希望した歯並びになるようにしたい
ブラケットとワイヤーの力で歯を引っ張り、さまざまな歯の動きを可能にします。また、細かな歯の動きをコントロールできるため、理想の歯並びがある方や妥協したくないと考えている方に向いています。
表側矯正|表参道ヒカリデンタル矯正歯科 | 表参道駅徒歩1分の矯正歯科

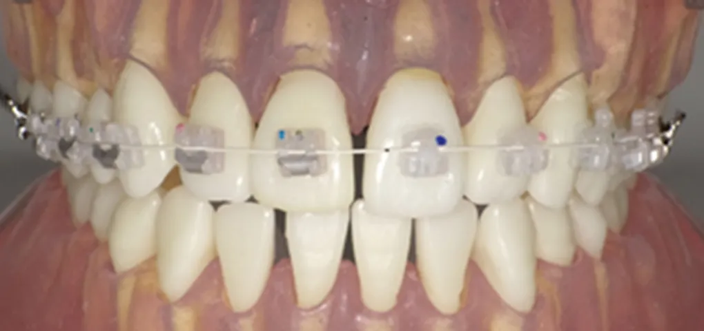
表参道ヒカリデンタル矯正歯科の表側装置(ブラケット)は、白く目立たないセルフライゲーション型マルチブラケット装置(摩擦が少ない)です。
セルフライゲーション型マルチブラケット装置を使用すると、理想的なニュートラルゾーン(口の中で歯に加わる力が均衡している場所)に歯を並べることができ、これにより口周りの筋肉の悪い影響を受けにくくなり、矯正治療終了後に安定した噛み合わせを保つことが可能になるといわれています。
従来のブラケットは、ワイヤーを装着した後にエラスティック(透明なゴム)で結ぶ必要がありました。このエラスティックはカレーやワイン、紅茶、コーヒーなどの色の濃い飲食物を摂ると変色し、見栄えが悪くなることがあります。当院で使用している表側装置(ブラケット)はシャッター式で、エラスティック不要なため、見た目への影響を低減できます。
治療後は、後戻りを防ぎ、噛み合わせを安定させるためのリテーナー(保定装置)を使用していただきます。
ブラケットとワイヤーの力で歯を引っ張り、さまざまな歯の動きを可能にします。また、細かな歯の動きをコントロールできるため、理想の歯並びがある方や妥協したくないと考えている方に向いています。
取り外しできる装置では、装着時間を守ったり置き忘れに注意が必要になったりします。表側矯正は歯の表面に装置を付けたらご自身で外すことはできないので、そういった自己管理が難しいと思う方に向いています。
舌側矯正などと比べると舌と接触しないため、発音や滑舌への影響を抑えられます。口の中に違和感が生じたり多少の影響はもちろんありますが、多くの場合、数日から数週間で慣れていきます。
矯正治療を受けていただきやすいよう明瞭な治療費をご提示しています。また、月々約11,500円からの分割払いなどお支払い方法は柔軟な対応が可能です。
スタンダードな矯正装置で、細かい歯のコントロールができるためほとんどの症例に対応できます。
矯正装置と聞くと装置が目立つイメージがありますが、歯になじむ白いブラケットをご用意しています。また、ホワイトやピーチゴールドのワイヤーなど、より口元になじむ装置をご用意しています。
舌側矯正、マウスピース型矯正装置を用いた治療と比較すると、調整にかかる時間が短く、治療期間の短縮が期待できます。
装置は目立ちにくい色合いのものを使用しますが、人前に出るお仕事をされていて、会社からNGとされている場合は適さない装置になります。
口腔内には自浄作用があり、唾液で食物残渣(しょくもつざんさ:食べ物などの残りカス)を洗い流してくれる作用があります。しかし、表側装置やワイヤーに詰まった場合は自浄作用が働きにくく、虫歯を発症しやすくなってしまいます。
ブラケットは金属を含む装置のため、金属アレルギーの方には使用できません。金属アレルギーをおもちの方には、マウスピース型矯正装置で対応いたします。
「矯正で装置が目立つのは嫌だな」「目立つのは嫌だけど舌側矯正だと費用が高いな」と思ったことはありませんか?
当院の表側矯正で使用しているブラケットは下記の2種類です。
目立ちにくい白いセラミック製であり、スムーズに歯が移動できるようにシャッター(クリップ)式の摩擦抵抗が少ないものを用意しています。

