オールセラミック
セラミックのなかでも審美性に優れている素材がオールセラミックです。天然歯と比べても見分けがつきにくいほどの自然な透明感が特徴で、口をあけたときに目立つ前歯の治療に適しています。金属が含まれていないので、金属アレルギーの方も安心です。
インプラント・審美・ホワイトニング|表参道ヒカリデンタル矯正歯科 | 表参道駅徒歩1分の矯正歯科

虫歯や歯周病、事故などで歯を失った際に、インプラント治療によって歯の見た目や機能の改善が期待されます。歯を失った部分の顎骨にインプラント(人工歯根)を埋め込み、その上に人工歯を装着します。
人工歯はセラミックでできており、天然歯のような自然な見た目に仕上げられることが特徴です。また、自分の歯のように強く噛めるため、今までのように食事を楽しめます。
インプラント治療に興味がありましたら、ぜひ表参道ヒカリデンタル矯正歯科へお越しください。
セラミックでできた人工歯は透明感があり、自然な見た目に仕上がります。歯の形状や色味を細かく調整可能で、周りの歯と調和する作りにできるため、近くで見てもインプラントだと判別しにくい自然な見た目を目指します。
人工歯根を顎骨に埋め込んで固定するため、自分の歯のような噛み心地を得られる点がメリットです。歯ごたえのあるものや硬いものもしっかり噛めます。食事を快適に楽しめることは、心身の健康につながります。
インプラント治療は人工の歯根を顎骨に埋め込むことから、部分入れ歯やブリッジのように周りの歯を土台にする必要がなく、独立した状態になります。周りの歯への負担が少ないため、健康な歯を守るという観点から優れた治療法であるといえます。
インプラント治療では、人工歯根を顎骨に埋め込む外科手術を必ず行います。全身疾患がある方や、患者さまの顎骨の状態によっては手術を行えず、インプラント治療を受けられないケースがあります。
虫歯や歯周病で歯を失った場合、インプラント治療は審美性を求める治療と判断されて保険が適用されません。自費診療となるため治療費は全額自己負担です。経済的な負担を考慮しておく必要があります。
人工歯根が顎骨と結合するまで待機期間があるため、治療期間は個人差があるものの4ヵ月から1年程度を要します。また、治療後にインプラントを長持ちさせるためには、メンテナンスを継続いただくことが大切です。
|
総入れ歯
|
ブリッジ
|
インプラント治療
|
|
| 対応できる症例 | △片顎もしくは両顎全ての歯を失っている | △1〜3本の歯を失い、両隣に土台となる歯が残っている | ◎1本から全ての歯を失った症例まで幅広い |
| 周囲の歯や 顎への影響 |
○・周囲の歯に負担をかけない ・入れ歯が合わないと顎骨が痩せやすい |
△・両隣の健康な歯を大きく削る必要がある ・顎骨が痩せやすい |
◎・周囲の歯への負担が少ない ・顎骨が痩せにくい |
| 見た目 | △保険診療の入れ歯は人工歯の部分が変色しやすい | ○自費診療の素材であれば天然歯に近い見た目になる | ◎天然歯に近い見た目になる |
| セルフケア | ○自分で取り外して洗浄する | △形状が複雑なため、丁寧な歯磨きが必要 | ◎自分の歯と同じように歯磨きをする |
| 治療期間 | ○1〜2ヵ月程度 | ◎2週間〜2ヵ月程度 | △4ヵ月〜1年程度 |
| 懸念点 | 慣れるまでは違和感がある | ・セルフケアが難しく、虫歯や歯周病になりやすい ・土台となる歯が折れることがある |
・自費診療のため治療費が高額 ・外科手術が必要で、健康状態などによっては治療できない |

審美治療とは、歯の機能的な回復だけでなく、歯や口元の美しさも実現するための歯科治療です。例えば、虫歯治療で金属の詰め物をすると、「笑ったときに銀歯が目立ってしまい気になる」という方も多いと思います。素材を金属ではなくセラミックにすることで、白く美しい歯となり、笑顔に自信がもてるようになります。当院では患者さまの唇のラインやお顔との調和を考慮し、オーダーメイドで治療を行います。

詰め物や被せ物の素材をセラミック(陶材)にすると、透明感のある自然な見た目に仕上げられます。セラミックにも種類があり、前歯には透明感に優れたオールセラミック、奥歯には耐久性に優れたジルコニアが適しています。
また、セラミックは表面がツルツルしているため歯垢が付着しにくく、虫歯予防に効果的な素材です。金属アレルギーの心配がなく、金属イオンが溶け出して歯肉が黒ずむこともありません。

セラミックのなかでも審美性に優れている素材がオールセラミックです。天然歯と比べても見分けがつきにくいほどの自然な透明感が特徴で、口をあけたときに目立つ前歯の治療に適しています。金属が含まれていないので、金属アレルギーの方も安心です。

ジルコニアはセラミックのなかでも強度と耐久性に優れた素材です。日常的に負荷がかかりやすい奥歯の治療に適しています。透明感はオールセラミックの方が優れているものの、ジルコニアも天然歯に近い自然な見た目に仕上げることが可能です。金属アレルギーの心配はありません。

