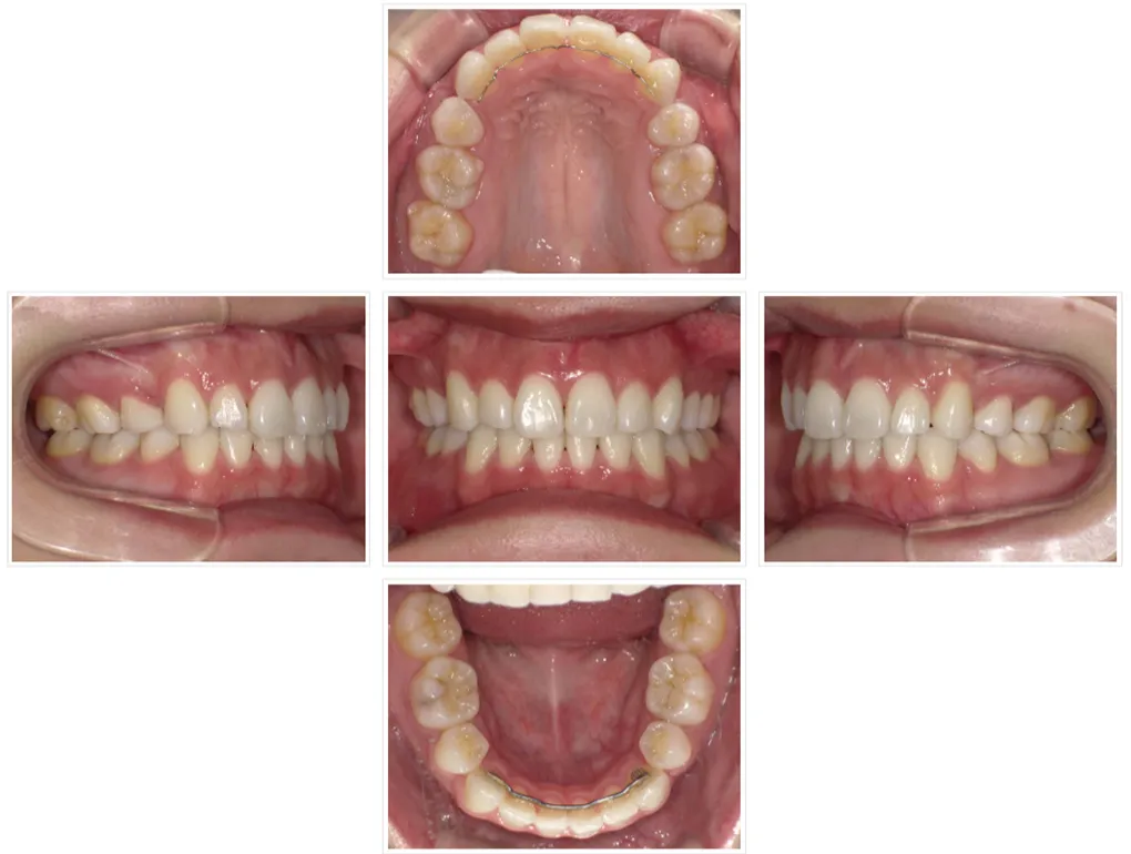
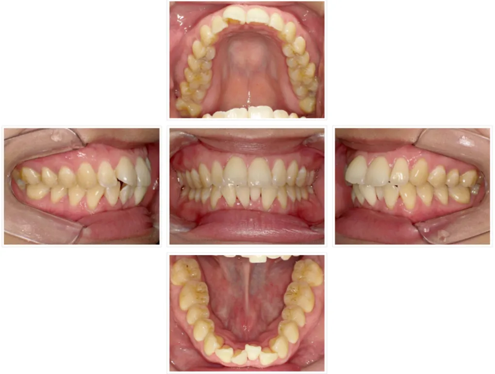
| 主訴 | 開咬(オープンバイト)で前歯で物が噛めないことを主訴として来院されました。 |
|---|---|
| 治療解説 | 前で噛んだり後ろで噛んだりと、咬合が不安定なため、顎関節を中心になるべく顎を前に出さないように指導。 舌癖があり、歯並びに影響を及ぼすことから、MFT(舌のトレーニング)も行いました。 上下左右4番抜歯を行い、ハーフリンガル(上顎:舌側装置、下顎:表側装置)で治療。 |
| 装置 | ハーフリンガル(上顎:舌側装置、下顎:表側装置) |
| 治療費 | 装置代ハーフリンガル 1,100,000円 歯科矯正用アンカースクリュー 2本 40,000円 調整料6,000円×25回=150,000円 保定装置 70,000円 |
| 期間 | 2年9ヵ月 |
| リスク及び副作用 | 矯正治療では以下のリスクや副作用が考えられます。 ・歯根吸収(歯の根が短くなる症状) ・歯肉退縮(歯茎が下がる症状) ・アンキローシス(歯と歯を支える骨が癒着し歯が動かなくなる状態) ・歯髄壊死(歯の神経が失活してしまう状態) ・顎関節症(顎の痛み、口をあけにくい、顎の音がするなどの症状) |
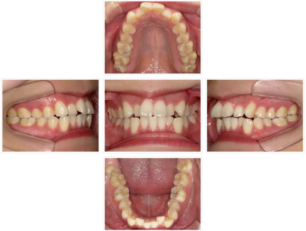
| 主訴 | 前歯の歯並びと突出感 |
|---|---|
| 治療解説 | 口元が全体的に突出しているため、口が閉じにくく、無理に閉じようとすると下あごにシワが入ってしまうので、口元を引っ込めてEラインの改善を目標に治療を行いました。 |
| 装置 | ハーフリンガル(上顎:舌側装置、下顎:表側装置) |
| 治療費 | 装置代ハーフリンガル 1,150,000円 歯科矯正用アンカースクリュー 2本 40,000円 調整料 6,000円×30回=180,000円 保定装置 70,000円 |
| 期間 | 2年6ヵ月 |
| リスク及び副作用 | 矯正治療では以下のリスクや副作用が考えられます。 ・歯根吸収(歯の根が短くなる症状) ・歯肉退縮(歯茎が下がる症状) ・アンキローシス(歯と歯を支える骨が癒着し歯が動かなくなる状態) ・歯髄壊死(歯の神経が失活してしまう状態) ・顎関節症(顎の痛み、口をあけにくい、顎の音がするなどの症状) |
A最近は矯正装置が改良され、歯科矯正用アンカースクリューを用いるようにもなり、表側矯正と比べて治療期間の差はなくなってきています。
A慣れるまでは話しにくさを感じると思いますが、一般的には1〜3週間で今までどおりに発音できるようになります。
A基本的に年齢の上限はありません。歯周組織(歯を支えている部分)が健康なら何歳まででも治療可能です。ただし、症状によって治療開始に適した時期が異なります。当院では、患者さまに合った治療開始時期と治療法をご提案します。