① ナチュラルな白さが際立つセラミックのブラケットです。開閉ができるクリップ式のブラケットのためスムーズな歯の動きが期待できます。
② 全てがセラミックでできているブラケットです。丸みを帯びている作りのため異物感が抑えられます。シャッター式のため摩擦抵抗が少なく、効果的に歯を動かすことができます。
ブラケットが目立ちにくくても、そこに通すワイヤーが銀色で気になるという方のために、当院では口元になじむ色合いのワイヤーを用意しています。

スタンダードな銀色のメタルワイヤーです。

ゴールドは可視光線において暖色系に対しての反射率が高く、明るく見える特徴があります。
上記のゴールドと光の特徴から見栄えが明るくなり、矯正装置全体が目立ちにくくなります。光が反射し、お口を開いてもギラつきが少なく華やかな印象を与えます。

レモンゴールドと同様に太陽光や蛍光灯の明るさと相性がよく、光を反射して明るく見える特徴があります。
口腔内に装着すると、ピーチゴールドが口周りとよくなじみ全体的に矯正装置が目立ちにくくなります。また、鮮やかな色調のため矯正治療中でも華やかさを演出できます。

剥がれにくい特殊コーティングを施したホワイトコーティングワイヤーです。ブラッシングなどでもコーティングが剥がれにくく、歯ともよくなじむ色合いになっています。
ブラケットとワイヤーの種類を少し変えるだけで、表側矯正に対するイメージが変わると思います。
また、途中からワイヤーの種類を変えられますので、冠婚葬祭に合わせてワイヤーを選ぶこともできます。
模型に矯正装置を装着したサンプルをご用意していますので、実際に装着しているのを見てみたいという方は初診相談の際にお声がけください。ご相談お待ちしております。

