表側矯正
歯の表側に装置を付け、前歯のガタガタや隙間など、笑顔になったときに気になる部分を優先して治療します。結婚式当日はいったん装置を取り外し、結婚式後に再度装置を付けて治療を進めていきます。
詳細はこちら結婚式を控えた方への矯正|表参道ヒカリデンタル矯正歯科 | 表参道駅徒歩1分の矯正歯科


ご結婚おめでとうございます。結婚式当日をすてきな笑顔で迎えたい─、そんなあなたの夢をかなえるのがブライダルに向けた矯正治療です。今や矯正治療は結婚式の身支度のひとつと言っても過言ではないかもしれません。大切な結婚式の前に歯並びを整え、美しい笑顔で当日を迎えたいものです。
一人ひとり細かなご要望を伺い、治療期間やご予算に応じて適切なプランをご提供します。パートナーとご一緒のプランもご用意しています。
もちろん、結婚式だけでなく成人式、留学、就職活動、海外転勤など人生の大切な節目を前に歯並びを整えたいという方も、ぜひご相談ください。

歯の表側に装置を付け、前歯のガタガタや隙間など、笑顔になったときに気になる部分を優先して治療します。結婚式当日はいったん装置を取り外し、結婚式後に再度装置を付けて治療を進めていきます。
詳細はこちら
プラスチック製の透明なマウスピース型矯正装置を交換しながら、歯を移動させます。マウスピースを必要に応じてご自身で取り外せるので、結婚式当日は装置を付けずに過ごせます。
詳細はこちら

気になる部分を早期に改善できるよう、専門的な観点から適切なブラケットを選択し、矯正治療を行います。
目立つ装置の場合は、イベント当日に一時的に取り外し、マウスピース型矯正装置などの目立たないものに変更することもできます。当日、万が一に歯と歯の隙間が目立つような場合は、その日だけ仮歯を装着するなど、きれいに見せるための適切な処置を行います。
結婚式や成人式などが終わった後は、矯正治療の再開や保定など、必要な治療を行います。患者さまによっては本格的な矯正治療を始めることもあります。ここからの治療は、見た目を美しくするとともに、きちんと噛んで一生健康でいるための、将来を考えた噛み合わせをつくっていくのが特徴です。
ここが、当院の矯正治療と単なる審美治療との大きな違いです。ただ歯並びだけを治すのではなく、バランスの良い噛み合わせにすることでお口の中の健康を維持し、これからの人生をよりいっそう充実したものにしていただきたいと考えています。

