初診相談
マウスピース型矯正装置(インビザライン)で矯正治療を検討されている方は、初診相談にお越しください。口腔内を撮影し、マウスピース型矯正装置での治療が可能かどうかも含めて治療方針をご説明いたします。
さまざまな矯正治療|表参道ヒカリデンタル矯正歯科 | 表参道駅徒歩1分の矯正歯科


表参道ヒカリデンタル矯正歯科では、ワイヤーとマルチブラケットを使用する表側矯正や舌側矯正だけでなく、患者さまに合わせてマウスピース型矯正装置(インビザライン)での治療も行っています。また、歯列全体ではなく気になる一部分のみ治療する部分矯正や、手術によって顎の骨格のズレを改善させる外科矯正もご提案可能です。
矯正治療にご興味がありましたら、一度当院へご相談ください。

マウスピース型矯正装置(インビザライン)を用いた治療とは、プラスチック製の透明なマウスピース型装置を交換していくことで、歯を移動させていく治療法です。治療を開始する前に、コンピューター上で歯の移動をシミュレーションし、治療中および治療後の歯の3Dモデルを作製します。3Dモデルのデータをもとに、治療に必要な全ての装置を一度に作製する点が特徴です。
※完成物薬機法対象外の矯正歯科装置であり、医薬品副作用被害 救済制度の対象外となる場合があります。
マウスピース型矯正装置(インビザライン)を検討されている患者さまから、「本当に歯が移動するの?」という相談をいただくことがあります。金属のワイヤーに比べて、プラスチックの装置は頼りなく感じるかもしれませんが、多くの症例で歯の移動が可能とされています。
歯の動きをコンピューター上でシミュレーションし、そのデータから装置を作製しますので、無駄なく効率的に歯を動かせるのです。ワイヤー矯正では、他の歯を固定源にして歯を引っ張って動かしますが、マウスピース型矯正装置(インビザライン)では全体を包み込み、すべての歯に一定の力をかけて歯を動かします。
ただし、シミュレーション通りに歯を動かすには、1日20時間以上の装着が必要です。食事や歯磨きのときは取り外しても構いませんが、それ以外の時はマウスピース型矯正装置(インビザライン)を装着してください。「わずらわしい」「面倒くさい」は禁句です。患者さまの「きれいな歯並びになりたい」という気持ちが、何よりも必要となります。
装置は透明なプラスチックでできています。装着していても目立たず、周りからも気づかれにくいです。
取り外したいタイミングで、ご自身で装置を取り外せます。歯磨きにも影響がないので、お口を衛生的に保てる点がメリットです。また、食事も今までと同じように楽しめます。
治療前に歯の動きをコンピューター上でシミュレーションします。歯だけではなく顔全体の様子を画像や動画で確認できます。
薄いプラスチックの装置のため、装着時の違和感は少ないです。治療中の痛みも抑えられ、装置がお口の粘膜を傷つけるような心配もありません。
金属アレルギーの方にも安心の装置です。また、素材は医療用プラスチックのため、体への悪影響はありません。
装置は毎日20時間以上の装着が必要です。使用時間が短いと予定通りに治療が進まない場合があります。
骨格的に大きなズレがある場合や、歯の移動量が多いケースなど、マウスピース型矯正装置(インビザライン)が適さない場合があります。
マウスピース型矯正装置(インビザライン)は取り外し可能なため、装着した状態での飲食はできません。

10代のお子さま専用のマウスピース型矯正装置(インビザライン)があります。友達からどう見られるか気になる時期であり、たくさんの思い出が写真に残ります。マウスピース型矯正装置(インビザライン)なら、治療中でも装置を気にせずに思いきり笑えるのでおすすめです。永久歯が完全に生えそろわない10代限定の治療法となります。

当院では、3Dスキャナー(iTero Element2)を導入しています。3Dスキャナーは、従来のシリコン印象に比べ、より快適・精密に口腔内の情報をデジタル化できます。
従来のシリコンでの歯型取りでは、どんなに気をつけても僅かなズレや歪みが生じるケースがありました。3Dスキャナーのおかげで、より精度の高いマウスピース型矯正装置(インビザライン)の作製が可能になったのです。
従来のシリコンでの歯型取りは、嘔吐反射の強い方にはつらいものでした。3Dスキャナーならスキャン中も呼吸がしやすく、短時間で快適に歯型が取れます。
シリコンでの歯型取りの場合、採得した歯型をアメリカに郵送する必要があり、マウスピース型矯正装置(インビザライン)が当院に届くまで時間がかかっていました。3Dスキャナーでは、スキャンしたデジタルデータをネットで送るため、より早く治療を開始できます。