装置の周りは汚れが残りやすく、丁寧に歯磨きをしないと磨き残しが増えてしまい虫歯を発症しやすくなります。定期検診で歯磨き指導を行っていますので、ご自宅で取り入れてしっかりと歯磨きするようにしましょう。
おせんべいやナッツ類、キャラメル・ガムなどは装置が外れたり壊れたりする原因になるため、なるべく避けるようにしてください。また、繊維の長い食べ物も装置に絡まるおそれがあるので、注意が必要です。
装置が唇や舌、頬などの粘膜に当たることで、口内炎ができやすくなります。体調や口腔環境によってできやすさは異なりますが、バランスの良い食事と規則正しい生活を心がけ、お口の中の違和感はすぐにご相談ください。
| 主訴 | 八重歯を治したい、口が閉じにくいのが気になる |
|---|---|
| 治療解説 | 下顎骨がやや小さめだったので、口元を下げすぎないように、下顎は抜歯しないでIPR(0.5mm削る)を行う可能性もある事を伝え、治療開始いたしました。最終的には、横顔のバランスを見て、上下左右4番抜歯を行い治療しました。 |
| 装置 | ラビアル(表側装置) |
| 治療費 | 装置代ラビアル 750,000円 調整料金 5,000円×24回= 120,000円 保定装置 50,000円 |
| 期間 | 2年5ヵ月 |
| リスク及び副作用 | 矯正治療では以下のリスクや副作用が考えられます。 ・歯根吸収(歯の根が短くなる症状) ・歯肉退縮(歯茎が下がる症状) ・アンキローシス(歯と歯を支える骨が癒着し歯が動かなくなる状態) ・歯髄壊死(歯の神経が失活してしまう状態) ・顎関節症(顎の痛み、口をあけにくい、顎の音がするなどの症状) |
| 主訴 | 上顎前歯の突出感と歯並びの改善 |
|---|---|
| 治療解説 | 左上犬歯の埋伏が認められ、上下左右4番抜歯を行い、埋伏している犬歯の牽引を行いながら、突出感の改善を行いました。 |
| 装置 | ラビアル(表側装置) |
| 治療費 | 装置代ラビアル 800,000円 調整料金 5,000円×30= 150,000円 保定装置 70,000円 |
| 期間 | 2年3ヵ月 |
| リスク及び副作用 | 矯正治療では以下のリスクや副作用が考えられます。 ・歯根吸収(歯の根が短くなる症状) ・歯肉退縮(歯茎が下がる症状) ・アンキローシス(歯と歯を支える骨が癒着し歯が動かなくなる状態) ・歯髄壊死(歯の神経が失活してしまう状態) ・顎関節症(顎の痛み、口をあけにくい、顎の音がするなどの症状) |
| 主訴 | 歯列(八重歯)を治したい |
|---|---|
| 治療解説 | 上下左右4番抜歯を行い、歯列のガタガタを改善しました。舌癖があり、MFT(舌のトレーニング)も同時に行いました。 |
| 装置 | ラビアル(表側装置) |
| 治療費 | 装置代ラビアル 750,000円 調整料金 5,000円× 25 = 125,000円 保定装置 80,000円 |
| 期間 | 2年 |
| リスク及び副作用 | 矯正治療では以下のリスクや副作用が考えられます。 ・歯根吸収(歯の根が短くなる症状) ・歯肉退縮(歯茎が下がる症状) ・アンキローシス(歯と歯を支える骨が癒着し歯が動かなくなる状態) ・歯髄壊死(歯の神経が失活してしまう状態) ・顎関節症(顎の痛み、口をあけにくい、顎の音がするなどの症状) |
A差し歯やブリッジがあっても矯正装置で歯を動かすことは可能です。しかし、一時的にクラウンやブリッジを外して仮歯にすることがあります。この場合は矯正治療後、その歯並びに合ったクラウンやブリッジを作り直す必要があります。
A当院で使用しているブラケットは、表から見える部分は全て白く目立たない装置を使用しているので、従来の矯正装置ほど目立たず周りに気づかれにくくなっています。それでも気になる方には、表から装置がほとんど見えない舌側矯正、マウスピース型矯正装置を用いた治療があります。
A症状の程度によって異なりますが、装置を付けて動かす期間はおおよそ2~3年になります。
A当院はなるべく歯を抜かない治療を目指していますが、きれいに歯を並べたり口元を引っ込めたりするのにどうしても抜歯が必要な場合があります。
顎を広げるなどの装置を使って歯を抜かない方法もありますが、広げすぎて出っ歯になったり、口元に突出感が出てしまっては本末転倒なので、レントゲンでどれくらい広げられるか、または奥歯を後方に移動できるか確認して、判断しています。
A金属アレルギーであっても矯正治療できます。装置は、金属を使用しないものも複数ありますので、患者さまの体質にあった矯正装置を使用して治療を行います。
心配な方は、まず皮膚科でパッチテストを受け、ご自身がどの金属にアレルギーを持っているのかを確かめることが大切です。
A矯正装置が付いていると装置に食べ物が挟まったりくっついたりして、しっかり歯磨きしないと磨き残しが増えてしまい、虫歯を発症しやすくなります。当院では矯正治療が始まる前と、装置を付けた後に歯ブラシの使い方を指導し、虫歯リスクをチェックします。
A基本的に年齢制限はありません。歯周組織が健康であれば、年齢に上限はありません。症状により治療開始時期が異なりますが、その人にあった治療時期と方法を選択することが大切です。
当院でご提供している「マウスピース型矯正装置(インビザライン)」は、薬機法(医薬品医療機器等法)においてまだ承認されていない医療機器となりますが、当院ではその有効性を認め、導入しています。