結婚式前に受けていただく矯正治療では、式当日を治療のゴールとして歯並びを整えていきます。
万が一、式当日までに治療を終えるのが難しい場合、人目につく前歯部を優先して治療し、表側矯正であれば式の直前に装置をいったん取り外します。
装置を取り外した後は、後戻りを防ぐリテーナ(保定装置)を装着していただきますが、これはご自身で取り外せるため、式には装置を付けずに臨んでいただけます。
結婚式やハネムーンが終了したら、再度装置を付けて治療を続けていきます。
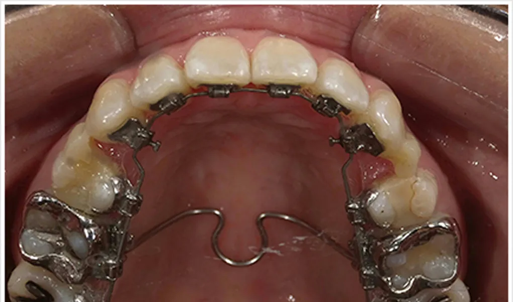
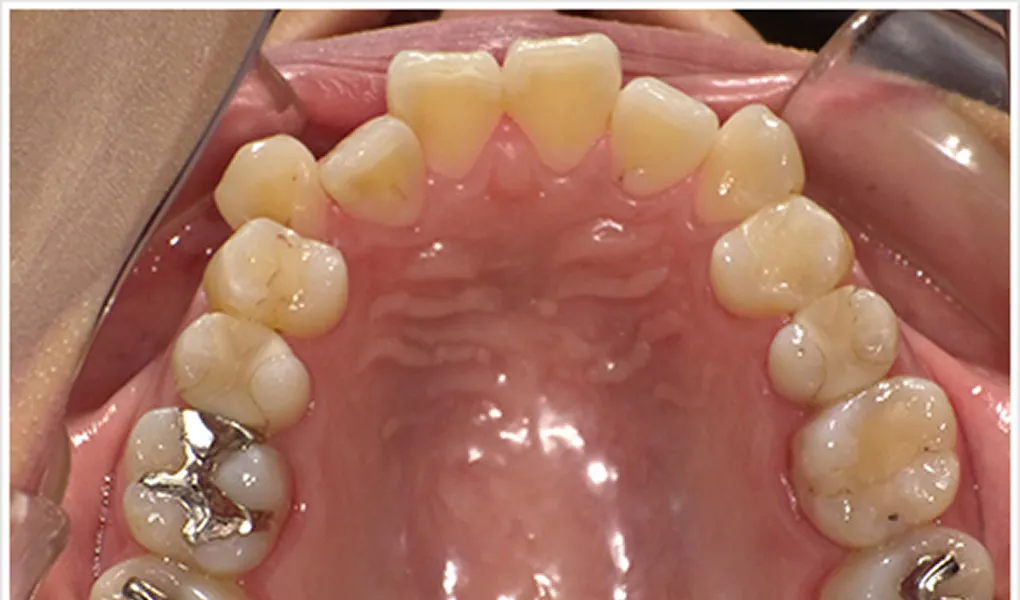
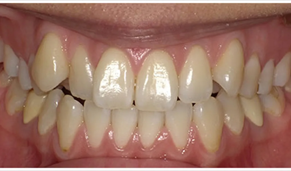
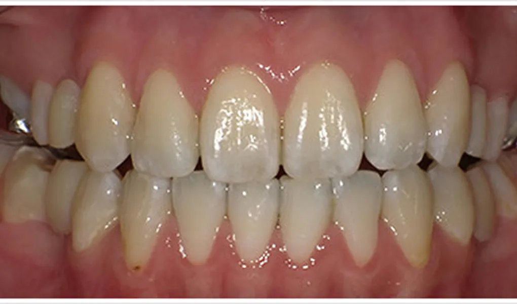
| 概要 | フルリンガル |
|---|---|
| 主訴 | 右上の犬歯と叢生 |
| 治療期間 | 4ヵ月 |
| 矯正治療に ともなう一般的な リスクや副作用に ついて | 矯正治療では以下のリスクや副作用が考えられます。 ・歯根吸収(歯の根が短くなる症状) ・歯肉退縮(歯肉が下がる症状) ・アンキローシス(歯と歯を支える骨が癒着し歯が動かなくなる状態) ・歯髄壊死(歯の神経が死んだ状態) ・顎関節症(顎の痛み、口をあけにくい、顎の音がするなどの症状) |

A患者さまにより異なりますが、2〜4週間ごとに通院いただき、前歯の歯並びを改善します。整いきらなかった部分がある場合は、式の1週間前に白いプラスチックでダミーを作ってきれいに見えるよう調整するので、ご安心ください。

Aもちろん治療できます。全体矯正に移行する場合は、差額(ご希望の装置料から、お支払い済みの料金を差し引いた料金)で承ります。

Aはい、取り外せます。装置を付けていない期間は取り外しできるマウスピース型矯正装置を使っていただき、後日あらためて装置を付けます。
当院でご提供している「マウスピース型矯正装置(インビザライン)」は、薬機法(医薬品医療機器等法)においてまだ承認されていない医療機器となりますが、当院ではその有効性を認め、導入しています。