マウスピース型矯正装置(インビザライン)で矯正治療を検討されている方は、初診相談にお越しください。口腔内を撮影し、マウスピース型矯正装置での治療が可能かどうかも含めて治療方針をご説明いたします。

治療計画を立てるために、口腔内審査、3Dスキャナーでのスキャン、3DCT撮影、口腔内写真撮影、印象(型取り)などを行います。

精密検査のデータをもとに、診断および治療計画についてご説明します。

3D治療計画ソフトを使用し、マウスピース型矯正装置(インビザライン)を設計していきます。

設計したデータを元に、マウスピース型矯正装置(インビザライン)の作製をアメリカに依頼。発注から2週間前後で装置が当院に到着します。

食事と歯磨きの時間を除き、1日20時間〜22時間は装置を付けます。2週間ごとに次のステップの装置に交換し、歯を移動させていくという流れです。来院は1〜2ヵ月に1回となります。
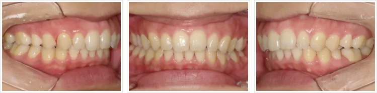
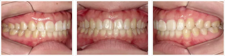
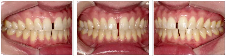
| 主訴 | 正中離開を治したい。前歯の隙間が日に日に広がっていくのが気になる。 |
|---|---|
| 治療解説 | 正中離開は、後戻りが起きやすいので、隙間を閉じた後に上唇小帯切除を行いました。 |
| 装置 | マウスピース型矯正装置(インビザライン7)アライナー7枚使用 |
| 治療費 | 320,000円+調整料3,000円×7回 |
| リスク及び副作用 | 矯正治療では以下のリスクや副作用が考えられます。 ・歯根吸収(歯の根が短くなる症状) ・歯肉退縮(歯茎が下がる症状) ・アンキローシス(歯と歯を支える骨が癒着し歯が動かなくなる状態) ・歯髄壊死(歯の神経が失活してしまう状態) ・顎関節症(顎の痛み、口をあけにくい、顎の音がするなどの症状) |
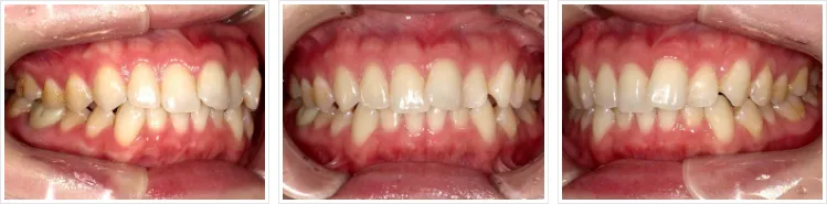
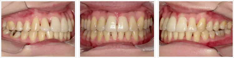
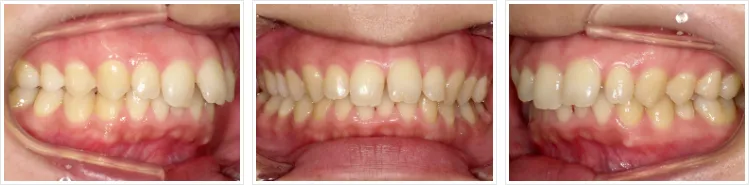
| 主訴 | 前歯の隙間と口元の突出感を治したい。 |
|---|---|
| 治療解説 | 上顎の大きさがやや大きめで前方位にあり、上下前歯の外側傾斜が認められたため、できる限り前歯を内側に入れました。 |
| 装置 | マウスピース型矯正装置(インビザライン)アライナー40枚使用 |
| 治療費 | 750,000円+調整料3,000円×20回 |
| 治療期間 | 1年8ヵ月 |