メタルボンドは中身が金属で、表面がセラミックでできています。金属の丈夫さと、セラミックの美しさを備えた素材です。奥歯など、口をあけたときに見えにくく、負荷がかかりやすい部位に適しています。一方で、金属アレルギーの心配がある方には適していません。

ゴールド(金)は強度に優れた素材です。しなやかさがあるため、噛み合う歯を傷つける心配が少ない点が特徴。また、天然歯との隙間を埋めるように伸びる性質があるため、虫歯の再発を防ぎやすいというメリットもあります。見た目が目立つため、奥歯の治療に適しています。

大きく進行していない虫歯であれば、悪くなった部分を削って詰め物で補います。この詰め物をインレーといいます。インレーにセラミックなどの素材を用いることで、見た目が自然で、噛み心地も良く、虫歯になりにくいといったメリットを享受できます。

虫歯が進行しているために歯を大きく削った場合などは、被せ物(クラウン)で歯の見た目と機能を再現します。セラミッククラウンは審美性に優れており、前歯の治療でも天然歯と見分けがつかないほどの見た目に仕上げられます。経年での変色もしにくく、長期間の使用が可能です。

歯の表面を薄く削り、セラミックでできたシェル(薄片)を貼り付ける治療法です。前歯の変色や、歯と歯の隙間などが気になる場合には、ラミネートベニアで治療できます。「クラウンのように歯を大きく削りたくない」といった場合に適しており、治療期間の短縮を図れます。

保険診療で用いられる金属素材、いわゆる銀歯は、時間の経過とともに金属イオンが溶け出します。これが体内に蓄積されると金属アレルギーを発症するリスクがあるのです。唇や歯肉に炎症が起こったり、顔・首・手足の皮膚に湿疹が出たりするのが主な症状です。金属アレルギーが心配な方には、金属を一切含まないセラミックを用いた治療をご提供しますのでお気軽にご相談ください。

歯磨きや歯のクリーニングでは落ちない、飲食物による着色や加齢による歯の黄ばみを白くするのがホワイトニングです。歯科医院でのみ扱える濃度のホワイトニング剤を塗布して、歯を漂白します。
白く美しい歯は清潔感や若々しさを感じさせ、相手により良い印象を与えることができます。また、結婚式や同窓会など、大事なイベントを控えている方にもホワイトニングはおすすめです。
なぜ歯に着色や変色が起こるのかご存じですか? 歯に色がつく理由は大きく分けて3つあります。
色素が歯の内部まで取り込まれることにより、歯が黄色く見えます。
年齢を重ねるにつれて歯は自然と黄色く変色していきます。
胎児期に母親が服用した抗生物質や過剰摂取したフッ素などの影響により、歯が変色してしまうケースがあります。
これらの要因により変色した歯は、ホワイトニングによって白い歯へと改善できます。

当院にて歯科医師・歯科衛生士が処置を行います。1回の施術でも白さを実感しやすい点が特徴で、お急ぎの場合にはオフィスホワイトニングがおすすめです。患者さまご自身でホームホワイトニングを行うよりも手間が少なく、色ムラの少ない自然な仕上がりが期待できます。
歯の表面に過酸化水素と過酸化尿素を主成分とした薬剤を塗布することで、歯の表面の着色物を無色透明に分解します。
ホワイトニング剤が歯の表面の組織構造を曇りガラス状に変化させることで、光の乱反射が発生し黄ばみが白く見えます。(マスキング効果)

ホワイトニングについての説明をさせていただき、白さを実感しやすくするために歯の表面のクリーニングを行います。

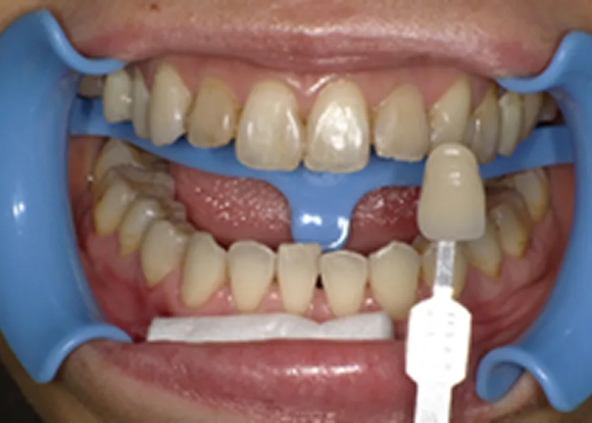
シェードガイドというものを使用し、現在の歯の色がどれくらいなのかを確認します。

ホワイトニング剤が歯肉に触れてしまうとピリピリと痛みが出てしまうので、歯肉に触れないよう保護します。

ホワイトニング剤を歯にまんべんなく塗布します。

歯に塗布したホワイトニング剤に光を照射します。
※STEP4・5の処置を2~3回繰り返します。

どれほど歯が白くなったかをシェードガイドを用いて確認します。