はじめまして。歯科衛生士の篠田です。
去年の衛生士学校に通っている頃から、表参道ヒカリデンタル矯正歯科に通院しており、現在矯正治療中です。
これから矯正治療の経過などについてお伝えしていきたいと思います。参考になれば嬉しいです。
今回は、私が矯正治療をしたきっかけ、治療開始までの流れを紹介していきたいと思います。
私が矯正をしようとしたきっかけは中学生頃から歯並びが悪いのがコンプレックスで常に歯を見せないようしていました。
歯科衛生士学校に通っている頃も新型コロナウイルス感染症の拡大で友達同士との実習がなくなったため、口の中を見られずに済み、ホッとしていました。国家試験の勉強の真っ最中で矯正治療を始めることに不安がありましたが先生に相談し、そこまで影響がでないということで、治療をはじめました。
初診相談
治療開始の前に、まず初めにカウンセリングをします。口腔内写真を撮り矯正治療の流れ、おおまかな治療方針・料金についての説明があります。
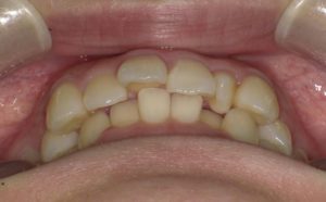
私の場合、上の前歯は一本飛び出ていたり90°に傾いてしまっていて、下の前歯はガタガタしています。


精密検査
初診相談後、精密検査をしていきます。精密検査の内容は以下になります。
⚫︎口腔内審査
⚫︎口腔内写真、顔面写真
⚫︎口腔内スキャン(または型取り)
⚫︎レントゲン撮影
⚫︎CT撮影
診断
精密検査のデータを先生が分析・診断をし、治療方針・治療期間・治療料金の説明になります。
私の診断結果は、下顎が小さく後退しているということで下の歯を抜いてしまうと余計に小さくなってしまい、また出っ歯になってしまうため、下の歯は抜かず上の歯(前から4番目の歯)を左右2本を抜いて表側矯正をすることになりました。
最後まで読んでいただきありがとうございました。