| リスク及び副作用 | 矯正治療では以下のリスクや副作用が考えられます。 ・歯根吸収(歯の根が短くなる症状) ・歯肉退縮(歯茎が下がる症状) ・アンキローシス(歯と歯を支える骨が癒着し歯が動かなくなる状態) ・歯髄壊死(歯の神経が失活してしまう状態) ・顎関節症(顎の痛み、口をあけにくい、顎の音がするなどの症状) |
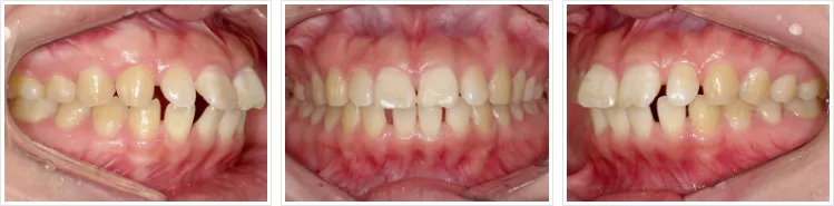
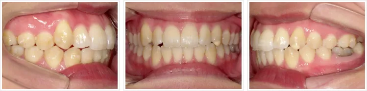
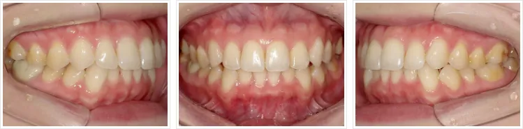
| 主訴 | 八重歯を治したい。口が閉じると八重歯が唇から出てしまうのを改善したい。 |
|---|---|
| 治療解説 | CL1上顎前突、叢生ケース 右上の前歯のIPR(0.5ミリずつ削る)を行いました。1クール終わるころに留学が決まり、これ以上続けられないとのことで終了。 もう少しマウスピースを追加で使用してもらえたら、さらに良くなっていたと思われます。 |
| 装置 | マウスピース型矯正装置(インビザライン)アライナー51枚使用 |
| 治療費 | 750,000円 |
| 治療期間 | 1年6ヵ月 |
| リスク及び副作用 | 矯正治療では以下のリスクや副作用が考えられます。 ・歯根吸収(歯の根が短くなる症状) ・歯肉退縮(歯茎が下がる症状) ・アンキローシス(歯と歯を支える骨が癒着し歯が動かなくなる状態) ・歯髄壊死(歯の神経が失活してしまう状態) ・顎関節症(顎の痛み、口をあけにくい、顎の音がするなどの症状) |
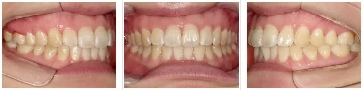
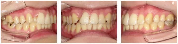
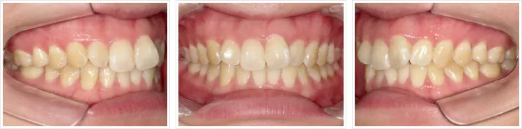
| 主訴 | 上の前歯のガタガタを治したい。 真ん中のズレ、ゆがみを治したい。 |
|---|---|
| 治療解説 | 隙間を確保するために上下顎前歯のIPR(0.2ミリずつ削る)を行いました。 真ん中のズレはもう気にならなくなったという事で、追加のアライナーは製作しませんでした。 |
| 装置 | マウスピース型矯正装置(インビザライン)アライナー47枚使用 |
| 治療費 | 750,000円+調整料3,000円×18回 |
| 治療期間 | 1年半 |
| リスク及び副作用 | 矯正治療では以下のリスクや副作用が考えられます。 ・歯根吸収(歯の根が短くなる症状) ・歯肉退縮(歯茎が下がる症状) ・アンキローシス(歯と歯を支える骨が癒着し歯が動かなくなる状態) ・歯髄壊死(歯の神経が失活してしまう状態) ・顎関節症(顎の痛み、口をあけにくい、顎の音がするなどの症状) |

部分矯正とは、全体的に歯を動かすのではなく、一部分の歯を動かす治療法です。「上の前歯部が乱れているので、部分的にきれいに整えたい」といったような場合に適用できます。
治療期間は3ヵ月から1年前後で、歯列全体を矯正する場合よりも期間の短縮を図れる点が特徴です。また、治療費を抑えられるなど、多くの方にとってより身近な矯正治療となっています。
表側からの部分矯正…3万円/1歯
舌側からの部分矯正…4万円/1歯
(※6歯から対応)

「前歯の隙間が気になる」など、歯の一部分に関するお悩みを持つ患者さまが部分矯正の治療を受けています。また、以前に矯正治療を行った箇所が少しだけ後戻りしてしまった場合にも有効です。

「周囲から気づかれずに部分矯正を行いたい」という方には、歯の舌側に付ける目立たない矯正装置や、マウスピース型矯正装置(インビザライン)を用いた治療を行います。
| 主訴 | 前歯の隙間を閉じたい。(出っ歯は治らなくていいので、隙間だけ閉じたい。) |
|---|---|
| 治療解説 | 前歯の隙間を閉じる時に、なるべく前歯を内側に引っ込めるように力を加えながら隙間を閉じました。 |
| 装置 | 上顎の裏側矯正(6歯) ※下顎は行っておりません。 |
| 治療費 | 240,000円+調整料4,000円×7回 |
| 期間 | 7ヵ月 |
| リスク及び副作用 | 矯正治療では以下のリスクや副作用が考えられます。 ・歯根吸収(歯の根が短くなる症状) ・歯肉退縮(歯茎が下がる症状) ・アンキローシス(歯と歯を支える骨が癒着し歯が動かなくなる状態) ・歯髄壊死(歯の神経が失活してしまう状態) ・顎関節症(顎の痛み、口をあけにくい、顎の音がするなどの症状) |
| 主訴 | 上の前歯のガタガタを治したい。 なるべく目立たない装置で、短時間に治したい。 |
|---|---|
| 治療解説 | 下の前歯が、上の装置にぶつかってしまうので、治療中は噛み合わせを高くして装置に当たらないようにして治療を行いました。前歯3-3はIPRを行っています。 |
| 装置 | 上顎の舌側矯正(8歯) ※下顎は行っておりません。 |
| 治療費 | 320,000円+調整料4,000×12回 |
| 期間 | 7ヵ月 |
| リスク及び副作用 | 矯正治療では以下のリスクや副作用が考えられます。 ・歯根吸収(歯の根が短くなる症状) ・歯肉退縮(歯茎が下がる症状) ・アンキローシス(歯と歯を支える骨が癒着し歯が動かなくなる状態) ・歯髄壊死(歯の神経が失活してしまう状態) ・顎関節症(顎の痛み、口をあけにくい、顎の音がするなどの症状) |
| 主訴 | 前歯の歯並びを改善したい。 |
|---|---|
| 治療解説 | 前歯の隙間を確保するために、前歯のIPR行っています。 装置を外した後は、裏側から細い針金でFix固定しています。 |
| 装置 | 上顎の表側矯正(12歯) ※下顎は行っておりません。 |
| 治療費 | 360,000円+調整料3,000円×6回 |
| 期間 | 5ヵ月 |
| リスク及び副作用 | 矯正治療では以下のリスクや副作用が考えられます。 ・歯根吸収(歯の根が短くなる症状) ・歯肉退縮(歯茎が下がる症状) ・アンキローシス(歯と歯を支える骨が癒着し歯が動かなくなる状態) ・歯髄壊死(歯の神経が失活してしまう状態) ・顎関節症(顎の痛み、口をあけにくい、顎の音がするなどの症状) |

顎の骨格のズレが大きい場合、歯を移動させるだけでは歯並びや噛み合わせが十分に改善できません。この場合、通常の矯正治療に加えて、骨格のズレを改善するために外科手術を行います。
下顎が大きく前に出ている(受け口)、上顎が大きく前に出ている(出っ歯)、前歯が噛み合わない(開咬)、顔が左右非対称になっているなどの症状にお悩みの場合は、外科矯正によって改善を図れます。
外科矯正では従来、外科手術の前に矯正治療を行っていました。サージェリーファーストは、「術前矯正」を省いて外科手術を先に行う治療法です。まず顎の骨格のズレを改善してから矯正治療を行うことで、治療期間の短縮を図れるうえに、より早期に見た目の改善が期待できるというメリットがあります。注意点として、サージェリーファーストを適用した場合は自費診療となります。
| 外科矯正 | 通常の矯正 | |
|---|---|---|
| 目的 | 顎の骨格の改善 | 歯並び・噛み合わせの改善 |
| 手術 | 必要(場合による) | 不要 |
| 治療期間 | 2〜3年 | 1.5〜2年 |
| 保険適用 | 条件を満たせば適用 | 基本的に自費 |
| 対象 | 骨格のズレが大きい症例 | 歯のデコボコ・軽度の不正咬合 |
顎の骨を外科手術で適切な位置に動かすため、歯並びや噛み合わせだけでなく、骨格のズレや顔の歪みなども改善が見込めます。顔貌のバランスが整うため、見た目のコンプレックス解消につながる治療法です。
適切な噛み合わせを獲得すると、食べ物をきちんと咀嚼(そしゃく)できるようになり、消化器官への負担が減ります。また、骨格が改善されて発音がしやすくなる点も、生活するうえでの大きなメリットです。
外科矯正は、全身麻酔下での外科手術を伴います。代表的なものが骨切り術で、顎骨の一部分を切り取り、前方に突出している骨を後方へ移動させます。入院が必要で、手術後は腫れや痛みが起こります。
年齢を重ねると歯や歯肉を支える骨が衰えてきたり、噛み締めや食いしばりなどの悪習癖が続いたりして、歯並びに悪影響を与えかねません。具体的には、歯が重なる、1本だけ前へ出てくる、歯の隙間が目立つといった症状を引き起こす場合もあります。50代・60代の方でも顎骨や歯肉の状態が良好であれば、歯列全体でも部分的でも矯正治療は行えますのでご相談ください。
当院でご提供している「マウスピース型矯正装置(インビザライン)」は、薬機法(医薬品医療機器等法)においてまだ承認されていない医療機器となりますが、当院ではその有効性を認め、導入しています。